来源:新乡医学影像 MRI的发展历史——
1930年,物理学家伊西多·拉比发现在磁场中的原子核会沿磁场方向呈正向或反向有序平行排列,而施加无线电波之后,原子核的自旋方向发生翻转。由此拉比于1944年获得诺贝尔物理学奖。
1946年美国科学家布洛赫和珀塞尔发现,将具有奇数个核子(包括质子和中子)的原子核置于磁场中,再施加以特定频率的射频场,就会发生原子核吸收射频场能量的现象,这就是人们最初对核磁共振现象的认识。为此他们两人获得了1950年度诺贝尔物理学奖。
核磁共振现象的用途很多,1969年,美国的达马迪安通过测核磁共振的弛豫时间成功的将小鼠的癌细胞与正常组织细胞区分开来,在此技术启发下保罗·劳特伯尔1973年开发出了基于核磁共振现象的成像技术(MRI),并且应用他的设备成功地绘制出了一个活体蛤蜊的内部结构图像,并于2003年获得诺贝尔生理医学奖。
目前我国MRI的基本状况——
1、设备基本普及 2、成像处理随意
3、报告准确率低 4、配套设备很少
5、前沿技术不多 5、临床医生不会

各种MRI成像技术——T1加权像(T1WI):T1是指纵向弛豫时间,WI是加权成像;主要反映的是组织间T1值差别。

各种MRI成像技术——T2加权像(T2WI): 主要反映的是组织间T2值差别。采用长TR(1500~2500ms)和长TE(90~120ms)的扫描序列来取得。在长TR的情况下,扫描周期内纵向磁化矢量已按T1时间常数充分弛豫。采用长的TE后,信号中的T1效应也被进一步排除。长TE的另一作用是突出液体等横向弛豫较慢的组织之信号。一般病变部位都会出现大量水的聚集,用T2加权像可以非常满意地显示这些水的分布。因此,T2加权像在确定病变范围上有重要作用。

各种MRI成像技术——质子密度加权像(PDWI):主要反映的是组织间质子密度弛豫时间差别。

各种MRI成像技术——T2WI脂肪抑制:脂肪组织不仅质子密度高,且T1值很短(1.5T 200~250ms),T2值较长,因此在T1WI呈现很高信号,在T2WI呈现较高信号,在目前普遍采用的FSE T2WI上其信号强度将进一步增高。

临床医生为什么不会阅读MRl?
1、相对较新技术,医生接受需要一个过程。
2、医生没有得到相关的培训。
3、学习需要付出时间和精力,但肯于钻研的医生(包括放射科)不是很多。
以上原因造成大部分的临床医生只能依赖诊断报告,而放射科的诊断报告准确率并不高!

MRI特点——
人体不同组织及其病变具有不同的T1、T2值和质子密度弛豫时间,因此,在T1WI、T2WI和PdWI像上产生不同的信号强度,具体表现为不同的灰度。MRI检查就是根据这些灰度变化进行疾病诊断的。因此,组织间以及组织与病变间弛豫时间的差别,是磁共振成像诊断的基础。一般而言,组织信号越强,图像上相应部分就越亮;组织信号越弱,图像上相应部分就越暗。
灰阶:磁共振信号愈强,则亮度愈大;磁共振的信号弱,则亮度也小,从白色、灰色到黑色。
流动(空白)效应:流动液体(血液、脑脊液)不产生信号。
MRI最适宜的检查部位——
1、颅脑
2、脊髓
3、心脏大血管
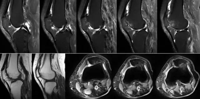
4、关节骨骼
5,软组织
6、盆腔

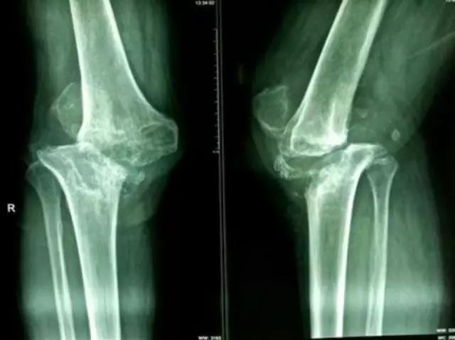
普通X线照片——
只能显示骨的改变,对早期膝关节炎等临床常见疾病的诊断意义不大,但"骨质增生"的诊断报告却常常影响病人一辈子!

MRI有用吗?——
下图是同一个病人的MRI照片,MRI显示的内容更多,包括骨与软组织等,很多早期的、细微的病变都能清晰显示,其诊断报告对病人造成的影响也更大!

阅读MRI的过程——
1、全盘吸收(只看报告不看片子):大部分医生
2、加入思考(看完片子再看报告):少部分医生
3、独自诊断(根据临床看看片子):极少数医生
“只看报告不看片子”应该是学习的早期阶段,必须尽快进入“看完片子再看报告”的阶段,并且要尽早养成“根据临床看看片子”的独自诊断习惯。

看MRI的什么?——
二点:形态+信号
个人经验:先看形态,再看信号,信号为主!

临床医生如何阅读MRI?
临床医生没有经过系统的MRI培训,对其基本理论、疾病知识等只能是一知半解,要想提高阅片水平,只能扬长(临床诊查的长处)、避短(没有系统学习的短处)!
方法:1、背诵基本理论 2、熟知黄金诊断
3、利用相关原理 4、利用自身对比
5、利用解剖结构 6、利用发病机理
7、利用疾病发展 8、利用疾病特点
9、利用临床检查 10、利用排他方法
11、利用X线对照 12、利用手术验证

背诵基本理论——
对于本专业常见疾病MRI诊断的基本理论必须死记硬背,没有其他办法,例如:
半月板损伤的分度——
Normal:正常的半月板为均匀的低信号。Grade1:半月板内部小灶性的类圆形信号增高影,未达半月 板表面,代表退变性改变。Grade2:半月板内部线形的中等信号增高影,未达半月板表面,代表退变性改变。Grade3:达到半月板关节面的异常信号,可为线形或不规则形,通常代表半月板撕裂。韧带损伤的分级(对所有韧带适用)——Grade1:韧带内损伤,无长度改变。Grade2:韧带内损伤并长度延长。Grade3:完全性韧带撕裂。

熟知诊断标准——
MRI并不能包罗万象,对疾病的诊断率有高有低,根据疾病选择。例如半月板损伤的诊断,MRl的诊断符合率高达95%,而常用的临床检查-麦氏征的诊断符合率仅40%,毫无疑问应该花费更多精力在阅片上,而不是死保某些“体征”。

熟知诊断标准——
又例如后交叉韧带损伤的诊断,MRl的诊断符合率并不高,而体格检查却是金标准!诊断以临床检查为准,MRl仅供参考。

利用相关原理——
地中海贫血与白血病均为血液系统的问题,主要表现在骨髓,疾病的发病机理有别,MRI表现也不相同;我们可能不是很熟悉这些疾病,也能够从MRI发现区别。图1:正常膝关节 图2:地中海贫血 图3:白血病

利用自身对比——
我们可能都不熟悉T1、T2,怎么办?当我们发现有问题后,利用照片上图像的对比,推测病变的可能也是一种诊断方法。病例:黄XX,女,39岁,左膝关节反复交锁1年。图1:肿物信号与骨信号一样图2:肿物信号与骨信号一样图3:肿物信号与骨信号不一样 肿物应该与骨相关,但不是骨性,推断:膝关节滑膜软骨瘤。手术后得到证实。

利用解剖结构——
解剖永远是诊断的基础!也是临床医生特别是外科医生的长处,应该充分发挥。

利用解剖结构——
例如膝关节内侧副韧带附着点与骨密不可分!不是密不可分一般都是损伤。

利用发病机理——
膝关节OA是临床常见疾病,不断的磨损会引起一系列的改变,表现在X线照片上会出现以下的四大特征。

利用发病机理——
膝关节OA的MRI表现除了以上 X线的四大特征外,还能清晰的显示出滑膜、韧带、半月板、软骨等改变,这正是MRI的优势所在。

利用疾病发展——
很多疾病在其早期临床及影像学均不典型,需要有一段时间的观察才能够充分表现,对于这种情况,太过草率极容易误漏诊。
病例:游XX,男,67岁,右膝肿胀活动困难伴进行性畸形6年。疼痛不重!下图为2010年照片,DR和MR显示胫骨内侧平台骨缺损,无其他病变,很难确诊。

利用疾病发展——
下图为2014年DR,显示关节破坏严重,但疼痛不重,符合神经性关节炎的疾病特点:关节破坏极度严重,临床症状轻微!

利用疾病特点——
膝关节结核为侵袭性病变,会破坏膝关节的滑膜、软骨、骨等,所形成的寒性脓疡会顺着组织间隙流注,与其他疾病的表现不同。 病例:李XX,女,56岁,右膝关节疼痛逐渐加重8个月。手术及病理证实为膝关节结核。

利用临床检查——
临床检查更应该是临床医生的长处,密切结合临床检查阅片时才能有的放矢。 病例:吴XX,女,24岁,右膝关节内侧疼痛不能触摸5年。曾在多家医院局部封闭等治疗。查体:右膝关节外观无明显变化,屈伸好,膝关节前内下方有固定的压痛点,不给用力压迫。 MRI:膝关节内无明显改变,临床检查压痛部位有小范围高信号,中央有混杂信号。(诊断报告正常) 考虑:膝关节血管瘤。

利用临床检查——
该患者手术时肉眼所见及术后病理确诊为血管瘤。

利用排他方法——
部分疾病的MRI并没有特征性改变,这时MRI检查只供排除。 病例:黄XX,男,22岁,右膝关节疼痛、活动不便8年。辗转十余家医院诊治未果。临床检查仅髌骨外上方压痛。 MRI:骨、软骨、韧带、半月板、滑膜均正常! 考虑:膝关节滑膜皱襞综合征。

利用排他方法——
手术见膝关节前内侧滑膜皱襞肥厚,将股骨内髁软骨压迫变形。手术所见及术后病理均符合膝关节滑膜皱襞综合征。

利用X线对照——
很多时候由于种种考虑,我们仅进行了MRI检查,忽视了日常的X线检查,对于经验不多者有时候DR反而更为直观。 病例:邬XX,女,35岁,左肩关节疼痛、活动困难1周。 MRI:冈上肌上方低密度影,周围水肿严重。DR:肱骨大结节上方大块高密度影。诊断:钙化性冈上肌腱炎。

利用手术验证——
手术验证是外科医生的优势,当我们诊断不够明确时,手术探查提供了很好的验证机会。一而再、再而三,反复的总结后瞬间就能够诊断。 病例:陈XX,女性,46岁,反复右膝关节肿痛2个月。MRI:膝关节积液多,骨与软骨无改变,髁间窝前方可见不规则阴影。 诊断:膝关节结节性滑膜炎。手术及术后病理证实了此诊断。

个人的MRI诊断思路——
下面是其他医院的医生通过微信发来的1张MRI会诊照片。MRI显示ACL下垂并粘附于PCL上。

个人的MRI诊断思路——
以下是个人的诊断思路,通过这些全面的考虑,我们的诊断才能更加周全更加准确!

阅读MRI注意的问题——
1、常见疾病为主,疑难病人不多。
2、所有改变尽量用最少疾病解释。
3、必须适应阅看不同质量的片子。
4、诊断的坐标越多,准确率越高。

常见疾病为主,疑难病人不多——
临床上以常见病为主,疑难病人不多,如果我们一下子就往疑难方面去想,反而容易进入死胡同。 病例:杨XX,男,25岁,右髋关节反复肿痛,逐渐丧失行走功能20年。辗转完国内著名医院就诊未果。只能考虑:慢性炎症?

所有改变尽量用最少疾病解释——
这种诊断思路值得学习,但医生并不真正了解膝关节OA,本病人髌骨的信号改变是骨性关节炎的病理改变之一,而不是骨肿瘤!

必须适应阅看不同质量的片子——
很多MRI的设备并不好,体位不好,片子质量差,甚至还经过手机翻拍,不管怎样,我们也要想尽办法抓住某些特征性的改变,大海中捞针,想尽办法得出诊断!

诊断的坐标越多,准确率越高——
单一的指征(坐标)极其容易误漏诊!同一截面发现的特征(坐标)越多越好,还要得到不同截面的图像来佐证。除了MRI的表现外,年龄、性别、病史、症状、体征等均应该是诊断的坐标!

学以致用——
学习不是目的,使用才是目的!阅读MRI后,还应该说给病人听!怎样在病人面前说MRI? 下图为膝关节病损的早期-髌骨软化,MRI显示髌骨出现高信号。 这时应该告知病人:疾病怎么形成?有哪些表现?日常动作有什么影响?怎么治疗?今后病情如何发展?如何保护?

怎样在病人面前说MRI? 髌骨软化进一步发展-髌股关节炎,病情更重,MRI表现更重,股骨滑车也有改变;治疗效果也差。

怎样在病人面前说MRI? 结合解剖、生物力学、影响日常生活的主要症状-上楼梯、爬山疼痛明显,膝关节屈伸有弹响等讲给病人听,直接点到病人的“痛处”。说这些目的应该是为了治疗! 治疗-保守:理疗、关节内注射…… 手术:关节镜、人工关节……

怎样在病人面前说MRI?医生不应该仅仅为了治疗,防患于未然更加重要!叮嘱病人-不要故意爬楼梯、爬山,不要练习下蹲!

任何时候都要切记——
1、疾病的诊断影像学等检查只是辅助手段!
2、X、CT、MRI不能够相互代替!
(ps:以上粗浅的知识来源于著名的北京积水潭医院冯华老师对我的启蒙和不停的教导,我还不能够完全领会冯华老师的严谨的临床诊疗思维,今后还要加倍努力学习才能无愧于他对我们这些学生们的殷切希望!)

【版权声明】本平台属公益学习平台,转载系出于传递更多学习信息之目的,且已标明作者和出处,如不希望被传播的老师可与我们联系删除
更多影像内容请*载下**放射沙龙APP,免费读片线上交流学习