本期GIST月评检索了来自Pubmed 2017.11.26-2018.01.25的GIST相关文献,共24篇,其中中国学者GIST文献7篇。本期月评主要推荐热点为:达沙替尼一线治疗胃肠间质瘤的前瞻性临床研究,放射治疗——这一被人们在GIST领域忽视的治疗技术在GIST中应用的综述;本期中国学者发表论文中基础研究占据了近半数体量,倍感鼓舞!同时本期有较多有意思的个案,相信会给大家带来临床实践的收获。
本次文献检索得到了来自诺华医学部郭海军、辉瑞市场部范雯霏的大力帮助,特表感谢。
近期由于Pubmed因资金不足暂时停摆,月评工作组会随时关注Pubmed动向,如因文献检索问题导致下期月评无法正常进行,敬请谅解!
GIST重量级
1
达沙替尼一线治疗胃肠间质瘤的长期随访结果:一项多中心、二阶段、II期临床研究(瑞士临床肿瘤研究协作组56/07)
Montemurro M, Cioffi A, Dômont J, et al.
Medical Oncology, University Hospital of Lausanne, Switzerland.
Cancer. 2018 Jan 9. doi: 10.1002/cncr.31234. [Epub ahead of print] IF 6.035
研究评价达沙替尼一线治疗转移性GIST的疗效与安全性,采用simon二阶段方法设计,达沙替尼70mg bid,连续治疗2年后可根据医生的决定选择继续达沙替尼、伊马替尼或其他TKI治疗,疗效评估采用PET-CT方法判断,标准为mPR:SUV下降25%或以上,mSD:SUV变化在-25%与+25%之间,mPD:SUV增加超过25%。研究共入组患者47例,筛选后最终符合标准共42例,34例完成基因检测,其中25例为kit基因外显子11突变,1例外显子9突变,1例PDGFRA基因外显子18 842-845缺失突变,7例野生型,4例为局限性GIST,32例为转移性GIST,6例不详。中位随访67.2月,PET-CT评估疗效,4周时肿瘤缓解率74%(CR14例),肿瘤稳定14.3%,肿瘤进展7.1%,2例无法评价;依据基因分型的亚组分析,外显子11突变肿瘤缓解率77%,野生型GIST缓解率71%;中位PFS13.6月,中位OS未达到,随访48个月时,74%患者生存。4%患者出现4度不良反应,38%患者出现3度不良反应,最常见的不良反应为胃肠反应、胸膜腔积液与呼吸困难,28例患者出现剂量降低或治疗中断。研究结论为达沙替尼治疗GIST具有非常高的PET-CT评估肿瘤缓解率。
简 评
这是第一项评估达沙替尼用于GIST一线治疗的研究,结果有2个意料之中,也有2个意料之外。意料之中其一:总体缓解率与外显子11突变GIST缓解率均获得了较高的数据,与伊马替尼一线标准治疗接近,如果把舒尼替尼、瑞戈非尼用于一线治疗,预计也会获得很好的疗效,主要在于大多数GIST过于依赖于kit/PDGFRA这个通路的激活,也就是大家常说的GIST是个stupid tumor,达沙替尼、舒尼替尼、瑞戈非尼只能怨自己比伊马替尼出生的晚;意料之中其二:不良反应相对高于伊马替尼,与舒尼替尼、瑞戈非尼相同,多靶点的药物在治疗GIST中具有多靶点封闭的优势,但也同时会带来更多的不良反应,但不良反应多并不可怕,而在于总体是否可以耐受可以控制,临床实践中经常听到有些患者和医生反应舒尼替尼、瑞戈非尼不良反应重,其实可能是我们没有把不良反应控制好,不良反应控制的关键在于一定要在患者体力状况相对较好、肿瘤负荷相对较小的时候早期使用多靶点药物,另一关键点在于不良反应要早期干预,早期处理。意料之外其一:达沙替尼治疗野生型GIST获得了与外显子11突变类似的高有效率,这说明达沙替尼的抗血管生成作用及其它基因通路的封闭作用在野生型GIST治疗中发挥了重要作用,同样的道理可延伸到舒尼替尼与瑞戈非尼治疗伊马替尼耐药GIST的机制之中,我们知道舒尼替尼治疗野生型GIST也可获得良好的疗效;意料之外其二:达沙替尼治疗GIST的总体PFS不及伊马替尼,但由于研究样本量较小,结论仍需慎重。
此外,笔者与国内几家中心共同开展的达沙替尼治疗伊马替尼与舒尼替尼均耐药的GIST研究已进入尾声,从前期数据看,达沙替尼在耐药GIST治疗中并未出现对不同原发基因或继发基因突变类型疗效的差异,因此推测,部分获得肿瘤控制的患者更多获益于达沙替尼的抗血管生成作用。期待研究尽快结束发表论文,高分数论文的压力着实大啊!记得学生时代的一句话“分分分,学生的命根儿”,没想到过了那么多年,这句话竟成为了困扰一生的梦魇!
(北京大学肿瘤医院消化肿瘤内科 李健教授)
2
胃肠间质瘤放射治疗
Ozkan EE.
Department of Radiation Oncology, Suleyman Demirel University, Turkey.
Chin Med J 2018;131:235-40.
目前GIST的各种指南/共识显示,放疗还未被业界接受作为MDT的一部分。最近发表的个案以及一些小样本的临床研究提示放疗在控制局部进展和克服TKIs耐药方面有一定价值。本文旨在从放疗科学科的角度提供一定的参考,尤其从技术层面讨论放疗在直肠GIST的作用。作者应用“直肠GIST的放疗”和“直肠GIST”作为关键词检索1995年以后的PubMed文献。结果显示某些情况下,放疗也可以作为GIST是一种治疗手段,或姑息、或辅助,甚至根治。从最近报道的远期局控率提示GIST是一个放疗敏感性疾病,尤其针对:(1) 不能耐受TKIs或TKIs耐药患者;(2) 不可手术患者;(3) R1或R2手术后;(4) 复发患者。
简 评
(1)GIST放疗不敏感的观点由来
传统观点一致认为GIST属于放疗不敏感肿瘤,适应症只针对骨转移的姑息治疗而已。“传统”从何而来,谁首先提出这个观点的?“传闻”来自2001年—2006年间(Arch Surg 2001,136:383‑9;Swiss Med Wkly 2004,134:145‑53;Cancer Chemother Pharmacol 2004,54 Suppl 1:S44‑9;Curr Oncol Rep 2006,8:192‑7;Curr Treat Options Oncol 2006,7:427‑37.),“坊间”一致认为GIST放疗无效。主要顾虑是放疗引起的腹部空腔脏器的毒性,进一步导致后续治疗的延误。第一个提出反对意见的是Joensuu教授(Radiother Oncol 2015. 116:233‑8.),基于部分个案报道和回顾性研究。
(2)直肠GIST放疗相关数据
GIST靶向药物治疗在进步,但放疗技术也在发生日新月异的进步。如果用10年前的“传闻”说服现在的放疗科同道,显然已经落后了。于是,放疗科同道试图将“直肠癌”的放疗经验移植到直肠“GIST”上,无论如何这值得我们GIST同道关注,尽管要拿出高级别循证医学证据很难。
Cuaron等尝试应用SBRT或IMRT治疗TKI失败的GIST,肿瘤的PR率和6个月的PFS率分别达到35%和57%。如果采用5×5的大分割模式,每次投射剂量为5Gy,有效率可达63%(Radiat Oncol 2013;8:274.);对于R1/R2的患者,给予45-60Gy的放疗后序贯TKI治疗,也获得了很好的远期疗效(Ann Surg Oncol 2001;8:50‑9.);针对肿瘤较大的患者,可以考虑50.4Gy的放疗联合TKI,也可以取得很好的保肛和病理学完全缓解的效果(Tumori 2009;95:236‑9.);尤其是现阶段,随着IMRT和图像引导技术的发展,腹腔的急性或延迟性放疗反应已经可以得到很好控制,照射剂量因此也可以明显提高,随之带来的获益可想而知。
(3)“GIST是放疗不敏感肿瘤”传统观点的冲击
“传闻”、“传统”、 “传承”,我们一直秉承这样的学术路线,尤其针对GIST这个“傻瓜”。因为TKIs解决了太多问题,给我们带来了太多惊喜。可是,当局外人审视这样的热闹场面时,难免会节外生枝。当土耳其人Ozkan站起来提问:为什么不可以放疗时?大家都面面相觑,也许主持人认为他是一个“trouble maker”。好在台上还坐着Joensuu,好在GIST领域还有Joensuu,Joensuu就是GIST领域的Jesus。
(解放军八一医院肿瘤中心 刘秀峰教授)
龙在江湖
1
Cthrc1蛋白促进GIST的血管生成
Fu SW,Chen HY,Lin XL,等
上海交通大学仁济医院消化病研究所
Oncology Letters,DOI: 10.3892/ol.2017.7111,IF=1.39
作者在60例GIST组织中检测Cthrc1和CD31表达,发现组织中Cthrc1表达与微血管密度呈正相关。在体外脐静脉内皮细胞HUVECs中过表达Cthrc1可促进细胞的迁移侵袭能力和细胞形成管状结构,Cthrc1还可促进主动脉环血管再生。机制研究发现,Cthrc1主要通过增加ERK和JNK磷酸化活性促进细胞迁移侵袭与血管生成。
简 评
这篇文章比较简单,容易理解,能点评的点不多,作者主要用脐静脉内皮细胞探讨了Cthrc1对血管生成的影响,至于Cthrc1对GIST细胞本身有无影响值得探索。为了让后续发文章的同仁引起重视,顺便吐槽一下,“张冠李戴”是该文的一大特点,文章中一半的图与图注不一致,也不知道reviewer怎么审的,呵呵。
(北京大学肿瘤医院消化肿瘤内科 高静副研究员)
2
GIST中microRNA-152靶向CTSL通过诱导细胞凋亡发挥抑瘤作用
Lu H, Yan J, Jin P, 等
江苏师范大学生命科学学院
Cancer Biomarkers,DOI: 10.3233/CBM-170809,IF=2.274
作者在体外GIST细胞中发现miR-152表达较正常胃粘膜细胞低,而CTSL(组织蛋白酶L)却在GIST细胞中表达高于正常胃粘膜细胞,并与miR-152表达呈一定负相关,进而在细胞中证实CTSL是miR-152的靶基因。后续研究则主要探索了上调或下调细胞中miR-152或CTSL表达对细胞表型的影响,表明上调miR-152或下调CTSL表达可通过诱导细胞凋亡、阻滞细胞于S期发挥抑瘤作用。
简 评
一打开文章,笔者窃喜,我们研究过的microRNA-215市场好大啊,再仔细一看,原来是microRNA-152。类似这种文章,由于思路相对较简单,所以可点评的内容不是很多,但如果研究再稍微多做一点,结果的可信度会更高,可能文章的质量又会提高一个台阶,譬如结果在组织切片中验证一下、细胞实验最好在2个以上细胞中开展、增加动物实验、补充调节细胞凋亡或周期改变的分子,等等。
(北京大学肿瘤医院消化肿瘤内科 高静副研究员)
3
一种针对胃肠间质瘤KIT激酶原发V559D突变高度选择性的*制剂抑**
Discovery of a highly selective KIT kinase primary V559D mutant inhibitor for gastrointestinal stromal tumors (GISTs)
Yu K, Liu X, Jiang Z, et al.
中科院强磁场实验室
Oncotarget. 2017, 8(67): 111110-111118. doi: 10.18632/oncotarget.22624. (IF: 5.165)
胃肠间质瘤(GIST)中普遍存在KIT激酶的功能活化突变,其中KIT激酶V559D突变是最常见的突变之一。作者发现了一种针对KIT V559D突变具有高度选择性的*制剂抑**CHMFL-KIT-031,该*制剂抑**在体外生化检测和细胞实验中显示了较KIT野生型(KIT wt)强10-20倍的选择性抑制,较其他KIT原发性突变位点(如L576P)或继发性突变位点(如T670I、V654A、N822K、D816V等)强15-400倍的选择性抑制。在包含有468种激酶/突变的激酶分析高通量筛选工具KINOMEscan assay中,CHMFL-KIT-031也显示了高度的激酶选择性。在体外细胞实验和体内动物模型实验中,CHMFL-KIT-031显示了针对KIT V559D介导的信号通路及其成瘤性的显著有效抑制。作者总结这个发现将成为一种很好的用于研究KIT V559D介导的GIST病理的药物学工具。
简 评
本文是国内学者发表的一项偏生物化学的基础研究,介绍了一种相对于现有研究工具更具有高度选择性和抑制效应的特异性激酶抑制工具CHMFL-KIT-031。该*制剂抑**的靶点为GIST中较为常见的KIT V559D点突变,一系列体内外实验证实了其对靶点突变的高效抑制性。从临床应用前景来分析,一方面由于该*制剂抑**仅针对单靶点,且该靶点为原发突变类型,故并不合适作为现有靶向药物治疗失败后的治疗选择;但是从另一方面来看,由于该*制剂抑**具有高度选择性,将不会对维持正常生理功能所需的ABL激酶或野生型KIT产生抑制,有助于在维持靶向药物on-target活性的基础上实现减轻off-target毒副反应,有助于提高治疗耐受性。众所周知,伊马替尼靶向KIT/PDGFRA治疗GIST已经成为实体肿瘤靶向治疗的最成功模型,如果在未来将能够开发出针对具体基因型(单个核苷酸改变)的治疗药物用于临床,那可以算是更高层面和更微观的精准治疗了吧!
(上海交通大学附属仁济医院胃肠外科 汪明教授)
4
胃肠道出血对于胃肠道间质瘤患者的影响:回顾性队列研究
Huang YQ, Zhao R, Cui YP, et al.
四川大学华西医院胃肠外科
Med Sci Monit, 2018 Jan 18; 24: 363-369. DOI: 10.12659/MSM.908186
本文是一项回顾性队列研究,回顾性分析了从2009年12月至2017年1月在华西医院就诊的且获得R0手术切除的333例GIST患者的临床病理数据,通过对临床病理数据的单因素分析和Cox回归模型生存分析,探究胃肠道出血对于GIST患者术后RFS的影响。
简 评
在GIST患者中,胃肠道出血很常见,据相关研究报道,大约有23–33%的GIST患者以胃肠道出血为首发症状而就诊。有研究表明,相较于没有胃肠道出血的患者,术前有过胃肠道出血的GIST患者预后更差。但是,对于术前胃肠道出血与GIST术后复发的相关性,尚未有进一步的研究进行验证。根据现行全球广泛使用的NIH与AFIP复发风险分级标准,肿瘤部位、肿瘤大小、核分裂象与肿瘤破裂作为GIST术后RFS的独立影响因素,被用来评估GIST患者术后复发风险水平。然而,胃肠道出血是否是GIST术后RFS的独立影响因素,能否被用来评估GIST患者术后复发风险,该回顾性研究可能为我们带来了答案。该研究结果表明,胃肠道出血、肿瘤大小、肿瘤部位、肿瘤破裂与核分裂象是GIST患者术后RFS的独立影响因素,无胃肠道出血患者的RFS明显长于发生过胃肠道出血的患者,并且胃肠道出血对于高度复发风险组患者的RFS具有显著的影响。但是,也有研究表明胃肠道出血与GIST患者的复发风险无明显相关性。反而,更有研究发现,发生了胃肠道出血的GIST患者具有更长的RFS。该研究对象只涉及中国人群,具有一定的局限性,因此,关于胃肠道出血能否作为GIST患者术后RFS的独立影响因素而加入并更新NIH或AFIP复发风险分级标准,依据该研究结果尚不能下定论,可能还有很长的路要走,需要大样本、前瞻性、多中心的临床研究进行进一步的验证。
(南京医科大学第一附属医院普外科 徐皓教授)
5
瑞戈非尼治疗伊马替尼与舒尼替尼失败的进展期胃肠间质瘤疗效与安全性的meta分析
Zhang Z, Jiang T, Wang W, et al.
哈尔滨医科大学一附院结直肠外科
Medicine (Baltimore). 2017 Dec;96(48) (IF: 1.7)
本文是评价瑞戈非尼3线治疗GIST安全性和疗效的荟萃分析。检索日期至2017年2月。通过文献检索和筛选,一共有效纳入四项研究,共243例进展期GIST患者,其中1篇为随机对照研究,其余3篇均为回顾性队列研究。结果显示,伊马替尼和舒尼替尼治疗失败的GIST三线应用瑞戈非尼临床获益、部分缓解和疾病稳定分别约为49%(95%CI 30-67),14%(95% CI 5–23),和41%(95% CI 21–61)。总体人群无进展生存6.58个月(95% CI 4.62-8.54)。安全性方面,高血压(20%;95%CI 7–33),手足部皮肤反应(22%;95% CI 17–27)和低磷血症(18%;95%CI 5–41)是瑞戈非尼最常见的3级或以上不良反应。研究结论提示瑞戈非尼三线治疗GIST临床获益率约为49%,同时应注意监测和应对其常见的不良反应。
简 评
瑞戈非尼在国内获批三线治疗GIST适应证刚好大约半年,算是新药,大家使用经验不是太多。但通过本文发现,国外有关瑞戈非尼的临床应用文章也不多,荟萃分析也只是纳入了一篇随机对照研究,也就是瑞戈非尼申报适应证的关键III期临床研究。由于有价值的临床研究不多,既没有详细的亚组分析和获益因素分析,也没有亚洲人群的安全性数据,说实话,本文的结果并没有太多亮点和借鉴价值。瑞戈非尼上市半年仍然没有赠药项目,也没有进入医保的时间表,我国很多患者确实负担不起,这样高高在上,有没有适应证意义又有多大?我相信瑞格非尼是好药,一定有潜在获益人群,希望拜耳降低本药使用门槛,让有需要的患者真正受惠吧。
(中山大学第一附属医院胃肠外科 张信华教授)
6
一例胃肠间质瘤术后发现肠系膜纤维瘤病的病例
Yiming Chu, Qingqu Guo, Dan Wu
浙江大学第二附属医院外科
Medicine (Baltimore). 2017 Dec. DOI: 10.1097/MD.0000000000008792. IF:1.783
摘要:本文是一篇个案报道,报道了一例在胃的胃肠间质瘤术后发现肠系膜纤维瘤病的病例。介绍了该病例的临床表现、诊断和鉴别诊断过程。
简 评
本文报道了一例胃肠道间质瘤术后发生了第二肿瘤——肠系膜纤维瘤病。
通常在胃肠道间质瘤术后患者中发现原位或邻近部位占位时,临床首先考虑的是GIST复发,特别是本例病例最初即为高复发危险度GIST。本文的一个重要意义在于提示我们,在GIST术后随访过程中发现新发肿物时,要考虑到有发生第二种肿瘤的可能性,在条件允许的情况下,最好能进行活检或者手术,明确病理诊断后再行后续治疗,不要盲目按照GIST进展来处理,避免误诊误治。但是另一方面,本文作为一例少见病例的个案报道,在诊断方面如果能再多做些工作,会使文章更有说服力。首先在免疫组化方面,可以选择一些CD117、DOG-1表达更典型的区域;另外,鉴于免疫组化存在假阳性和假阴性的可能,可以增加一些分子检测的结果,一是有助于为病理诊断提供更有利的支持,二是有助于判断前后两次肿瘤的同源性,对提示本例为NF1相关型GIST还是单纯的发生了两种不相关的肿瘤也会有一定的意义。
(天津肿瘤医院病理科 孙燕教授)
7
C-kit阴性胃间质瘤引起的胃十二指肠套叠与幽门梗阻病例:病例报道与文献回顾
Zhou Y, Wu XD, Shi Q, et al.
江苏省盐城第一人民医院普外科
Z Gastroenterol. 2018 Jan 18. (IF: 1.6)
这是来自江苏盐城市一医院的一篇病例报告,报道一例胃窦GIST导致胃十二指肠套叠并导致胃出口完全梗阻的罕见病例。患者男性,69岁,因“突发性上腹痛伴恶心呕吐6小时”急诊收入,CT和胃镜均考虑胃窦肿物并胃十二指肠套叠并幽门梗阻。外科医生为患者施行了腹腔镜探查和胃下部楔形切除术。术后病理证实胃GIST诊断,肿瘤4.0cm,核分裂像<5/50HPF,DOG-1和CD34强阳性,CD117阴性。常规突变检测提示KIT/PDGFRA野生型。术后没有行辅助治疗,随访33月无复发。
简 评
GIST发病率低,如果留心去发现,其实临床有价值的病例真不少。看看每期月评都有不少病例报告就知道了。本文报道的胃GIST以梗阻的急腹症为表现确实罕见,为临床鉴别诊断提供了经验。我个人觉得,只要病例少见而又典型,对临床诊断和鉴别诊断、治疗有一定的借鉴价值,就应该报道,让大家都掌握并积累这样的经验。本例诊治规范,没有问题。我个人可能还会建议患者进行二代测序,并加作SDHB免疫组化染色。当然,这只是为了进一步进行GIST的亚分类而已,对治疗决策没有多大影响。顺便延伸一下,个人印象中碰到过3例首诊GIST并梗阻的,一例已经出现穿孔,行急诊手术。另外2例为不全梗阻,肿瘤巨大合并腹腔/肝脏转移,因此明确诊断后予停留胃管鼻饲伊马替尼,两例均在一周内梗阻解除。我也应该写写这样的病例报告才对。
(中山大学一附院胃肠外科 张信华教授)
百家争鸣
1
三种预测胃肠道间质瘤的预后模型比较
Oweira H, Schmidt, Mehrabi A et al.
Oncology Department, Swiss Cancer Institute, Cham, Switzerland.
Future Oncol. 2018 Jan 10. DOI: 10.2217/fon-2017-0450. IF:2.131
目的:探索AJCC,NIH和AFIP三种模型对GIST患者预后的评价效果。
方法:收集SEER数据库在2010-2014年间登记GIST病例,分析总生存期和修正的肿瘤特异性Cox回归风险。
结果: 对于胃GIST,AJCC、NIH和AFIP模型的一致性指数分别为0.834、0.833和0.836;对于非胃GIST,三个模型的一致性指数分别为0.800、0.801和0.799。
结论:在评价GIST预后上,这三种模型间是有可比性的。
简 评
继上个月一篇基于单中心病例探讨NIH共识与AJCC分期两种复发危险分型方法对GIST复发的评价效果之后。本月又迎来这篇基于SEER数据库的大数据分析,探讨AJCC、NIH和AFIP三种模型对于GIST预后的评价效果,结果证实,三种模型并没有什么差别。但受限于SEER数据库的登记内容,本文仅着眼于总生存期,未能充分考虑到治疗对生存的影响,也没有考察PFS等指标,所以本文的结论对目前的实际工作并没有很大的提示作用。但本文再次提醒我们需要对GIST,特别是胃外GIST的复发及预后评价标准进行进一步探讨,以期能够发现更能体现肿瘤临床生物学行为的评价标准。
GIST中miR-494靶向survivin从转录水平调控KIT
Yun S,Kim WK,Kwon Y,等
韩国首尔延世大学医学院
International Journal of Cancer,DOI: 10.1002/ijc.31235,IF=6.513
作者运用基因芯片筛选出受miR-494调控的基因survivin,并证实survivin是miR-494的靶基因,其在GIST组织中的表达与miR-494呈负相关。下调细胞中survivin表达可抑制细胞生长,并且可以削弱miR-494介导的细胞生长抑制。研究还表明,survivin可以结合到KIT启动子区,从转录水平调控KIT表达,而且GIST组织中证实survivin表达与KIT表达呈正相关。预后分析表明,survivin与患者生存期呈负相关,而miR-494表达与患者生存期呈正相关。
简 评
这篇文章与miR-152那篇文章如出一辙,可以说是miR-152那篇文章的升华版,作者通过系列实验证实“miR-494-survivin-KIT”的调控关系,survivin是miR-494的关键靶基因,受miR-494调控,而survivin又是KIT的上游调控子,各分子之间的互相调控,支配着GIST的发展。虽然该文章缺乏动物实验的进一步验证,但故事还是讲的有头有尾,值得借鉴。
在人源性肿瘤组织原位异种移植(PDOX)裸鼠模型中,瑞戈非尼使外显子11和17突变的伊马替尼耐药的复发胃肠间质瘤(GIST)减小
Miyake, K., Kawaguchi, K., Kiyuna, T., et al.
AntiCancer Inc. , San Diego , CA
Cell Cycle, 1-21, doi:10.1080/15384101.2017.1423223 (2018).IF=3.53
胃肠道间质瘤(GIST)是一种少见的肉瘤。本研究旨在确定人源性肿瘤组织原位异种移植(PDOX)模型中GIST局灶复发的药物敏感性。该PDOX模型建立在胃前壁。模型随机分为5组,每组6只小鼠,肿瘤体积均达到60mm3:G1为对照组; G2,伊马替尼组(口服(p.o.),每日,3周); G3,舒尼替尼组(p.o.,每日,3周); G4,瑞格菲尼(p.o.,每日,3周); G5,帕唑帕尼(p.o.,每日,3周)。所有小鼠均在第22天处死。在第0天和第22天通过剖腹术评估肿瘤体积。每周测量体重2次。尽管瑞格菲尼在NCCN指南中被归类为GIST的三线药物,但在本研究中其疗效最佳,使肿瘤显著缩小(p <0.001)。与对照组相比,舒尼替尼抑制肿瘤生长(p = 0.002)。然而与对照组相比,伊马替尼和帕唑帕尼无显著疗效(p = 0.886,p = 0.766)。该研究基于PDOX模型。
简 评
对于伊马替尼一线治疗失败后的用药选择,NCCN指南推荐舒尼替尼和瑞戈非尼作为二、三线治疗药物,然而在缺乏头对头对比研究的背景下,二线治疗的最优选仍然充满争议。Adenis Aetal的研究便显示马赛替尼在二线治疗中其OS优于舒尼替尼。现阶段,我们建议完善患者基因监测、伊马替尼血药浓度监测,并根据基因型对不同药物的敏感度的差异及血药浓度差异进行个体化治疗。
(四川大学华西医院胃肠外科 张波教授)
4
胃肠道间质瘤是我们的阻碍和前进的方向
Umang Swami, Varun Monga, Mohammed Milhem
美国爱荷华大学霍顿综合癌症中心,肿瘤、血液和骨髓移植科
ITransl Gastroenterol Hepatol 2017;2:93
doi: 10.21037/tgh.2017.11.07
摘要:Casali et al.最近公布了人们期待已久的欧元区-澳大利亚的III期随机试验中对晚期或转移性(GIST)患者服用400mg,qd与400mg,bid伊马替尼的长期疗效比较的报告。
结果:1.有一小部分长期存活患者,低肿瘤负荷意味着更好的生存。这些结果可作为今后研究的指南,以提高我们对GIST的认识和管理。该研究还报告高剂量伊马替尼治疗外显子9突变的GIST患者能够无进展生存期可获益及低剂量伊马替尼治疗进展,提高剂量至800毫克的GIST患者无进展生存期可适度获益。2.在非进展性GIST患者或病情完全缓解的患者伊马替尼治疗中断后1, 3或5年也可能出现病情进展。此外,恢复应用伊马替尼控制肿瘤却不影响总生存率,伊马替尼的治疗响应不如中止之前。
结论:有必要发现类似GIST主要分子反应的生物标记物对可以安全停药的患者进行识别。
简 评
这项长期的III期随机试验带了可观的结果,为治疗我们GIST病人的IM用药管理颇有益处。GIST患者能在初始高剂量伊马替尼治疗中获益,初始低剂量的进展的患者能在提高IM剂量后获益。然而,IM治疗停药并没有很好的评估手段,同时中止IM治疗患者可能再次出现疾病进展,且IM治疗获益减小。目前GIST的治疗以IM靶向治疗为基石的同时,也遇到障碍:1. 在接受长期疾病控制的患者中,伊马替尼需要继续治疗的时间仍不清楚。2.如何治疗伊马替尼无效的耐药突变。3.GIST的发病率低及较少病人加入临床试验。这些都影响了IM的进一步研究。目前的研究重点有单纯的针对酪氨酸激酶*制剂抑**研究转向了1. 结合药物治疗与免疫治疗靶向治疗其他潜在通路2. 重新启用化疗和新时期的放射治疗。这些在将来的研究中都为我们更好的认识管理GIST提供更好的帮助。
(福建协和医院胃肠外科 周永健教授)
5
恶性GIST的临床表征——单中心经验
Mandrioli M, Mastrangelo L, Masetti M, et al.
意大利博洛尼亚市Pizzardi Maggiore医院外科病区
J Gastrointest Oncol. 2017;8(6):1037-1045. doi: 10.21037/jgo.2017.10.09. PMID: 29299364
背景:GIST的复发率仍然是一个重要的研究课题,这与GIST的生物学行为存在不可预知性有关。由于目前尚无被证实特别有效的风险评估量表来预测GIST预后。因此,我们设计本研究用于研究GIST复发的预测指标。
方法: 2004年9月至2011年1月间,共有34例(男18例、女16例)原发的、局部晚期GIST患者接受手术治疗,其中位年龄62(27-87)岁。免疫组化、c-kit和血小板源性生长因子受体(PDGFRα)基因突变、肿瘤大小、肿瘤部位、肿瘤细胞核分裂指数、同时性肿瘤、辅助治疗、症状和性别等参数被作为预测指标进行综合分析。用受试者工作特征(ROC)分析确定肿瘤尺寸的最佳临界值以预测复发。
结果: 中位随访时间为20(6-86)个月。9例患者接受一线辅助治疗。5例出现复发。肿瘤大小和核分裂指数是最强的预测因子(p<0.001)。肿瘤大小的最大值为7cm[曲线下面积(AUC)=0.955]。
结论: 根据最新的证据,肿瘤直径7cm应被视为恶性肿瘤的阈值,直径较小的间质瘤、具有低的核分裂计数为低风险的肿瘤。
简 评
作者通过对所经治的GIST患者的临床病理资料参数进行总结分析,试图找出GIST复发的预测指标;结果显示GIST肿瘤大小和核分裂指数是最强的预测因子,肿瘤直径7cm应被视为恶性肿瘤的阈值,直径较小的间质瘤、具有低的核分裂计数为低风险的肿瘤。这些结果与目前临床广为接受的基本观点一致,没有突破性的研究结果发现,而且是样本量较小的单中心研究。作者的研究对于临床初步分析GIST的复发高危因素或许具有一定的帮助和指导意义,但是临床表型的基础还是基因和病理机制,单从临床表型就去预测GIST的预后可能未必准确。但就肿瘤大小和核分裂相而言,核分裂像的指导意义更强。因为恶性GIST也是逐渐慢慢长大的,而且临床上可以看到不少GIST虽然直径较小,但仍是恶性的情况。
(空军总医院普通外科 顾国利副教授)
文献综述
1
GIST肝转移的治疗
Machairas N, Prodromidou A, Molmenti, E, et al.
Second Department of Propaedeutic Surgery, “Laiko” General Hospital, National and Kapodistrian University of Athens, Medical School, Athens, Greece;
J of Gastrointestinal Oncology. 2018 http://dx.doi.org/10.21037/jgo.2017.08.08 (IF 未查到)
摘要:GIST肝转移的治疗包括TKI和手术的综合治疗,本研究的目的在于评估此治疗策略的有效性。共纳入了11项关于GIST肝转移的研究,240例患者,中位OS 41.8个月,术后的中位PFS为17.9个月。63例患者出现术后的复发。预后因素包括手术切除,R0切除,年龄<55岁,对TKI治疗有效,术前术后使用TKIs。纳入的研究均提示完整切除,积极地手术治疗及术前术后应用TKI的对于改善患者预后的重要性。
简 评
肝脏是GIST最常见的转移器官,在这篇综述中可以看到,在靶向治疗时代,GIST肝转移的处理和其它类型的复发或转移一样,提倡靶向治疗和手术治疗相结合的综合治疗。
其中多篇文献提示对于手术切除后的患者,若未能给予积极地靶向治疗,患者在术后短期内即可出现肿瘤的复发,从而影响患者的预后。实际上患者一旦出现肝转移,说明肿瘤细胞已转移至远处器官,即提示为IV期患者。现在对于原发性的高危GIST患者,术后靶向治疗虽然定性为辅助治疗,由于伊马替尼只能抑制肿瘤细胞的生长,而不能杀死肿瘤细胞,故停药后1-1.5年可出现肿瘤复发高峰,现对于高危GIST患者是否需要延长3年的辅助时限正在进行相关的临床试验。因而对于已有肝转移的患者,尽管施行了切缘阴性的R0切除,但是此时的术后靶向治疗并不能定义为单纯性的辅助治疗,因而不给予或无长期持续的术后靶向治疗肯定会影响患者的预后,当然对于原发性耐药的PDGFRA D842V突变者例外。
在NCCN及以往的研究中认为对于部分肝转移患者可以推荐接受射频消融,其亦是一种积极有效的局部治疗,非常可惜的是在这篇综述中将此类治疗方法排除在外,因而对于射频消融在肝转移治疗中的作用无法进行有效评价。
在这些文献中,每篇纳入的病例数4-49例,因而有些结果仍以描述性为主。尽管有些文献做了多因素分析,但是考虑到回顾性研究本身的偏移,病例数较少,因而证据级别并不是很高。在文章的结束部分,作者也认为对于此类患者最优的治疗模式还是需要通过III期RCT临床研究予以证实。
(复旦大学肿瘤医院胃外科 周烨教授)
经典个案
1
表现为菌血症和肝脓肿的回肠GIST:病例汇报及文献复习
Gorelik M, Sabates B, Elkbuli A, et al.
美国佛罗里达州迈阿密市肯德尔区医学中心外科病区
Int J Surg Case Rep. 2017;42:261-265. doi: 10.1016/j.ijscr.2017.12.033. PMID: 29324374
摘要:很少数的小肠GIST可表现为腹腔脓肿、穿孔、梗阻或瘘管。肿瘤-小肠瘘是由GIST引起粘膜溃疡所致的一种罕见现象。这使细菌得以从肠道进入体循环,从而导致患者菌血症和化脓性肝脓肿。我们报告一位63岁女性,其首发症状包括发烧、恶心、呕吐及右上腹痛。放射学检查显示患者肝脏病变和含有口服对比剂的腹腔内肿块,这提示胃肠道受累。她被确诊为肝脓肿、咽颊炎链球菌菌血症和回肠GIST伴肿瘤-小肠瘘。我们对其进行了肿瘤切除和经皮肝穿刺脓肿引流术。术后即开始口服伊马替尼治疗,随访12个月后复查CT未见肿瘤复发。与小肠GIST相关的肝脏病灶可以是肿瘤转移,也可以是感染并发症(如化脓性肝脓肿)。如果血培养出孤立的米勒链球菌属成员,则有必要考虑胃肠道恶性肿瘤的可能。本文回顾报告了一例罕见的肿瘤-肠瘘并发肝脓肿和咽颊炎链球菌菌血症的回肠GIST。
简 评
GIST起源于胃肠壁的肌层,其有向黏膜侧侵蚀溃破的生物学行为倾向;所以,胃肠道GIST引发消化道出血的案例在临床上并不少见;但由于肿瘤-肠瘘而引发菌血症和肝脓肿的案例并不多见。作者报道了一例回肠GIST合并肿瘤-肠瘘而导致肝脓肿和菌血症的案例,对临床有一定的借鉴参考意义。诚如作者所言,当临床遇到GIST患者出现肝脏病变时,既要考虑转移的可能,也要考虑存在感染的可能。肝脏感染性病变和菌血症多有全身炎性反应,临床上将其与GIST转移灶相鉴别时也应考虑转移灶坏死液化感染的情况发生。
一例巨大的胃肠道间质瘤囊性病变
Ko Harada, Katsunori Matsueda Tatsuya Toyokawa
日本国立病院,福山医学中心消化科
Intern Med Advance Publication
DOI: 10.2169/internalmedicine.0045-17
背景介绍:一个89岁的日本男子吐血带来我们医院。增强CT显示胃和胰腺之间的11×10×10厘米*小单大**房性囊性肿瘤(图A,箭头)。胃镜检查:发现一个大在胃体上部大弯的软凸起,凸起表明面有一个易碎的溃疡(图B)。病人入院后12天接受胃部分切除术。组织学上,被切除的标本被发现是囊性病变并有部分钙化(图片C)。囊肿包括浆液和血液,病理分析为梭形细胞成分,且c-kit和CD34免疫组化阳性(图片D)。有丝分裂率为10/50个高倍视野,根据弗莱彻的危险分级诊断为胃肠道间质瘤(1)。大多数胃肠道间质瘤为实性肿瘤,囊性改变少见(2)。这种情况下囊性改变可能是由于肿瘤的快速生长和坏死引起的。这种情况下囊性改变可能是由肿瘤的快速生长和坏死引起的。胃肠道间质瘤表现为单房性囊性病变,虽然罕见,应于上腹部囊性病变的鉴别诊断。
简 评
日本国立病院,福山医学中心消化科报道了一例以呕血就诊的老年男性,通过胃镜、CT及术后病理提示为胃巨大GIST囊性变,临床上十分的少见。GIST的危险度根据肿瘤完整性、肿瘤的大小、部位、核分裂像等进行综合评定。上腹部常见的囊性变常见为良性病变,如果没有正确的鉴别可能导致治疗的拖延或者病情的恶化。Ko Harada的报道提醒我们GIST肿瘤病变的多样性,尤其是中老年男性肿瘤性病变的复杂性和不确定性。为我们诊断鉴别开拓思维,使更多的病人收益。同时,上腹部的囊性病变的多样性,对我们术前评估及治疗方案的选择有着许多的挑战。胃镜病理活检可以有助于诊断的同时,也再次提醒我们呕血病人行胃镜的必要性。
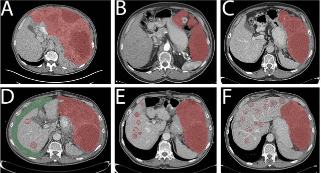
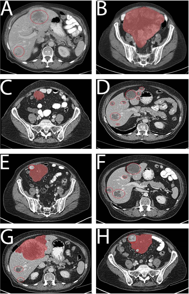
治疗PDGFRA基因突变胃肠间质瘤敏感的酪氨酸激酶*制剂抑**——2例病例报道及文献回顾
Boonstra PA, Gietema JA, Suurmeijer AJH, et al.
University of Groningen, University Medical Center Groningen, Department of Medical Oncology, The Netherlands.
Oncotarget, 2017, Vol. 8, (No. 65), pp: 109836-109847 SCI IF4.73
病例1为一个76岁的老年男性,腹部巨大包块(29cm,图1A)),ECOG 3,穿刺证实为GIST,PDGFRα外显子18突变 (NM_006206.5: c.2531_2542del; p.(M844-S847del))。一线给予伊马替尼400mg qd,一周后恶心症状就缓解了,并且生活质量明显改善。治疗持续了1年,最佳疗效为SD(每3月CT评估)。随之腹膜出现了新病灶(图1B),第15个月时调整为二线治疗药物索坦 37.5mg qd。病情在服药后1年内得到良好控制(图1C)。1年后出现PD,中等量腹水(图1D)。经过引流后症状控制,肝脏出现多发转移灶并行穿刺活检,调整为三线药物瑞戈非尼(160mg qd, 3/4方案),PFS为5个月(图1E),并于PD停药后1月死亡(图1F),重新口服伊马替尼无效。患者在三线瑞戈非尼和四线伊马替尼治疗期间留取了血样,发现在1E和1F期间突变拷贝数增加(180-850拷贝/ml,图3A),最后一次随访(死亡前2周)时拷贝数达到4767拷贝/ml。

图1. 病例1的CT图像
病例2为76岁的老年女性,因腹痛就诊,CT发现腹腔25cm的肿块伴多发肝转移(图2A和2B),肝穿刺活检提示CD117阳性GIST,突变分析未发现KIT突变,PDGFRα当时未检测。 一线给予伊马替尼400mg qd,10天后临床症状缓解,耐受性良好,3个月后获得PR(图2C 和2D),30个月后原发肿瘤和肝转移灶都出现了PD(图2E和2F)。重新分析原来标本的PDGFRα发现外显子18突变 (NM_006206.5: c.2527_2538del; p.(I843_ D846del))。患者接受了增量的伊马替尼(400mg BID),耐受性良好,但未获得疗效 (3个月后的CT评估,如图2G和2H)。随后调整为索坦37.5mg qd,但2个月后症状持续恶化,OS总共36个月。 由于组织标本采集困难,本例患者进行了血样的ctDNA分析(图3B) ,结果显示患者在伊马替尼治疗的第16.5个月时突变拷贝为6拷贝/ml,这个低水平一直维持到第30个月。在伊马替尼增量开始时为275拷贝/ml,第33个月增长为852拷贝/ml,索坦治疗启动后,一度降至208拷贝/ml,但因患者在第36个月死亡未再收集血样。

图2. 病例2的CT图像

图3. 治疗期间系列血样突变拷贝数分析
PDGFRα激酶结构域的计算机3D模型
PDGFRα激酶结构域活化环的计算机3D模型提示其可以稳定激酶于非活化状态,有利于伊马替尼的结合。而D842V的晶状结构为激酶活化状态,导致ATP亲和力增加,进一步产生耐药(Cancer Chemother Pharmacol. 2011; 67:S25–43. )。图4构建了三种3D模型,分别是PDGFRα-M844_S847缺失、PDGFRα- I843_D846缺失和PDGFRα-D842V(A为D842野生,B-D对应上述突变类型)。通过几何学的空间相互影响分析发现后两种模型对活化没有作用,而且不影响伊马替尼或舒尼替尼与相应的残基结合。

图4. PDGFRα激酶结构域活化环的计算机3D模型
本文文献综述
PDGFRα突变与伊马替尼的疗效
共查阅了PubMed上有关文献14篇,涉及患者102例,均为PDGFRα第18外显子突变。结果显示,伊马替尼的PFS非D842V突变者是D842V突变者的10倍,OS分别为59.8个月对比25.2个月。同时,也有文献报道p.M844_ S847缺失患者手术后无复发的证据,而p.I843_D846缺失的病例罕见,未见报道。
PDGFRα突变与舒尼替尼的疗效
只有2篇报道二线舒尼替尼的情况,非D842V突变者是D842V突变者的PFS分别是7.3个月对比1.9个月。还有一组队列研究显示,疾病稳定超过6个月。
简 评
(1)Oncotarget杂志(IF4.73)突然被毙,还让笔者拜读这篇文章,一直是带着这样的心理不情愿地往下啃的,打动我的其实是文中漂亮的插图;
(2)荷兰学者能把两例少见非D842V突变的PDGFRα第18外显子突变患者的故事演绎的如此完美,值得我辈学习和尊敬;
(3)本人高中数学很好,空间感觉不错,可是全还给老师了!能在非D842V的地盘重现,伊马替尼和舒尼替尼兄弟俩应该值得欣慰。过了842这道坎,843-847这段路也许相对平坦;
(4)ctDNA真的是大势所趋,应该在复杂、耐药或少见突变患者中推荐检测,更应该集全国力量进行前瞻性登记研究!
甲磺酸伊马替尼时代的复发性GIST治疗策略:一例非治愈性疾病
Platoff RM, Morano WF, Marconcini L, et al.
Department of surgery, Drexel University College of Medicine, Philadelphia, PA, USA
Case Reports in Oncological Medicine, Volume 2017
摘要:58岁男性,因腹部隐痛,便秘一年就诊。腹盆腔CT提示一分叶状,19x18x10 cm增强明显的肿块,于2013年1月接受了R0的肿瘤切除,包括部分小肠和部分膀胱切除。病理诊断:起源于近端空肠的高分级GIST,8/10HPF,伴坏死。免疫组化结果提示CD117(+),β-catenin(+),Vim(+),SMA(+)。C -Kit,PDGFRA基因未检测到突变,复发分险为90%,术后接受伊马替尼400 mg辅助治疗,伴有1级腹泻。在伊马替尼辅助治疗中的2016年5月CT随访发现左下腹近乙结肠处一3.5X2.8 cm的占位,给予伊马替尼800 mg口服,2016年7月复查CT提示PD,原肿瘤增大至4.0x3.3x3.2 cm,压迫乙结肠,新发2个病灶,分别为:脐周2.5x2.4x2.1 cm的病灶,右上腹5.3x3.7x2.1 cm的病灶。2016年7月手术,探查发现除原复发病灶,在右下腹另有一结节,行小肠切除+右上腹肿块切除+乙结肠切除+右下腹结节切除术。病理提示为高分级GIST,切缘(-),c-Kit未检测到基因突变。NGS提示可能对舒尼替尼敏感的野生型,术后给予舒尼替尼。2017年5月CT提示无肿瘤复发,每三个月建议随访一次。随后文章根据现有的文献讨论了原发性GIST的治疗和复发转移性GIST的综合治疗。
简 评
这是一例比较常见的GIST病例,整个病例贯穿了原发性和复发性GIST的综合治疗理念。
对于复发转移性GIST的靶向治疗,三个已经批准适应证的靶向治疗药物,伊马替尼、舒尼替尼和瑞格菲尼均有其III期RCT研究作为循证依据,因而按照疾病的进展给予各线治疗并无特别争议,当然仍有优势人群的推荐。此例患者,对于原发病灶抑或术后的转移病灶都进行了基因检测,均提示为野生型,因而是一例真正的野生型患者。二项关于伊马替尼一线治疗的III期RCT临床研究提示野生型患者高剂量组的PFS或OS都不优于低剂量组,因而这例患者也确实无法通过伊马替尼加量来获益。文章在最后的文献综述部分中也提到对于野生型患者,一旦肿瘤进展,考虑到野生型患者舒尼替尼治疗的中位PFS可以达到19个月,因而推荐直接换用舒尼替尼。
现在对于复发转移性患者,尽管高级别的循证学依据比较少,但是仍推荐在靶向治疗控制良好的情况下可推荐进行手术治疗。手术的R0切除、肿瘤负荷和TKI的疗效是影响手术治疗获益的重要因素。对于TKI治疗中出现局灶进展性可切除性病灶,也推荐进行积极地手术治疗后加用靶向治疗。但是对于广泛性进展病例,多个回顾性文章提示手术治疗的疗效不佳,中位OS只有1年左右,因而不推荐手术治疗。但是这例患者虽然出现了广泛性的肿瘤进展,但是这个患者是辅助过程中的新发肿瘤,因而虽然是广泛性复发,但是肿瘤较小,考虑完整切除的机会较大,手术创伤小,因而接受了手术治疗,也可以看到在术后10个月的随访中,在舒尼替尼治疗下,CT随访未发现肿瘤复发。因而对于这类尽管为广泛进展性病例,但仍有完整性手术机会的患者,提示可以考虑手术切除。然而舒尼替尼和手术的序贯治疗顺序仍然没有结论,当然理论上仍是推荐进行RCT的前瞻性研究,但是考虑到这类病例数较少,估计要完成这项研究困难重重。
消耗性甲状腺功能减退:一例胃间质瘤的副肿瘤性表现
Consumptive hypothyroidism: an unusual paraneoplastic manifestation of a gastric gastrointestinal stromal tumor.
T. Patial, K. Sharma, D. Thakur, et al.
Department of General Surgery, Indira Gandhi Medical College, Shimla, Himachal Pradesh 171001, India.
Exp Oncol. 2017, 39(4):319-321.
作者报道了一例患有甲状腺功能减退的42岁中年男性,因腹部进行性增大包块伴恶心、腹胀就诊,同时出现甲状腺功能减退恶化,服用超常剂量的甲状腺素仍不能得以纠正。经CT及手术探查明确为胃来源的间叶源性肿瘤,经手术切除后病理明确为GIST。术后患者的甲状腺功能逐渐恢复正常并停用甲状腺素治疗。
简 评
GIST中的副肿瘤性综合症表现之前在不同的个案报道中有所提及,包括自身免疫溶血性贫血、低血糖、低钠血症、肾病综合征、头痛、复视等。消耗性甲状腺功能减退首次是在一例小儿血管瘤病案中被报道,其机制是循环中甲状腺激素降解速率超过了合成速率,往往由甲状腺5’-脱碘酶3(D3)过渡表达引起,诊断标准包括血清rT3水平升高和对外源性甲状腺素的超常需求。本研究首次报道了一宗GIST合并消耗性甲状腺功能减退的病案。
甲状腺功能减退是临床常见病,临床医师在遇到难以用其他原发病解释的甲状腺功能减退,尤其是需要使用超常剂量甲状腺素的患者时,需要警惕存在肿瘤性病变,如GIST的可能,并采取rT3检测等实验室手段明确消耗性甲状腺功能减退的诊断。
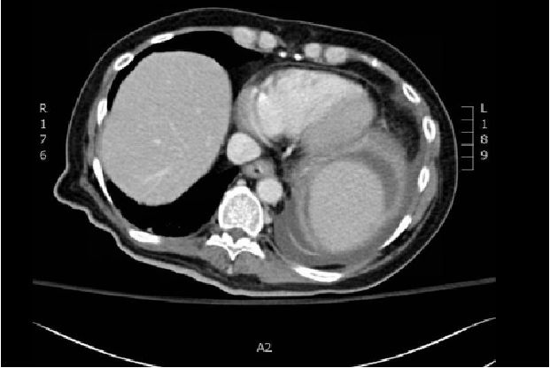
十二指肠原发性胃肠道间质瘤的心外转移
Miyazaki, S., Ogimoto, A., Matsukage, S., et al.
Division of Cardiology, Uwajima City Hospital, Japan.
Intern Med, doi:10.2169/internalmedicine.0056-17 (2017).IF= 0.815
一例74岁患有原发性十二指肠间质瘤(GIST)的女性患者因心源性休克收入我院急诊科,死于心外肿瘤破裂导致的心脏骤停。冠状动脉CT血管造影(图A)显示肿瘤有来自右冠状动脉和左前降支的营养血管。心血管磁共振(图B)显示肿瘤(箭头)具有不均匀强化,起自心肌。患者选择接受保守治疗。尸检于心室浆膜下检测到一个7×8×7厘米的弹性软肿瘤。病理示呈纤维样增生的轻度非典型梭形细胞(图C),CD117(c-kit)阳性(图D)。因此,该心外肿瘤被诊断为GIST转移。虽然三分之二的GIST转移患者为肝转移,心脏转移较罕见。
简 评
目前,国内外报道GIST 心脏转移的文献较罕见,该病例让我们认识到GIST复杂的转移途径。对于复发转移风险较高的患者,指南建议定期全面检查,包括胸腹部CT或MRI以及骨扫描等,是否需要加入心脏彩超等项目,尚无定论,因此需要予以重视。至于GIST患者,在因其他疾病就诊时,需警惕GIST转移的可能,MDT多学科评估显得更加重要。
(四川大学华西医院胃肠外科 张波教授)

7
超声内镜引导下细针穿刺诊断一种罕见十二指肠肿瘤
Kazuyasu Takizawa, Toshifumi Wakai
新泻大学,牙科及内科総合研究所,消化外科
World J Gastrointest Endosc 2017 December 16; 9(12): 583-589
DOI: 10.4253/wjge.v9.i12.583
背景与目的:十二指肠间质瘤(GIST)是极为罕见的疾病,且腔外型十二指肠间质瘤(GIST)的诊断十分困难。这些肿瘤被误诊为胰腺肿瘤;只有胰十二指肠切除术进行局部切除术后病理,才可以进行准确的诊断。因此,通过术前超声内镜(EUS)和细针穿刺(FNA)的诊断方法对十二指肠肿瘤诊断是十分必要的。
方法:一位50岁女性CT发现了一个位于胰腺钩突部27毫米直径的肿瘤。通过EUS显示肿瘤位于十二指肠的肌层,并应用内镜超声引导细针穿刺(EUS-FNA)位于胰腺钩突部的低回声肿块。
结果:穿刺病理组织学检查显示为梭形肿瘤细胞,c-kit染色阳性。基于这些发现,肿瘤被确诊为腔外型十二指肠GIST,最终患者成功的行十二指肠部分切除术对肿块进行切除。
结论:EUS和EUS-FNA是诊断十二指肠间质瘤腔外型且与胰头肿瘤相鉴别的有效方法。对术前决定正确的外科手术方式有着重要的指导意义。
简 评
十二指肠GIST临床十分少见,且腔外型的十二指肠Gist与胰头部肿瘤的鉴别也十分的困难。目前缺乏十二指肠Gist腔外型有效的术前诊断方法。新泻大学,牙科及内科総合研究所,消化外科的Kazuyasu Takizawa医师通过十二指肠超声内镜结合超声引导细针穿刺(EUS-FNA)对十二指肠肿块进行的准确的术前病理诊断,避免了患者应术前诊断不清,行过度的胰腺肿瘤的消化道切除及重建术。该方法的应用为临床术前评估改部位肿瘤提供很好的参考依据,对后续决定手术方式有着重要的指导意义。然而,目前十二指肠GIST手术具体方式的选择应该根据具体肿瘤的大小、部位、核分裂像、风险程度综合评定而选择。对行十二指肠的局部切除手术或者胰十二指肠切除的选择仍有争议。目前该方法对十二指肠Gist的术前诊断例数少,且EUS-FNA对内镜操作者要求高,安全性仍待考量。对十二指肠Gist术前评估有效性,希望在后续研究中提供更多的数据支持。
(福建协和医院胃肠外科 周永健教授)
8
类似于胃肠道间质瘤的原发性胃滑膜肉瘤
Olsen G, Beal EW, Pfeil S, et al.
The Ohio State University College of Medicine, USA
J Gastrointest Surg. 2018 Jan 8. doi: 10.1007/s11605-017-3657-x
本文是一篇病例报告,报道了一例十分罕见的类似于胃肠道间质瘤的原发于胃的滑膜肉瘤,介绍了该病例的临床表现、诊断、鉴别诊断、手术治疗、术后常规病理、免疫组化等结果,并简要介绍了滑膜肉瘤的临床病理特征。
简 评
滑膜肉瘤属于一种临床罕见病,可发生于躯体的多种部位,但很少发生于胃肠道。原发于胃的滑膜肉瘤十分罕见,只有极少的相关病例报道。滑膜肉瘤的诊断比较困难,组织学上可表现为梭形细胞、上皮样细胞、圆形细胞等多种形态,易与胃肠道间质瘤等疾病相混淆。免疫组化染色是诊断滑膜肉瘤的重要手段,如果伴随有INI1、EMA、细胞角蛋白EA1和EA3、TLE-1与BCL-2等蛋白的阳性表达,应该考虑到滑膜肉瘤的诊断,但是这些并不是滑膜肉瘤的特征性表现。明确诊断为滑膜肉瘤,应进行分子遗传学检测,其中染色体易位t(X;18)是滑膜肉瘤的特征性表现。通过该病例报告,我们应该认识到,虽然滑膜肉瘤属于罕见病,并具有与胃肠道间质瘤相似的形态学特征,但在临床工作中对于胃肠道粘膜下的占位性病变,除了胃肠道间质瘤,我们还应考虑到滑膜肉瘤的可能,应认真仔细地进行鉴别诊断,以免误诊或漏诊,进而使患者能够得到及时并正确的治疗。本研究再次向我们展示了基因检测在GIST诊断与鉴别诊断中的重要作用。
(南京医科大学第一附属医院普外科 徐皓教授)
9
一例合并骨样分化与基质钙化的胃肠间质瘤及文献回顾
Al-Maghrabi H, Meliti A.
SAGE Open Med Case Rep.2017 Dec 21;5:2050313X17746310. (非SCI收录)
Anatomic pathology department, King Faisal Specialist Hospital & Research Centre, Saudi Arabia.
65岁男性,因胃部肿物就诊,既往合并前列腺增生、高血压、血脂异常病史,体检发现腹部轻度压痛,无其它阳性体征,腹部CT提示胃与十二指肠连接部含有多发钙化点的密度混杂的疑似肿物,未见肝、腹膜及淋巴结转移,手术切除标本提示边界清晰的多叶状肿瘤,大小7.5 × 4.5 × 3.5 cm,源在胃体后壁,肿瘤剖面白色、坚硬、可见钙化点,未见坏死区域,组织病理学检查提示肿瘤细胞呈局灶性结节性/丛状生长的梭形细胞与上皮细胞混合型弥漫分布的生长方式,核分裂计数<3/50HPF,并发现多个区域的骨样分化与成熟骨生成现象,组织切缘阴性,IHC提示CD117与DOG-1阳性,CD34局灶阳性,组织病理学与IHC支持低度恶性伴成熟骨形成、骨化生与钙化的GIST诊断,术后随访13个月,未见肿瘤复发。
作者在讨论部分提及少数钙化GIST的报道与仅有一例合并骨样分化GIST的病例,对于骨样分化机制并不明确,但可能与肿瘤细胞分泌人骨形成蛋白有关。合并钙化可能是相对预后较好的GIST。

简 评
钙化在TKI治疗后的GIST中不少见,也是治疗有效的主要表现之一,但在TKI治疗之前出现确实不多见,除了本文作者提及的肿瘤内部的出血、坏死、囊变因素之外,笔者觉得更根本因素应该追溯于自身良好的免疫反应而导致该类临床表现,也提示TKI治疗前合并钙化的GIST预后较好,因此对于该类患者在选择药物或手术治疗时,需要注意保护患者的免疫功能不要收到严重的破坏。对于骨样分化,笔者非常认同作者的观点,其最重要的原因是笔者对此也没什么自己的观点。
(北京大学肿瘤医院消化肿瘤内科 李健教授)
本期月评参与人员
解放军八一医院肿瘤中心 刘秀峰教授
四川大学华西医院胃肠外科 张波教授
复旦大学肿瘤医院胃外科 周烨教授
空军总医院普通外科 顾国利副教授
福建协和医院胃肠外科 周永健教授
中山大学一附院胃肠外科 张信华教授
上海交通大学附属仁济医院胃肠外科 汪明教授
江苏省人民医院胃肠外科 徐皓教授
天津肿瘤医院病理科 孙燕教授
北京大学肿瘤医院消化肿瘤内科 高静副研究员
北京大学肿瘤医院消化肿瘤内科 李健教授
北京大学肿瘤医院消化肿瘤内科 刘丹博士