
来源:邵医急诊
商务合作:2519330936@qq.com
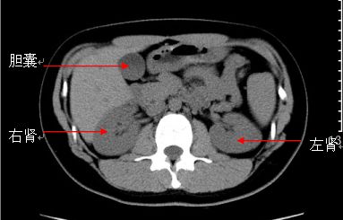
正常影像学表现
1)正常腹部立位片:两膈光整,膈下未见游离气体影。部分肠管少许积气,未见明显肠管扩张和气液平。双肾区、双侧输尿管走行区及膀胱区均未见阳性结石影。

正常腹部立位片
2)正常CT表现:肝实质密度均匀,未见异常密度灶。胆囊不大,未见高密度灶。胰腺形态如常。脾不大,密度均匀。两肾形态位置正常,未见明显异常密度影。

急诊常见腹部病变影像表现
1) 气腹:气腹几乎均由消化道穿孔所致,最常见病因是胃及十二指肠溃疡穿孔。怀疑气腹首选立位胸片,右侧膈下更易观察,因为左侧膈下游离气体可与胃泡影重叠。发现膈下游离气体常能诊断为胃肠道穿孔,但不能定位。

气腹:立位胸片可见两侧膈下弧形透亮影,CT软组织窗及纵隔窗可见肝脏前缘气体密度影。
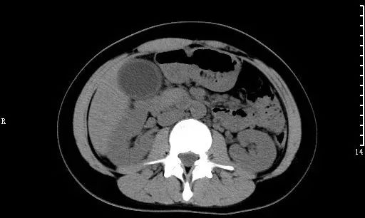
2)胆系结石、胆囊炎:胆囊炎常与胆石症并存。急性胆囊炎多见于结石或寄生虫嵌顿梗阻胆囊颈部所致,表现为右上腹剧痛或绞痛,疼痛常突然发作,十分剧烈,或呈绞痛样。疼痛可放射至右肩部和右肩胛骨下角等处。

急性胆囊炎

胆囊结石

胆总管下段结石
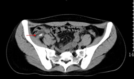
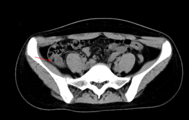
3)急性阑尾炎:是外科常见病,居各种急腹症的首位。其临床表现为转移性右下腹痛、恶心、呕吐,多数病人白细胞和中性粒细胞计数增高。右下腹阑尾区(麦氏点)压痛、反跳痛,是该病重要体征。
CT是其最具价值的影像检查手段。急性阑尾炎主要表现为阑尾增粗肿大,壁增厚,腔内积液积气和粪石,阑尾周围脂肪密度增高,少量积液,腹膜增厚。如出现肠腔外气体、肠腔外粪石及增强扫描阑尾壁缺损需诊断穿孔。

急性阑尾炎:CT平扫,阑尾增粗肿胀,腔内可见高密度粪石,阑尾浆膜面模糊,周围少许渗出。
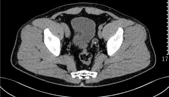
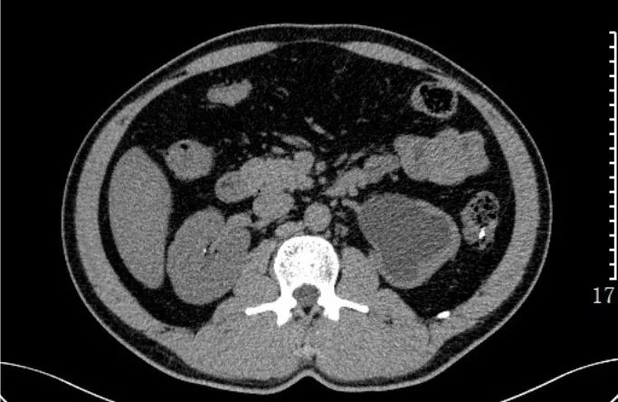
4)泌尿系结石:结石可见于肾、膀胱、输尿管和尿道的任何部位。临床表现因结石所在部位不同而有异。肾与输尿管结石的典型表现为肾绞痛与血尿,突发一侧腰部剧烈的绞痛,并向下腹及会阴部放射,伴有腹胀、恶心、呕吐、程度不同的血尿;膀胱结石主要表现是排尿困难和排尿疼痛。
X线腹平片,可以看到大部分的泌尿系结石,但对阴性结石无法显示。CT的诊断结果准确率最高,客观显示结石及积水情况。

右肾结石:腹部卧位平片可见右侧肾区结节状高密度影。

肾结石:CT平扫,右肾见不规则鹿角状高密度影,为铸型结石。

输尿管结石:CT平扫,左肾及左输尿管扩张积水,下段输尿管内可见小结节状高密度影。另见右肾小结石。
5)胰腺炎:急性胰腺炎主要由胆系疾病或饮酒引发,可分为水肿型胰腺炎和坏死型胰腺炎。
CT表现:水肿型胰腺炎少数轻型患者CT可为阴性,多数病例有不同程度的胰腺体积增大,密度正常或轻度减低,可伴有胰腺轮廓模糊,周围渗出积液,增强后胰腺实质强化均匀;坏死型胰腺炎胰腺体积常明显增大,密度不均匀,可见低密度坏死区,胰腺周围较多渗出积液,胰腺边界模糊,增强后坏死区无强化。

急性水肿型胰腺炎:CT平扫,胰腺明显肿胀,密度尚均匀,周围见条片渗出。

急性坏死型胰腺炎:CT平扫,胰腺密度不均匀减低,胰腺边界模糊,胰腺周围较多渗出积液,肝周可见积液。
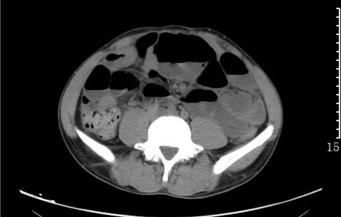
6)肠梗阻:任何原因引起的肠内容物通过障碍统称肠梗阻。临床表现为腹痛腹胀、恶心呕吐、停止排气排便等症状。X线立位腹平片是诊断本病的重要检查手段。CT可用于寻找梗阻原因及鉴别诊断。

小肠不全梗阻:腹部立位平片可见小肠扩张,积气、积液,伴多发气液平面,呈阶梯状排列;CT平扫,小肠扩张,积气、积液。
7)肝硬化:是临床常见的慢性进行性肝病,由一种或多种病因长期或反复作用形成的弥漫性肝损害。临床上以肝功能损害和门脉高压症为主要表现,并有多系统受累。

CT表现:肝叶比例失调,肝脏表面高低不平,肝裂增宽,肝脏密度不均匀;继发性改变:脾肿大,腹水,门脉高压(侧支循环形成,脾门、胃底、食管下段静脉迂曲扩张)。
【版权声明】本平台属公益学习平台,转载系出于传递更多学习信息之目的,如有图片、内容等不想转载传播可与我们联系删除。
【腹部进阶学习往这看看】
腹部临床症状分析不清?
疑难疾病诊断鉴别犹豫不决?
经常苦恼于理论与实际联系不上?
......
不管你是影像小白还是具有一定临床经验的实战医师
在腹部影像学习的过程中你一定多少会遇到过以上类似的问题
其实之所以会出现这样的情况,往往是在于自己的腹部基础学习不够扎实和诊断思维搭建不够牢固造成的;
如果我说山西医科大学第一医院的“首席专家”亲自来为大家传授腹部影像知识,从入门到精通,带你轻松攻破腹部影像,你感不感兴趣呢?
放射沙龙这次特别邀请到了山西现代医学影像研究所所长,山西省医保协会副会长,中华放射学杂志编委、实用放射学杂志编委、实用医技杂志主编——李健丁教授,亲建腹部影像精品视频课程;
课程学习中李教授将“面对面”为大家分享40多年的腹部影像实战经验,从解剖、影像、病理、鉴别全方位讲解腹部影像知识,从0到1帮助万千的影像医生实现学习进阶;
这是一个实属难得的机会,这也是李教授多年的从医历程影显,相信你在这门课程中一定会有所收获!
现正式邀请你一起来学习【从入门到精通】李健丁教授带你轻松攻破腹部影像系列课

【从入门到精通】
轻松掌握腹部影像(食管胃肠篇)
原价389元
现新课巨惠价仅需269元
现购买同步赠送 价值289元
【影像名师大讲堂】腹部影像系列课
数量有限! 先到先得
1.食管常见疾病的影像诊断
2.胃常见疾病的影像诊断
3.小肠常见疾病的影像诊断
4.结直肠常见疾病的影像诊断
更多精品系列课程将持续更新.....
下滑找到对应课程即可购买观看
▼
福利往这儿看
放射沙龙为了方便更多的放射医生学习
特地为每一位新进入学院的小伙伴们
呈上放射沙龙全场通用10元优惠券
领取方式往下看
▼
领取放射沙龙全场通用10元优惠券