(声明:本文仅用于科普用途,为了保护患者隐私,以下内容里的相关信息已进行处理)
【基本信息】女,74岁
【疾病类型】牙周炎
【治疗医院】聊城市人民医院(三甲)
【治疗方案】全口牙洁治+口腔卫生宣教
【治疗周期】门诊全口牙洁治后,每隔六到十二个月回院继续接受专业性的洁治治疗。
【治疗效果】患者牙龈炎症显著消退,口腔维护的意识也有明显提高。
一、初识患者
半年前,患者发现自己牙齿出现松动,开始她并没有在意,觉得自己已经74岁了,牙齿松动是正常现象,就未前往医院接受处理。然而好景不长,患者牙齿松动症状加重,影响咀嚼,而且还伴随出现了口腔异味和牙刷见血等表现,于是在家人的反复劝说下,患者来到我院就诊。
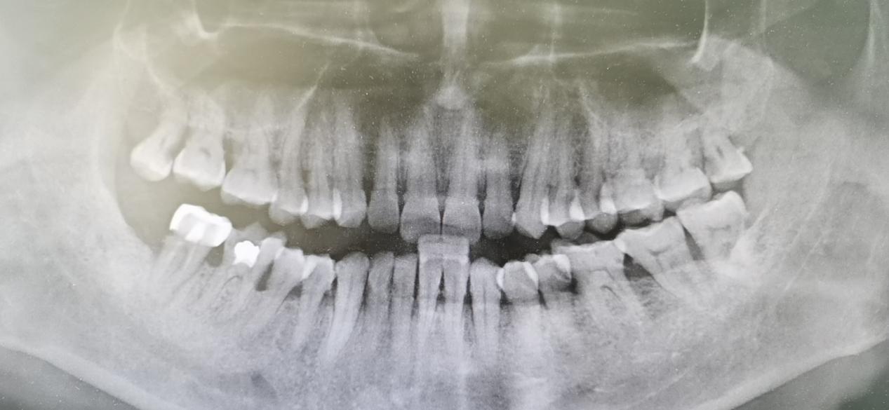
就诊后,首先查看了患者口腔情况,当老人张开嘴,可见牙龈红肿,大量牙石覆盖在牙根部和牙齿缝隙,而且牙齿质地松脆,用探针触及可见出血沿牙龈缘扩散,并溢出牙龈沟,牙周袋深度约为4~6mm。于是进一步安排患者完善曲面断层平,检查结果提示全口牙槽骨水平吸收至根1/3-1/2。

二、患者的治疗经过
牙周炎早期症状不明显,患者常只有继发性牙龈出血或口臭的表现,与牙龈炎症状相似。但随着炎症的进一步扩散,牙周膜被破坏,牙槽骨逐渐吸收,牙龈与牙根分离,使龈沟加深而形成牙周袋。同时由于牙周组织被破坏,特别是牙槽骨吸收加重时,支持牙齿力量不足,出现牙齿松动、移位等现象。此时患者常感咬合无力、钝痛,牙龈出血和口臭加重。

本次就诊的患者就有典型牙周袋形成、牙齿松动、探及出血的表现,而且完善曲面断层平可见牙槽骨吸收,因此明确诊断为牙周炎。鉴于患者口腔情况较差,决定予以全口牙洁治+口腔卫生宣教,并视情况决定洁治后是否要进行牙齿翻瓣术,以消除牙周袋。
在和患者沟通后,嘱其含漱3%双氧水1分钟后,行龈上洁治、龈下刮治,去除大部分牙结石后,给予大量3%双氧水冲洗,并喷砂、抛光。完成洁治术后,告知患者治疗后2小时内禁止漱口、饮水、进食,居家期间勿进食过冷、过热食物,必要时使用抗敏牙膏,并于一个月后复查。
三、患者在治疗中的注意事项
1、某些系统性疾病如血液疾病、糖尿病等会引起牙龈出血,牙齿松动。因此患者若患有这些疾病,应及时告知医生。
2、初次洁牙的患者有可能洁完牙之后会出现牙齿冷热敏感,但一般可自行消失,因此患者不必过于担心。若症状持续加重,不能缓解,请及时复诊。
3、洁牙术后一周避免冷热刺激性的食物,避免过凉、过烫的食物。
4、洁牙后不要用力吮吸或用舌头舔拭,手指触摸牙龈,一周内不要用牙线、牙签。
四、患者的治疗效果
患者从初诊到一周后复诊,口腔卫生情况明显改善,牙龈炎症显著消退,口腔维护的意识也有明显提高。但牙周袋深部仍有散在牙石,需要经过进一步巩固治疗方可达到更健康的牙周环境和更好的治疗效果 。
五、患者在日常生活中的注意项
1、保持口腔清洁,每天的早晨和晚上都应该刷牙,一日三餐后要用清水漱口,漱口时要借用水的冲力尽量将牙缝中的食物残渣清除。
2、使用牙线。刷牙并不能完全去除牙齿邻面牙间隙的食物菌斑,所以合理使用牙线有益牙周健康。
3、注意饮食要均衡,多吃一些蔬菜、水果,少吃一些含糖量高的食物,少抽烟、少喝酒。
4、定时回院复查,每隔六到十二个月接受一次专业性的洁治治疗。

六、医生感悟
牙周炎是一种渐进性疾病,它不像普通感冒一样,不管治不治疗,只要不继发感染,一周左右都会好。如果患者不对炎症和口腔的刺激因素进行控制,会先引起牙龈炎症,继而进一步发展为牙周炎,累及牙槽骨。当骨质缓慢丧失,牙齿就失去了支撑,开始松动,最终导致牙齿脱落。
本次患者就诊时可见大量牙石覆盖在牙根部和牙齿缝隙,且可见牙周袋形成,并出现牙齿松动,牙龈出血等表现,因此确诊为牙周炎。对于牙周炎,彻底清除龈上及龈下的菌斑是有效治疗的第一步。因此,给予患者龈上洁治术、龈下刮治术治疗,去除大量牙结石。
去除牙结石后,有效刷牙、定期做口腔洁治是影响预后的第二步,患者回家后应坚持早饭刷牙、饭后漱口,并每年接受1---2次专业的全口洁治,由专业牙医清除牙齿上的菌斑和结石,保持牙周组织健康,防治牙周病,同时,给牙齿做“体检”,发现问题尽早处理。
通过治疗和口腔卫生管理,患者牙龈炎症显著消退,口腔维护的意识也有明显提高,目前处于巩固治疗阶段。
姓名: 白广亮
单位: 山东聊城市人民医院
科室: 口腔科
职称:主治医师