“牙缝太大,吃东西老塞牙,难受”
“牙缝怎么会越来越大了?是因为经常用牙签、牙线的缘故吗?”
“我这么穷,是不是因为牙缝太大了?”

从面相学上来分析,牙缝大是漏财的象征之一,这并没有科学依据,但抛开漏财这一说法,牙齿间的缝隙过大还会影响容貌,甚至会影响口腔的健康。
站在口腔医生的角度来分析,牙缝过大确实会给容貌、健康和生活质量造成影响,情况较为严重者需要通过科学的方式进行调整。
那么到底是什么让牙缝变得越来越大了呢?
牙缝为什么会越来越大了?
1.先天性因素:先天性的牙齿发育畸形,青少年时期就表现出牙齿排列不好;
2.缺牙不管:将牙齿缺失置之不理,邻牙塌陷形成过大的牙缝;
3.严重龋齿:牙齿龋坏,细菌腐蚀牙齿后所形成的缝隙;
4.牙周疾病:牙周病会导致牙槽骨吸收,时间越长牙根暴露越明显,牙齿缝隙也越大。
正常健康的牙龈状况,在牙与牙之间填充着满满的牙龈,而且轻易不会塞进去食物。从剖面图来看,你会看见其实还是有一些小的缝隙存在,但是被牙龈和牙周组织支撑得很好。

牙龈不健康的人,牙与牙之间有大大的缝隙,牙龈红肿退缩,暴露出了牙根。从剖面图看,明显的牙龈和牙周组织的萎缩,骨头的吸收也非常明显。
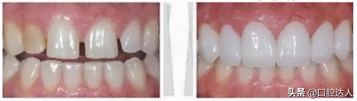
牙缝太大,可以补吗?
1.树脂修复:对于 1 ~ 2 mm 的门牙牙缝,可以直接用树脂美学修复,只是脱落的几率比较大,需要定期维护。
2.牙齿矫正:通过戴牙套矫正的方法,使牙齿发生移动,牙齿矫正可以达到收缩牙齿缝隙的目的,矫正时间需要1年半到两年左右。
牙齿矫正治疗可以很好的解决牙缝大的问题,对牙齿没有损失,但是对于成年人来说矫正时间长。

3.烤瓷牙修复:如果是门牙缝隙大,一般我们建议选择全瓷烤瓷牙,因为全瓷烤瓷牙没有金属基底,不仅能恢复牙体的形态功能,抗折力强且颜色、外观逼真,表面光滑,长期使用不会出现黑点及牙龈变色等问题,所需要的时间比较短。

4.牙齿贴片:牙齿贴片对于牙缝大也是一种很好的办法,相对于烤瓷牙来说牙齿贴片只需要磨去牙齿表面一层,对牙齿造成的损伤很小,而且所需要的时间也较短。

【恒伦口腔】提示:不论哪种修复方式,在调整前,最好检查清楚是哪种原因造成的牙缝过大。比如牙周病导致的牙龈萎缩,造成牙缝越来越大,必须先接受治疗,将牙周炎症控制住,随后再进行相应的修复关缝。