一、关于“上火”
大家都在常说口里牙龈上火了,那到底上火是个什么东西呢,其实上火这个词大多来自于中医的说法,我个人认为大家常说的上火就是发炎了。

二、牙龈“上火”有怎样的表现?
首先就是牙龈的红肿、出血(刷牙时、咬硬物时),其次还有牙龈溢脓、糜烂等
三、为什么会出现“上火”呢?
①牙龈的炎症:主要表现为牙龈出血,可以表现在刷牙时、咬东西时、严重者可在无任何刺激的情况下出血。

牙龈炎症是如何形成的呢?
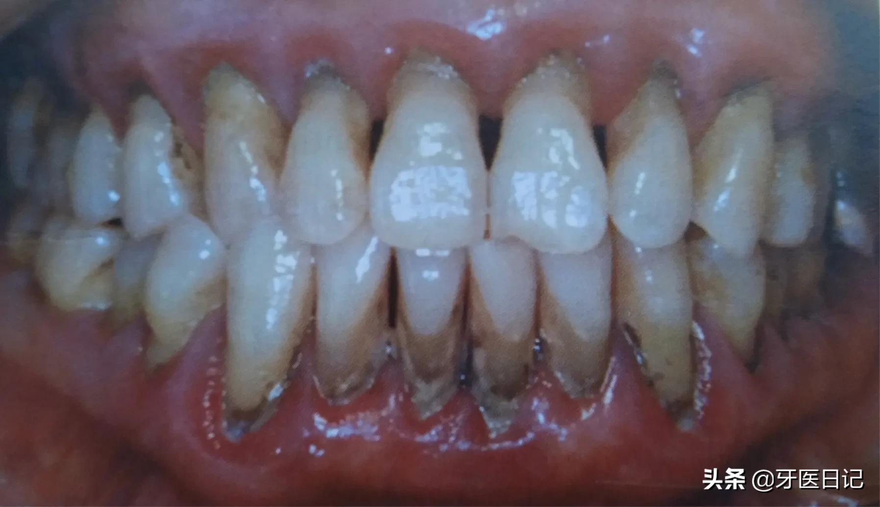
最常见的是口腔卫生不洁,有牙结石的存在,牙结石压迫刺激牙龈,导致牙龈红肿、出血,特别在青春期的同学,或者孕期的女性常会因激素水平的改变而出现青春期牙龈炎和妊娠期牙龈炎,其主要表现就是牙龈红肿和出血,而普通人的牙龈红肿出血多是牙结石刺激导致,当然一些系统疾病也会导致牙龈出血,如白血病。
牙龈炎症如何解决?
不管是普通牙龈炎,还是青春期牙龈炎或者妊娠期牙龈炎,牙龈出血的主要原因还是有局部刺激存在,而最常见的局部刺激就是牙结石,要去除牙结石,洁牙是最有效的方法(都2020了,不要再说洁牙有害之类的伪命题了,关于洁牙可以进入我的主页查看相关解释),同时建议每年一次洁牙。
②牙周炎:主要表现牙齿的松动、移位,牙龈出血,牙槽骨的吸收,同时会伴有牙周袋溢脓口臭等表现

牙周炎如何形成的?
一部分牙龈炎的患者得不到及时治疗,炎症可向牙周深部发展,导致牙齿周围的支持丧失,比如牙齿周围的骨头,随着病变继续向牙根发展,逐渐出现牙齿松动移位,牙龈萎缩,急性肿胀疼痛。
牙周炎如何解决?
牙周炎治疗主要是彻底清除菌斑,牙结石等病原刺激物,消除牙龈的炎症,是牙周袋变浅,争取牙周组织再生(这些都得由专业口腔医生来操作)。
③坏死性龈口炎:发生在牙龈的急性炎症和坏死,多发生在青壮年,男性吸烟者多见,牙龈极易出血,疼痛明显,有典型的口臭

坏死性龈口炎是如何发生的呢?
患者抵抗力低下时特有细菌的毒力完成坏死性龈口炎,吸烟患者可使牙龈小血管收缩,影响牙龈局部的血流,这些都会加重牙龈的病变,同时精神紧张,睡眠不足,过度劳累也可引发本病。
坏死性龈口炎如何处理?
首先去除坏死的组织,局部用3%过氧化氢冲洗,全身给予维C等支持治疗,并更换牙刷,保持口腔清洁。
总结:口腔里的上火,不论是牙龈的问题,溃疡的问题等等,我们自己能做的就是做好口腔清洁,每年定期洁牙,学会日常使用牙线,去除可能导致上火的刺激物,这样就能轻轻松松拜托口腔上火了!
我是口腔医生,欢迎关注牙医日记!
今天你笑了吗