
今天上午,我朋友王小米的脚在打篮球时崴了,据王小米自己说,当时在突破的时候踩到另外一个球友的脚,随即脚就崴了,脚往里翻了90度,他问我应该怎么办?
首先分析一下王小米踝关节的受伤机制是什么?

通过王小米的描述,我大概知道他的受伤就如上图一样,是脚往里翻,这最有可能的就是一个旋后内收型的踝关节损伤。解释一下,旋后通俗地说是脚掌朝向内侧,内收通俗的讲就是指脚掌内翻。
接着*析王分**小米可能会是什么伤?

从上图我们可以看出,王小米的伤势可能有以下4种之一:
- 单纯的外侧副韧带断裂;
- 外侧副韧带断裂+内踝垂直骨折;
- 单纯的外踝横行骨折;
- 外踝横行骨折+内踝垂直骨折。
王小米的伤势怎么确诊?
1、X线检查:在X线检查上,我们可以看到所有的骨性结构,包括胫骨、腓骨、距骨以及他们所组成的踝关节。无论是外踝横行骨折或者是内踝垂直骨折,在X线上都可以被发现。也就是说,为了确诊,伤后我们首先需要做的就是做一个X线,排除骨性结构的损伤。

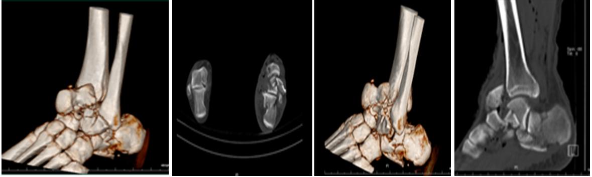
2、CT检查:CT可以360度无死角地看清楚每一块骨头的形态及受伤情况,如果是骨裂,在X线不能确诊时,CT检查就展现出它的优势,比如下图,就是CT的情况,比X线更立体,看的更详尽。

3、核磁共振检查:如下图,韧带、肌肉、肌腱这种软组织只有核磁才能够看清楚,X线及CT主要是用来观察骨性结构,也就是骨头的形态。如果在X线或者CT检查明确无骨性结构的损伤,而脚踝又很肿,怀疑软组织损伤,我们就必须做核磁共振的检查,只是核磁共振检查要比X线及CT检查麻烦一点。

王小米的伤势多久可以恢复?
王小米多久可以恢复需要看病情的轻重:
- 如果是单纯的韧带损伤,并没有骨折:这就需要从核磁共振来看韧带损伤的程度,然后再决定是保守治疗还是手术治疗,无论是何种治疗,预计恢复时间是4~6周。
- 如果韧带损伤合并有骨折:合并有骨折就会比较麻烦,这需要更长的时间恢复,无论是保守治疗还是手术治疗,都需要8~12周的恢复时间。
王小米应该怎么做?
后来,我默默地进行了一番分析以后,告诉王小米应该这么做:

- 遵从POLICE原则,就如上图介绍,需要做到保护、休息、冰敷、压迫及抬高,这也是所有的急性损伤需要注意的处理原则,骨科王医生对于这个知识点也不止一次地介绍过;
- 在做好以上这一切以后,需要进行一个X线的检查,明确有无骨性结构的损伤;
- 如果X线不能明确而又高度怀疑骨折,需要进行CT的检查;
- 如果明确无骨性结构的损伤,而肿胀及疼痛明显,就需要进行核磁共振的检查,明确有无外侧副韧带损伤。
- 在诊断明确后,再进行下一步的治疗规划。
王小米表示他已经明白了,他会做好急性损伤的处理,并去医院做一个X线检查,然后再和我联系。我觉得王小米已经听懂了,亲爱的网友们,如果遇到急性崴脚,你们知道怎么办了吗?
