凡因龋齿、楔状缺损、外伤等造成牙体组织缺损者都需要修补,以恢复其外形和功能。当病变已波及牙髓,甚至引起根尖周病时,应先进行根管治疗,再行补牙。若牙齿龋洞较大,则最好选择做牙齿美容修复牙套来保护牙齿,防止充填物脱落及食物嵌塞。
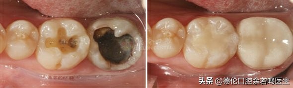
1. 树脂充填术

充填前 充填后
适应症:浅龋蛀牙 (浅龋:牙齿表面发黑有孔,但尚未蛀坏到神经,牙齿无痛感)
一般技术:普通树脂充填;银汞合金充填
德伦技术:日本进口材料填充术;3M纳米树脂充填术;美国3M树脂充填术
德伦优势:外观逼真;与牙本质接近,不易磨损,使用时间长;边缘密封性好,边缘少发继发龋,无渗透及脱落;无毒无害。
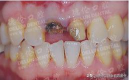
2. 嵌体修复: (根据牙齿缺损部位窝洞的形状,用贵金属或者全瓷制作出来相应的修复体,粘结在缺损部位。)

修复前 修复后
适应症: ☆各种牙体缺损较为严重,不能适用一般充填方法者。☆需要恢复牙冠高度及外形者。☆多用于后牙。
一般技术:金属嵌体
德伦技术:铸瓷嵌体;欧洲皇室AU嵌体;德伦CEREC全瓷嵌体
德伦优势: 美观;面形态在模型上精细雕刻形成,牙合面任何形态均可作出并与对牙合协调。可恢复正确的邻接触关系和轴面凸度,可高度抛光,不易附着菌斑,容易清洁。
3. 仿生全瓷冠修复

适应症: ☆ 断牙或者牙齿龋坏缺损太大,纳米树脂填充及嵌体充填都无法固位者。☆蛀牙或者外伤损伤到牙髓,行根管治疗后的冠修复保护。☆四环素牙、牙齿不齐、氟斑牙等有美牙需求者;
一般技术:金属烤瓷牙;全陶瓷烤瓷牙
德伦技术:仿生全瓷冠修复
德伦优势:通过全景机及3D数码技术,精确定制修复方案;采用德国VITA比色技术,成形后牙齿色调和真牙完全一样;采用了国际前沿的粘贴技术,终生不易脱落;良好的密合度,几乎没有任何缝隙;采用美国、瑞士等国际顶尖全瓷牙冠材料;避免传统烤瓷牙容易造成的牙龈黑线、牙龈红肿、崩瓷等并发症。
4. 根管治疗

根管治疗
适应症:☆深度龋齿 ☆牙髓坏死 ☆急/慢性牙髓炎 ☆根尖周炎 ☆牙髓外漏
自我诊断:突发性或遇冷热刺激而疼痛;夜晚疼痛升级,不能入睡;牙疼导致面峡部肿胀疼痛使咬合无力,甚至不能正常进食。
一般疗法:传统根管治疗
德伦技术:德国leica光纤超显微根管治疗
德伦优势:细径光纤牙髓根管显微内窥镜仪器;高清的放大功能及3D立体效果,彻底清除病灶创伤少,减少肿胀,恢复快;设备的表面具有纳米抗菌涂层保护,杜绝交叉感染;实时的超精细图像监控,治疗成功率高达99.5%。
5. 种植牙


适应症:单个或者多个牙缺失、牙根无保留价值 自我诊断:需要到专业牙科医院进行检查骨脊宽度,骨量情况,牙齿位置,对颌关系。
一般疗法: 镶牙、普通烤瓷牙
德伦技术:英式无痛种植牙、数字化种植牙 德伦优势:术前三维重建和CAD\CAM方案设计,3D打印技术设备制作种植导板,精准的把控整个种植过程。3颗牙仅用4分钟 即种即用,性价比非常高。
如果您有更多关于口腔知识想了解,请关注我,有口腔问题可私信或在下方评论喔~