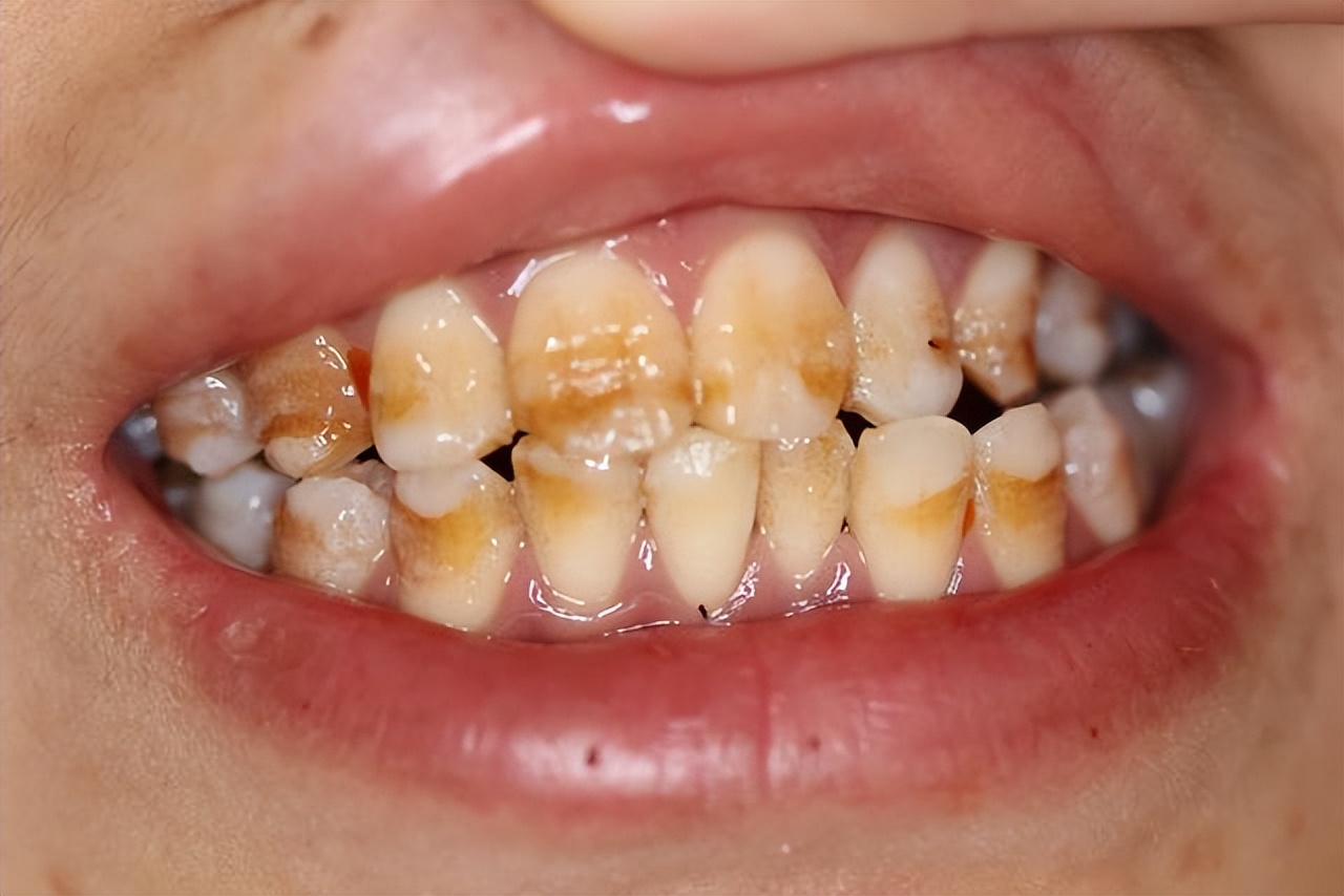
你是不是也像我一样牙齿局部又黄又黑?最主要的是也没少刷一次牙,但是牙齿还是这样,作为过来人,我很明确的告诉你,一定是没有用对方法,因为这样的事情我也经历过,调整之后两个月就把牙齿刷白了!

我自己非常清楚钱花不到刀刃的感觉,所以这一闲下来马上把自用的经验分享给你们,希望对你们有效!
使用牙粉:我自己用的牙粉不多也有5.6种的样子,其中一些比较大牌进口的基本都用过,但是效果很一般,之后按照牙医的嘱咐换了一个“欧丹锦牙粉”这个粉质细腻的很,刷完牙满嘴都是柠檬和薄荷的清香。

我用的每一个产品都是以一个星期为试用的,所以这个也用了有一个周的时间在看到了明显效果之后才继续使用的,用这个牙粉的时候觉得它粉质很细腻,和面粉相似,用它刷完牙后嘴巴里面都是淡淡的柠檬味和薄荷味,的确很清爽,嘴巴里面的黏腻感也能得到很大程度缓解。

用到第三周时效果非常明显了,牙齿的颜色看起来均匀了,总体看起来比之前白了不止2个度,大概不到两盒就解决了牙齿发黄发黑的问题,一直到现在也在使用牙粉,而且牙齿状态还是很白很健康,虽然它有点贵,但是白牙效果的确还可以,建议大家可以尝试。

使用牙膏:个人觉得牙膏的作用还挺大的,尤其是在牙齿变白后,可以尝试用牙膏和牙粉搭配着用,这样能节省一些用量,而且效果也没有丝毫减少,这个“冷酸灵牙膏”比较推荐,除了能清新口气,还能预防牙齿过敏,和牙粉一起搭配使用,效果真的很赞,有这种需要的朋友也可以试试看!

刷牙方法:之前自己刷牙就是左右横刷,后来了解到了一些知识算是明白了,还得是用巴氏刷牙法:将牙刷与牙长轴呈斜角指向根尖方向45度(上颌牙向上,下颌牙向下)轻轻的打圈,使得刷毛在原位作前后方向短距离的水平颤动4~5次。颤动时牙刷移动仅约1mm,每次刷2~3个牙。(具体可以看下图)

上面都是我牙齿发黄用到的一些比较实用的方法,我也有分享给我身边的朋友,都说效果挺好的,有需要的大家可以试试!