大家好,我是龙儿,牙齿发黄不用去洗,只需每天刷牙时往水里撒一把,不管多黄多难看的牙齿都能越刷越白,轻松解决牙黄问题,牙齿又白又净,下面就跟着视频一起来了解一下吧。

生活中我们常常可见很多人的牙齿要么是发黑,要么是发黄。
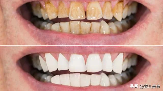
但是大家都特别羡慕拥有一口洁白牙齿的人,拥有一口洁白的牙齿,可以让你放心的自信的大笑,笑起来也更加自信迷人。
而拥有一口黄黄的牙齿,有时候我们说话或者是笑的时候都会感觉有一点尴尬不好意思,因此生活中我们也随处可见。

尤其是一些爱美的女性,男性朋友,为了拥有一口洁白的牙齿,不惜去花高价钱洗牙,甚至是把自己的牙齿上面贴上烤瓷。
其实想要解决牙黄的问题,不用这么麻烦,我们自己在家就能轻松解决。
首先我们每天刷牙就要注意,很多人刷牙的方式就不太对,刷牙的方法错了,也会影响到我们牙齿的洁白程度。

这样一来,牙齿上面的污渍、污垢清理不当,自然就会成为牙垢,让牙齿看起来又黄又黑。
不仅如此,在说话的时候口气也特别重,以至于不敢近距离的和别人说话。
但是在正确刷牙之前,我们一定要保持每天早晚刷牙的良好习惯。下面来说第一种方法,首先要准备的材料就是家里用的小苏打。
小苏打大家都非常的熟悉,是咱们厨房里面的惩,平时多用来清洗瓜果蔬菜,以及用来做一些面点,清洁家里面的一些家具家电。都非常的不错。

其实除了这种食用小苏打之外,我们平时去买牙膏的时候也会见到小苏打成分的牙膏,由此可见它的作用非常强大。
首先我们准备一包家里面的这种小苏打,再准备一个杯子,往里面倒入适量的食用小苏,可以稍微多倒一点。
然后再加一勺食盐,加盐,盐的量是小苏打的一半,因为盐比较咸,所以呢我们少加一点。

然后用勺子把小苏打和食盐充分的搅拌均匀,搅拌的越均匀,这样更有利于小苏打和食盐发挥它的作用。
加盐的时候一定要注意,不要去加颗粒特别粗的那种粗盐,而要加这种非常精细的这种食盐,搅拌均匀后先放在一旁备用。
接下来像往常一样,去除牙膏和牙刷,往牙刷上面挤上适量的牙膏,平时刷牙用多少就挤多少。

接着用上面的牙膏去蘸取刚才我们混合均匀的食盐,还有小苏打,尽量多蘸几下,让牙膏上面多蘸取一些。
平时生活中不少朋友为了让牙齿在短时间之内变白而去买上一些带有美白作用的牙膏。
而那些牙膏其实起不到任何作用,如果真的是让咱们的牙齿可以在短时间之内变白的话,那么说明它里面含有一些不好的成分。

有可能会让我们的牙齿在短时间内变得比较洁白,但是与此同时也一直在伤害我们的牙齿,影响我们牙齿的健康。
当我们一停下来之后,牙齿又立马发黄,没有任何的作用。
而我们用牙膏沾取我们自制的食用小苏打,这两种成分都是可以食用的,用来刷牙也就可以更加放心了。
除此之外,很多朋友买牙膏也喜欢进行网购,或者是一些不知名的小店去买。
咱们买牙膏尽量也要到大型的超市里面去进行购买,那样的牙膏也比较有保障。

这样我们刷起来才更加放心,既可以更好的保护清洁我们的牙齿,也可以让我们的牙齿不受到任何伤害。
牙膏站好我们调好的小苏打和实验之后,就可以开始正常刷牙了,每天早晚各一次,以这种方式来刷,坚持一段时间之后,你就会发现自己本来非常的牙齿慢慢的变白了。
当然这是一个循序渐进的过程,并不是说今天刷明天就变白了,那肯定是不可能的。
我们每一次可以多混合一点,用不完用保鲜膜包起来,下一次再用的时候直接粘取就行了,非常的方便。

第二种方法,不用牙膏,直接将我们刚才加了食盐还有小苏打的杯子里面加入几滴温水,然后用勺子充分的搅一搅,拌一拌。
把它们混合成这种的液体状,看起来有一点点像牙膏的样子,是这种糊状的,不是特别稀,也不是特别稠,搅拌均匀之候就是这种的状态。

这样我们在刷牙的时候就可以不用汲取牙膏,直接蘸取我们调好的这个糊状就可以开始刷牙了。
每一次的量就和我们平时刷牙的牙膏量是差不多的,这样的话,里面含有的食盐成分以及小苏打的成分就更多,那么效果也就更加明显。

而唯一的缺点就是不像用牙膏刷牙会感觉到口气清晰,它只是对牙齿进行一个清洁。
如果你觉得这种方法也不太好用的话,那么就来看看第三种。

也许前两种方法你都听过,但是最后一种方法很多朋友都没有试过,就是加入一小勺我们平时用来发面的酵母粉,用一点点温水将它化开。
酵母粉也是一种非常常见的东西,主要用来发面。
其实不仅如此,它在生活中也有许多其他的妙用,只是很多人都还不知道。
比如说用它来刷牙,搅拌一会儿后,我们再往里面加一点盐,继续搅拌,把酵母粉搅拌至完全溶解,像这个样子就可以了。

我们用这个溶液来刷牙,如果你觉得前两种效果都不太明显的话,那么可以试一试这种这种方法更加简单,而且效果也更加明显。
坚持一段时间后,牙齿又白又干净,非常的实用又省钱。
今天主要给大家分享了三个让牙齿变白的刷牙方法,大家可以根据自己的实际情况来进行选择。

希望今天的视频能对你有所帮助,那么本期的视频分享就到这里了,喜欢我的视频记得点赞关注加收藏哦!
咱们下期视频再见,拜拜。