近日,海慈医疗集团血管外科中心为一例胸主动脉弓动脉瘤患者成功实施左颈总动脉-左锁骨下动脉人工血管转流术+主动脉弓动脉瘤腔内隔绝术的杂交手术,该手术难度系数高,标志着海慈大血管疾病团队在治疗主动脉疾病领域达到国内先进水平,将给更多的动脉瘤患者带来福音。
66岁的周先生,2年前因腹主动脉瘤在血管外科行腹主动脉瘤腔内隔绝术+髂内动脉瘤栓塞术,术后随访复查时发现胸主动脉弓动脉瘤持续增长,且动脉瘤直径已经增大至5cm。

主动脉弓动脉瘤像一颗定时*弹炸**,随时有破裂可能,而且压迫邻近的纵隔器官组织可产生呼吸困难、喘鸣、咳嗽、咯血、胸痛和声音嘶哑等症状。患者目前急需手术治疗,减少破裂风险。由于患者主动脉弓部动脉瘤的位置较高,位于头臂干动脉与左锁骨下动脉之间,按照传统的手术方案,该患者需要深低温体外循环并切断心、脑、全身血供的情况下进行主动脉全弓置换术,手术复杂、时间较长、创伤极大、存在诸多并发症的风险。
同时,病变累及全部主动脉弓,若进行完全主动脉腔内治疗,覆膜支架需要覆盖左锁骨下动脉,但患者既往有高血压病史、腹主动脉瘤病史,完全覆盖左锁骨下动脉可能会导致患者术后脑梗事件、截瘫事件的发生概率大大增加,给血管外科中心专家团队带来巨大考验。
为提高手术安全性,使患者所受创伤最小,血管外科中心二科主任李强团队分析病情,认为患者手术难度大,风险高,经过仔细术前评估,反复制定治疗方案,术前控制患者血压和心率,改善患者心肺功能,积极行围手术期准备,为患者量身定制手术方案。手术当日,李强主任带领血管外科团队联合介入医学科、麻醉手术科,为患者成功实施了杂交手术治疗,左颈总动脉-左锁骨下动脉人工血管转流术+主动脉弓动脉瘤腔内隔绝术。
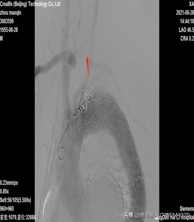
手术先进行左颈总动脉-左锁骨下动脉人工血管转流术,保证脑部和上肢的血液供应。后于采用微创介入手术方式,于右股动脉穿刺入路行主动脉弓动脉瘤腔内隔绝术,术中造影见转瘤人工血管血流通畅,主动脉弓动脉瘤封堵良好,未见内漏。既保证了脑部及上肢的血供,又完全腔内隔绝了主动脉弓动脉瘤,从而保证肿瘤不会破裂和生长,安全解除了患者体内的“定时*弹炸**”。杂交手术历时3.5小时成功完成,术后一天,患者恢复良好转回普通病房,目前已康复出院。

转流人工血管

红色箭头为转流人工血管
李强副主任医师介绍,“杂交手术”是指将传统开放手术和微创介入手术结合在一起的一种新型的手术方式,适合于高龄并有高危风险因素患者的主动脉弓部的手术。将原本对血管病“分而治之”的外科搭桥术、微创支架术可以一气呵成,打破了学科壁垒,体现了微创的优势,给患者提供完整、系统的科学治疗,具有住院时间短、风险小、微创、费用低等优势,使患者的获益最大化。
专家提醒,由于动脉瘤早期并无明显症状,一旦确诊为动脉瘤,尤其是直径超过5厘米,应尽早手术治疗,否则瘤体破裂,死亡率高达90%。出现不明原因的胸闷气短、久咳、吞咽困难等症状时,应及时到医院进行检查。
李强:血管外科中心二科主任,副主任医师,熟练掌握血管外科疾病的诊治,尤其在下肢动脉硬化闭塞症的微创治疗方面,开展手术数量位居省内前列。近年来开展了数百例大血管疾病如复杂腹主动脉瘤、主动脉夹层等以及下肢动脉硬化闭塞症的开放手术治疗。曾两次在世界最大下肢动脉闭塞疾病治疗中心—德国莱比锡大学附属医院学习,每年赴省内三十余家医院指导下肢动脉闭塞手术,发表论文10余篇,其中SCI两篇。
兼任山东省中西医结合学会周围血管疾病委员会副主任委员,山东省医师协会外周血管介入医师分会青年委员会副主任委员,青岛市医学会血管外科专业委员会副主任委员等多项社会兼职。
坐诊时间和地点:周五全天 海慈医疗集团国医堂A楼2楼外科诊区
青岛新闻综合广播融媒体记者:孙玉璇 通讯员:李均雁
