先看一个病例:
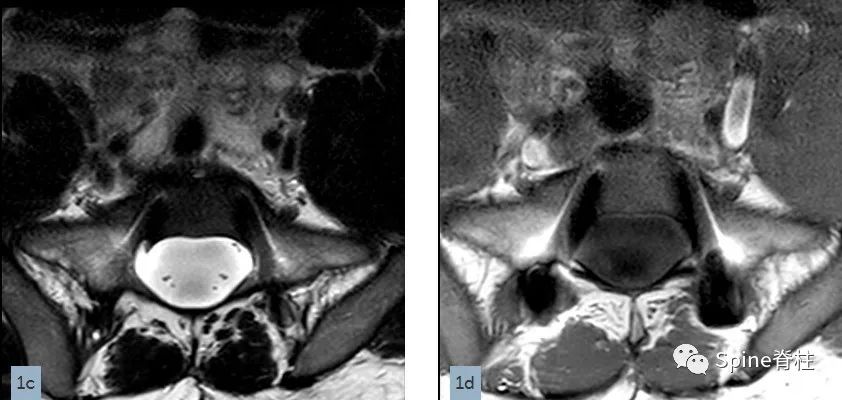
一名18岁男性因腰痛接受MRI检查,下图为矢状位T2(1a)和T1加权像(1b)、S1水平横断面T2(1c)和T1加权像(1d)。


有什么发现?
您的诊断是?


在矢状位T2(2a)和T1加权像(2b)上,多节段椎体后壁呈扇形缺损,缺少硬膜外脂肪(红色箭头),S1处的硬膜囊直径大于L4处。横断面T2(2c)和T1加权像(2d)提示硬膜囊膨胀,S1椎体后壁再次证实硬膜外脂肪缺失(红色箭头)。 其影像学表现符合硬膜扩张的诊断
硬膜扩张 (dural ectasia) 被定义为硬膜囊膨胀或增宽,常伴有神经根袖从相应椎间孔突出,有时伴有椎体后壁扇形缺损 (posterior vertebral scalloping)、椎弓根和椎板皮质变薄、神经根孔增宽或蛛网膜囊肿。但椎体后部扇形缺损也可见于正常成人,多达一半的健康成人可有轻度的椎体后部生理性扇形缺损。
硬膜扩张的诊断标准几乎只在马凡综合征(Marfan syndrome)中进行了研究,尽管硬膜扩张也可能与其他遗传性结缔组织疾病有关,包括 Ehlers-Danlos 综合征和 Loeys-Dietz 综合征、1 型神经纤维瘤病和强直性脊柱炎。硬膜扩张也可能与创伤、脊柱侧凸、肿瘤有关,或可能是特发性的。高达 70-80% 的硬膜扩张见于 1 型神经纤维瘤病患者,63%-92%的马凡氏综合征患者存在硬膜扩张。
硬膜扩张可能是腰痛、神经根痛、腿部无力或尿*禁失**的原因。有时可能需要手术治疗这些症状或预防并发症。
诊断标准
建立硬膜扩张的诊断标准在马凡综合征中得到了最广泛的研究,因为它是Ghent病因学临床诊断的几个主要标准之一。事实上,硬膜扩张是马凡综合征患者继主动脉扩张/夹层后第二常见的主要诊断表现。
1. Fattori等(PMID:10489951)首次提出了一种基于MRI的定性硬膜扩张分级系统,可分为4级:0级,正常,无硬膜扩张;
- 1级: 轻度硬膜扩张,定义为硬膜囊膨出和一个椎体后壁缺少硬膜外脂肪,存在神经根囊肿,或两者兼有;
- 2级: 中度硬膜扩张,定义为硬膜囊膨出,2个或2个以上椎体水平的后壁缺少硬膜外脂肪,并存在神经根囊肿;
- 3级: 严重硬膜扩张,定义为骶骨前硬膜膨出 (anterior sacral meningocele)。

A-D分别代表0级-3级 Lancet. 1999;354(9182):910-3
根据这些标准,92%诊断为马凡氏综合征的患者会出现硬膜扩张,而对照组则无一例出现。
2. Ahn等 (PMID:11256662) 试图根据硬膜体积(dural volume)>7.0 cm³的金标准建立诊断马凡综合征患者硬膜扩张的简单标准。硬膜体积是以L5椎体下终板水平进行测量。同时,他们也提出硬膜扩张的CT或MRI的定量标准,包括2个主要标准和2个次要标准。患者满足主要标准的任何一个或者满足两个次要标准,就可诊断为硬膜扩张。
主要标准 (major criteria) :
- 矢状位椎管(硬膜囊)宽度L5以下>L4以上
- 骶骨前硬膜膨出
次要标准 (minor criteria) :
- S1椎体扇形缺损>3.5mm
- L5神经根袖直径>6.5mm

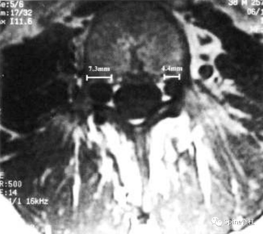
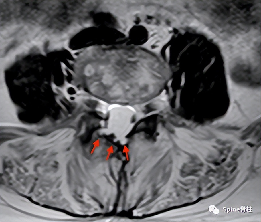
测量L5处的最大神经根袖直径 (nerve root sleeve diameter) 。请注意,神经根袖的直径右侧为7.3 mm,左侧为4.5 mm。因此,L5神经根袖的最大值为7.3 mm,这符合次要标准之一。只有当最大值超过6.5 mm时,才满足L5神经根袖直径的次要标准。

扇形缺损 (scalloping) 的测量。图a为马凡综合征伴硬膜扩张患者的CT正中矢状位重建。扇形缺损定义为椎体上下终板处宽度的平均值减去椎体中央处的宽度。对于这位患者来说,L5的扇形缺损值 (scalloping value) =[(d1+d3)/2]-d2=2.3mm;S1扇形缺损值=[(d4+d6)/2]-d5=4.2mm。图b是马凡综合征不伴硬膜扩张患者的CT正中矢状位重建。L5的扇形缺损值为1.6mm,S1扇形缺损值为0.4mm。

一位马凡综合征伴硬膜扩张患者的CT图像。a为正中矢状位重建,可见S2的椎管宽度大于L4。S1扇形缺损值为4.2mm。b为L5水平的横断面提示一个神经根袖的直接为6.6mm。因此,这个患者满足一个主要标准和两个次要标准。

一个马凡综合征伴硬膜扩张患者的MRI。a为T2正中矢状位提示S2硬膜囊的宽度大于L4,存在骶骨前硬膜膨出,S1的扇形缺损值为5.1。c为横断面提示一个神经根袖直径>7.0mm。因此,这个患者满足两个主要标准和两个次要标准。
根据Ahn等提出的诊断标准,与传统硬膜体积>7.0cm³相比,CT 表现出82.6%的敏感性和90%的特异性,MRI表现出87%的敏感性和95%的特异性。
3. Oosterhof等 (PMID:11477262) 提出一个硬膜扩张的单一定量测量指标,即硬膜囊比 (dural sac ratio): 是指中段硬膜囊直径与椎体直径的比值。

正中矢状位所示中断椎体直径测量(左图)和硬膜囊直径的测量(右图)。L1-S1的硬膜囊比的临界值(cutoff values)分别为0.64、0.55、0.47、0.48、0.48和0.57。利用L3或S1的临界值,诊断硬膜扩张的敏感性为95%,特异性为98%。

Habermann等 (PMID:15616116) 重新评估了Fattori等、Ahn等和Oosterhof等制定的标准在儿童、青少年和青年患者中应用情况,发现仅L5、S1硬膜囊比和矢状位硬膜直径(S1>L4)是有用的标准,且L5和S1硬膜囊比的临界值分别为0.42和0.51,低于Oosterhof等的研究。这可能与年龄和静水压力有关。Lundby等 (PMID: 19461064)认为Oosterhof等提出的硬脑膜囊比临界值太低,建议S1硬膜囊比临界值为0.59。
影像特征和诊断
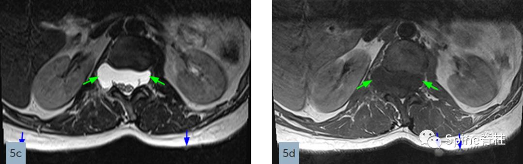
除了马凡综合征,硬膜扩张也是 1 型神经纤维瘤病的一种表现,在颅骨和脊柱均可发生。在脊柱中,由于胸部和蛛网膜下腔之间的压力差以及椎体后部的扇形凹陷或骨缺损,硬膜囊侧和前膨出通常发生在胸椎。硬膜囊膨出(Meningocele)通常与胸椎侧凸相关(下图)。其他发现包括椎体楔形变、椎弓根侵蚀、椎间孔扩大和脊柱后凸。1型神经纤维瘤病的骶骨病变通常是由于神经纤维瘤的直接累及或硬膜扩张伴椎间孔扩大引起的重塑。


矢状位T2(a)和T1(b)加权像提示下胸椎和上腰椎硬膜扩张伴显著的椎体后壁扇形凹陷(红色箭头)。轴位T2(c)和T1(d)加权像提示硬膜囊外侧膨出(绿色箭头)伴椎体扇形缺损。蓝色箭头是指继发于皮肤神经纤维瘤的多发性皮肤结节
硬膜扩张也是强直性脊柱炎的一种表现,通常累及腰骶部,但不对称骨侵蚀主要累及脊柱后部,包括椎弓根、椎板和棘突。在MRI上,可以发现多发性背侧硬膜憩室(图6),可能与长期强直性脊柱炎有关。


强直性脊柱炎患者L4-5水平的横断面T2(上图)和矢状位T2(下图)加权像提示多发性蛛网膜憩室(arachnoid diverticula)以及椎板和棘突的侵蚀(红色箭头),但需注意憩室周围的神经根粘连
并发症/症状
在马凡综合征中,硬膜扩张可能伴有脊柱滑脱、脊柱侧凸、椎体侵蚀和/或骨折。患者可能无症状,但可出现腰痛,可进展为神经根痛、腿部无力或尿*禁失**。
在1型神经纤维瘤病中,椎体后壁的侵蚀可进展为角形畸形、椎体骨折和脱位。尽管由于椎管扩大,神经功能障碍很少发生,但这些畸形会导疾病的进展和演变。应密切监测角形畸形患者的进展情况,因为可能需要早期手术干预,以防止严重畸形和晚期并发症。
硬膜扩张有时会导致long standing强直性脊柱炎(也称为CES-AS综合征)患者引起马尾神经综合征,这是一种罕见的并发症。文献中已报道数例,第一例可追溯至1961年由 Bowie 和 Glasgow 报道。炎症可能从硬膜外软组织扩散到马尾神经根,导致马尾神经综合征和蛛网膜炎。目前,此病无有效的药物或手术治疗方法,大多数病例的症状几乎没有改善。只有一例症状显着改善,但有活动性炎症的迹象。
典型病例

一位43岁1 型神经纤维瘤病女性患者,腰骶椎矢状位T2加权像提示硬膜扩张引起的椎体后壁扇形凹陷(星号) PMID: 20624860


一名20 岁男性1型神经纤维瘤病患者出现背痛和下肢感觉障碍,肌力正常。随后,他出现尿潴留,感觉平面下降至 T10 水平。影像学提示硬膜扩张伴椎体后壁扇形缺损(箭头),L4/5轻度向前滑脱。CT横断面提示腰椎椎弓根拉长变细,双侧椎弓根骨折(箭头)。骨折在 MRI 上显示无水肿信号,提示为慢性骨不连骨折 PMID: 22232056
总结
- 硬膜扩张可通过定性和/或定量标准进行评估,但几项研究得出的结论是最好结合定性和定量标准来诊断马凡综合征患者的硬膜扩张。
- 有用的定性标准包括硬膜前膨出和神经根袖疝。
- 有用的定量标准包括S1及以下的硬脑膜囊直径大于L4的硬脑膜囊直径和S1硬膜囊比>0.59。
- 除马凡综合征外,硬膜扩张可能与其他结缔组织疾病如Ehlers-Danlos和Loeys-Dietz综合征有关。
- 1型神经纤维瘤病和强直性脊柱炎也常与硬膜扩张有关。
- 了解硬膜扩张的诊断标准及其影像学特征不仅有助于诊断该疾病,还有助于确定尚未得到确切临床诊断患者的潜在病因(这一点很重要)。
来源: https://radsource.us/dural-ectasia/