不知道有多少家长对孩子的乳牙问题,持这样的观点……
“乳牙坏了没关系,反正要换牙!”
“我家宝宝不听话,去补牙肯定又哭又闹!还是等换牙吧。”
“乳牙蛀了就蛀了,等换了新牙就好了!”
但是,真的是这样吗?

如果乳牙蛀了放任不管,会怎样呢?
接下来,让我们一起来看看!
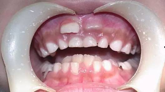
健康的乳牙是这样哒

口腔卫生没做好,一不小心就蛀了

“没关系,换牙就好了!”恩~坐等换牙,再忍忍
本着换牙就会好的心态,直到牙齿成了这样

没错,乳牙迟早是会更换,但是它会在小朋友的口腔中存在很长一段时间,大概在口腔内存留6-10年。而这段时期恰是孩子生长发育的重要阶段,所以乳牙对人的一生至关重要。龋坏的乳牙不积极治疗,对儿童的全身以及局部健康都有影响:
1、面部发育不对称
坏掉的一侧不利于咀嚼,孩子会选择使用好的一侧,长期偏侧咀嚼,两边咀嚼肌得到的锻炼不均衡,造成大小脸,严重甚至会影响骨骼发育,导致偏颌。

2、恒牙胚发育不全
牙龋齿如果不加以治疗,龋坏进展迅速,可发展为牙髓炎、根尖炎,患儿在承受疼痛折磨的同时,感染可能会发展至乳牙下方的恒牙胚,导致恒牙釉质发育不全,恒牙一出世可能就顶着毁容脸…
3、牙列不齐,影响美观
乳牙龋坏严重可导致乳牙过早缺失,下面的恒牙也会受影响,出现萌出过早或过迟,导致牙齿排列不齐,影响咬合关系。躺枪的恒牙表示香菇蓝瘦……

4、儿童营养不良
孩子的偏食可能就是蛀牙引起的。如果乳牙因龋齿疼痛,无法正常咀嚼,容易使小朋友养成偏食的习惯,可能不喜欢吃肉或蔬菜等纤维多的食物。因为这些食物咀嚼较费力,可能出现坏牙疼痛或塞牙等情况,将会造成儿童营养不良的发生。

看了这么多,你还认为乳牙蛀了不用管吗?
孩子的成长只有一次,
牙齿的替换也只有一次。
不要等错过了才后悔!
如果孩子蛀牙,一定要及时找牙医!!!