腰突症,硬膜囊受压,用此方赶走疼痛和麻木!


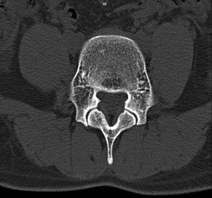
4 9 岁女性患者因工作原因患上了腰突症,检查报告提示腰椎生理曲度变直, 腰 5- 骶1 椎间盘局限性向后突出,硬膜囊受压,骨性椎管无狭窄,有骨质增生。查看舌苔,舌淡红,苔薄白,属于脾虚,气血不足。

拟方:桃仁,红花,地龙,丝瓜络,鸡血藤,细辛,羌活,独活,威灵仙,续断,狗脊,川牛膝,杜仲,川芎,当归,白芍,炙甘草,元胡,伸筋草,水煎 服 1 4 剂。以活血化瘀,通络止痛,滋补肝肾,强筋壮骨为途径来治疗,用 了 1 0 剂后打来电话高兴的说疼痛减轻了许多,活动也比之前轻松了许多。复诊时,在基础上略作加减,坚持服药两周后,诸症悉平,未曾复发。
