解剖 | 完整版神经系统医学美图,看一眼就记住
导 读
完整版神经系统医学美图,科主任再也不用担心我的学习了!
1. 脑干

点击图片可查看大图详情
2. 脑室系统

点击图片可查看大图详情
3. 大脑供血动脉 3D 扫描 CT 成像

点击图片可查看大图详情
4. 形象记忆交感神经与副交感神经系统

点击图片可查看大图详情
5. 12对颅神经各自对应的脑区

点击图片可查看大图详情
6. 几种常见致死性脑病的CT表现

点击图片可查看大图详情

点击图片可查看大图详情
7. 脑损伤
8. 不同部位脑病的瞳孔变化

点击图片可查看大图详情
9. 常见的作用于中枢神经系统的药品

点击图片可查看大图详情
10.

点击图片可查看大图详情
11. 动眼神经、滑车神经和外展神经损伤的鉴别

点击图片可查看大图详情
12. 感觉神经的节段性分布

点击图片可查看大图详情
13. 各种颅内出血

点击图片可查看大图详情
14. 急性颅内高压所致脑疝的分型

点击图片可查看大图详情
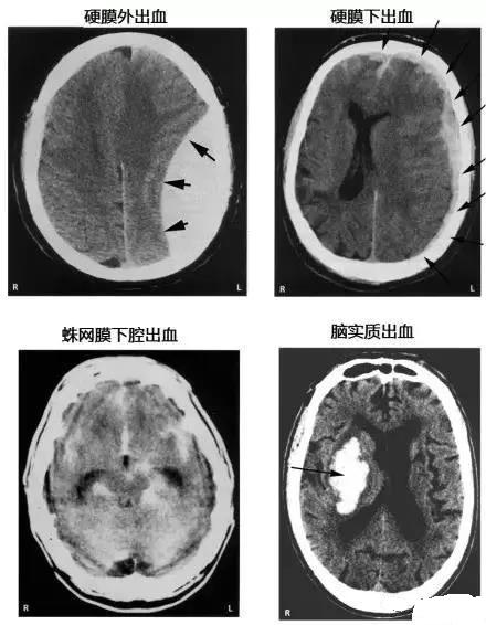
15. 几种类型脑出血的CT表现

点击图片可查看大图详情
16. 脊神经

点击图片可查看大图详情
17. 腰穿的局部解剖

点击图片可查看大图详情
18. 颅顶层次

点击图片可查看大图详情
19. 面神经—— 一巴掌就能记住

点击图片可查看大图详情
20. 脑脊液循环

点击图片可查看大图详情
21. 三种手部神经损伤的特征性表现

点击图片可查看大图详情
22. 手的神经支配

点击图片可查看大图详情
23. 头痛困扰,你属于哪一种

点击图片可查看大图详情
24. 腰椎神经对应的体表感觉区域

点击图片可查看大图详情
25. 腕管综合征(上)与肘管综合征(下)的麻木、疼痛区域

点击图片可查看大图详情
26. 左右脑损伤特点比较

点击图片可查看大图详情
觉得好看有用记得点赞【也可以评论发表您个人的见解与看法或疑问】
不要忘记分享给更多的朋友,让我们共同学习进步!