脑出血( intracerebral hemorrhage,CH)是指原发性非外伤性脑实质内出血,也称自发性脑出血,占急性脑血管病的20%~30%。年发病率为60~80/10万人,急性期病死率为30%~40%,是急性脑血管病中病死率最高的。在脑出血中大脑半球出血约占80%,脑干和小脑出血约占20%。最常见的高血压性脑出血。
病因:最常见的病因是高血压合并细、小动脉硬化,其他病因包括脑动静脉畸形、动脉瘤、血液病(白血病、再生障碍性贫血、血小板减少性紫癜、血友病和镰状细胞贫血病等)、梗死后出血、脑淀粉样血管病( cerebral amyloid angiopathy,CAA)、 moyamoya病、脑动脉炎、抗凝或溶栓治疗、瘤卒中等。
发病机制: 脑内动脉壁薄弱,中层肌细胞和外膜结缔组织较少,而且无外弹力层。长期高血压使脑细、小动脉发生玻璃样变及纤维素性坏死,管壁弹性减弱,血压骤然升高时血管易破裂出血。在血流冲击下,血管壁病变也会导致微小动脉瘤形成,当血压剧烈波动时,微小动脉瘤破裂而导致脑出血。高血压脑出血的发病部位以基底节区最多见,主要是因为供应此处的豆纹动脉从大脑中动脉呈直角发出,在原有血管病变的基础上,受到压力较高的血流冲击后易致血管破裂。
病理 :脑出血的常见部位是壳核,占全部脑出血的30%~50%。其次为丘脑、脑叶、脑桥、小脑及脑室等。不同病因的脑出血,出血特点不同。高血压病、CAA、脑动脉瘤和脑动静脉畸形等常导致血管破裂,出血量大,病情较重;血液病、脑动脉炎及部分梗死后出血常表现为点状、环状出血,出血量小,症状相对较轻。出血侧大脑半球肿胀,脑回宽,脑沟浅,血液可破入脑室系统或流入蛛网膜下腔。脑出血后由于血肿的占位效应及血肿周围脑组织水肿,可引起脑组织受压移位。幕上半球的出血,血肿向下挤压丘脑下部和脑干,使其变形、移位和继发出血,并常出现小脑天幕疝;如中线结构下移可形成中心疝;如颅内压增高明显或小脑大量出血时可发生枕骨大孔疝。新鲜的出血呈红色,红细胞降解后形成含铁血黄素而带棕色。血块溶解,吞噬细胞清除含铁血黄素和坏死的脑组织,胶质增生,小出血灶形成胶质瘢痕,大出血灶形成中风囊,囊腔内有含铁血黄素等血红蛋白降解产物及黄色透明黏液。
临床表现:脑出血常发生于50岁以上患者,多有高血压病史。多在活动中或情绪激动时突然起病,少数在安静状态下发病。患者一般无前驱症状,少数可有头晕、头痛及肢体无力等。发病后症状在数分钟至数小时内达到高峰。血压常明显升高,并出现头痛、呕吐、肢体瘫痪、意识障碍、脑膜刺激征和痫性发作等。临床表现的轻重主要取决于出血量和出血部位。
1.基底节区出血其中壳核是高血压脑出血最常见的出血部位,占50%~60%,丘脑出血约占24%,尾状核出血少见。
(1)壳核出血:主要是豆纹动脉尤其是其外侧支破裂引起。血肿常向内扩展波及内囊。临床表现取决于血肿部位和血肿量。损伤内囊常引起对侧偏瘫、对侧偏身感觉障碍和同向性偏盲。还可表现有双眼向病灶侧凝视,优势半球受累可有失语。出血量大时患者很快出现昏迷,病情在数小时内迅速恶化。出血量较小则可表现为纯运动或纯感觉障碍,仅凭临床表现无法与脑梗死区分。
(2)丘脑出血:主要是丘脑穿通动脉或丘脑膝状体动脉破裂引起。出血侵及内囊可出现对侧肢体瘫痪,多为下肢重于上肢;感觉障碍较重,深、浅感觉同时受累,但深感觉障碍明显,可伴有偏身自发性疼痛和感觉过度;优势半球出血的患者,可出现失语,非优势半球受累,可有体象障碍及偏侧忽视等。丘脑岀血可岀现精神障碍,表现为情感淡漠、视幻觉及情绪低落等,还可出现丘脑语言(言语缓慢不清、重复言语、发音困难、复述差、朗读正常)和丘脑痴呆(记忆力减退、计算力下降、情感障碍、人格改变)。丘脑出血向下扩展到下丘脑或中脑上部时,可引起一系列眼位异常,如垂直凝视或侧视麻痹、双眼分离性斜视、凝视鼻尖、瞳孔对光反射迟钝、假性展神经麻痹及会聚障碍等。血肿波及丘脑下部或破入第三脑室,表现为意识障碍加深,瞳孔缩小,中枢性高热及去大脑强直等症状。
(3)尾状核头出血:较少见。一般出血量不大,多经侧脑室前角破入脑室。临床表现为头痛、呕吐、对侧中枢性面舌瘫、轻度项强;也可无明显的肢体瘫痪,仅有脑膜刺激征,与蛛网膜下腔出血的表现相似。
2.脑叶出血占脑出血的5%-10%。常见原因有CAA、脑动静脉畸形、血液病、高血压、moyamoya病等。血肿常局限于一个脑叶内,也可同时累及相邻的两个脑叶,一般以顶叶最多见其次为题叶、枕叶及额叶。与脑深部出血相比,一般血肿体积较大。临床可表现为头痛、呕吐等,癫痫发作比其他部位出血常见,肢体瘫痪较轻,昏迷较少见。根据累及脑叶的不同,可出现不同的局灶性定位症状和体征:①额叶出血:可有前额痛及呕吐,痫性发作较多见;对侧轻偏耀共同偏视、精神障碍;尿便障碍,井出现摸索和强握反射等:优势半球出血时可出现运动性失语,②顶叶出血:偏瘫较轻,而偏侧感觉障碍显著;对侧下象限盲;优势半球出血时可出现混合性失语,非优势侧受累有体象障碍。③颞叶出血:表现为对侧中枢性面舌瘫及上肢为主的瘫痪;对侧上象限盲;优势半球出血时可出现感觉性失语或混合性失语;可有颗叶癲痫、幻嗅、幻视等④枕叶出血:可表现为对侧同向性偏盲,并有黄斑回避现象,也可表现为对侧象限盲:可有一过性黑矇和视物变形,多无肢体瘫痪
3.脑干出血约占脑出血的10%,绝大多数为脑桥出血,由基底动脉的脑桥支破裂导致偶见中脑出血,延髓出血极为罕见脑桥出血临床表现为突然头痛、呕吐、眩晕、复视、眼球不同轴、侧视麻痹、交叉性瘫痪或偏瘫、四肢瘫等。出血量少时,患者意识清楚,可表现为一些典型的综合征,如 Foville综合征Millard-Gubler综合征、闭锁综合征等。大量出血(>5ml)时,血肿波及脑桥双侧基底和被盖部,患者很快进人意识障碍,出现针尖样瞳孔、四肢瘫痪、呼吸障碍、去大脑强直、应激性溃疡、中枢性高热等,常在48小时内死亡中脑出血少见,轻症患者表现为突然出现复视、眼睑下垂、一侧或两侧孔扩大、眼球不同轴、水平或垂直眼震、同侧肢体共济失调,也可表现 Weber或 Benedikt综合征。严重者很快出现意识障碍、四肢瘫痪、去大脑强直,常迅速死亡。延髓出血更为少见,临床表现突然猝倒,意识障碍,血压下降,呼吸节律不规则,心律失常,继面死亡。轻症患者可表现为不典型的 Wallenberg综合征。
4.小脑出血约占脑出血的10%。最常见的出血动脉为小脑上动脉的分支,病变多累及小脑齿状核。发病突然,眩晕和共济失调明显,可伴有频繁呕吐及后头部疼痛等。当出血量不大时,主要表现为小脑症状,如眼球震颤、病变侧共济失调、站立和行走不稳,肌张力降低及颈项强直、构音障碍和吟诗样语言,无偏瘫。出血量增加时,还可表现有脑桥受压体征,如展神经麻痹、侧视麻痹、周围性面瘫、吞咽困难及出现肢体瘫痪和(或)锥体束征等。大量小脑出血,尤其是蚓部出血时,患者很快进入昏迷,双侧瞳孔缩小呈针尖样,呼吸节律不规则,有去脑强直发作,最后致枕骨大孔疝而死亡。
5.脑室出血分为原发性和继发性脑室出血。原发性是指脉络丛血管出血或室管膜下1.5cm内出血破入脑室,继发性是指脑实质出血破入脑室者。在原发性脑室出血,占脑出血的3%~5%。出血量较少时,仅表现头痛、呕吐、脑膜刺激征阳性,无局限性神经体征,临床上易误诊为蛛网膜下腔出血,需通过头颅CT扫描来确定诊断。出血量大时,很快进入昏迷或昏迷逐渐加深,双侧瞳孔缩小呈针尖样,四肢肌张力增高,病理反射阳性,早期出现去脑强直发作,脑膜刺激征阳性,常出现丘脑下部受损的症状及体征,如上消化道出血、中枢性高热、大汗、应激性溃疡、急性肺水肿、血糖增高及尿崩症,预后差,多迅速死亡。
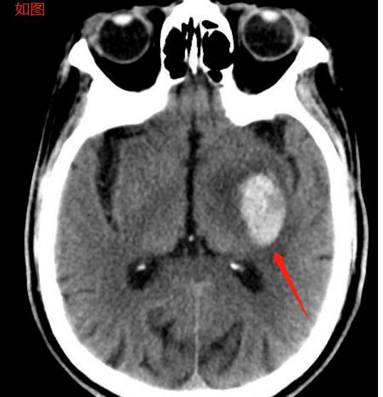
辅助检查:1.头颅CT是确诊脑出血的首选检查。CT可准确显示出血的部位、大小、脑水肿情况及是否破人脑室等,有助于指导治疗和判定预后。早期血肿在CT上表现为圆形或椭圆形的高密度影,边界清楚。(如图)

2.头颅MRI 对幕上出血的诊断价值不如CT,对幕下出血的检出率优于CT。MR的表现主要取决于血肿中血红蛋白的氧合状态及血红蛋白的分解代谢程度等。发病1天内,血肿呈T1等或低信号,T2高或混合信号;第2天-1周,T1为等或稍低信号,T2为低信号;第2-4周,T和T2均为高信号;4周后,T1呈低信号,T2为高信号。此外,MRI比CT更易发现脑血管畸形、肿瘤及血管瘤等病变。
3.脑血管造影及增强CT MRA、CTA和DSA等可显示脑血管的位置、形态及分布等,并易于发现脑动脉瘤、脑血管畸形及 moyamoya病等脑出血病因。增强CT和CTA检查有助于在早期评价血肿扩大风险,可根据造影剂外渗情况或CTA斑点征(spot-sign)预测血肿扩大风险。
4.其他检查 血常规、尿常规、血糖、肝功、肾功、凝血功能、血电解质及心电图等检查,有助于了解患者的全身状态。
诊断: 50岁以上中老年患者,有长期高血压病史,活动中或情绪激动时突然起病,血压常明显升高,出现头痛、恶心、呕吐等颅内压升高的表现,有偏瘫、失语等局灶性神经功能缺损症状和脑膜刺激征,可伴有意识障碍,应高度怀疑脑出血。头部CT检查有助于明确诊断。
鉴别诊断:1.与脑梗死鉴别 老年人多见,多有动脉粥样硬化的危险因素,可有TIA史,头痛、恶心、呕吐少见,头颅CT检查有助于鉴别。
2.与蛛网膜下腔出血鉴别 各年龄组均可见,以青壮年多见,多在动态时起病,病情进展急骤,头痛剧烈,多伴有恶心、呕吐,多无局灶性神经功能缺损的症状和体征,头颅CT、头颅MRI及脑脊液检查有助于明确诊断。
3.与外伤性颅内血肿,特别是硬膜下血肿鉴别 这类出血以颅内压增高的症状为主,但多有头部外伤史,头颅CT检查有助于确诊。
4.与其他昏迷患者鉴别 对发病突然,迅速昏迷,局灶体征不明显的患者,应与引起昏迷的全身性疾病鉴别,如中毒(CO中毒、酒精中毒)和某些系统性疾病(低血糖肝性昏迷、肺性脑病、尿毒症等)。应仔细询问病史和认真查体,并进行相关的实验室检查,头颅CT能除外脑出血。
治疗 :基本治疗原则:脱水降颅压,减轻脑水肿;调整血压;防止继续出血;保护血肿周围脑组织;促进神经功能恢复;防治并发症。
1.内科治疗
(1)一般治疗
1)卧床休息:一般应卧床休息2~4周,避免情绪激动及血压升高
2)保持呼吸道通畅:昏迷患者应将头歪向一侧,以利于口腔分泌物及呕吐物流出,并可防止舌根后坠阻塞呼吸道,随时吸出口腔内的分泌物和呕吐物,必要时行气管切开。
3)吸氧:有意识障碍、血氧饱和度下降或缺氧现象的患者应给予吸氧。
4)鼻饲:昏迷或吞咽困难的患者,如短期内不能恢复自主进食,则可通过鼻饲管进食。
5)对症治疗:过度烦躁不安的患者可适量用***药;便秘者可选用缓泻剂
6)预防感染:加强口腔护理,及时吸痰,保持呼吸道通畅;留置导尿时应做膀胱冲洗;昏迷患者可酌情用抗生素预防感染。
7)观察病情:严密注意患者的意识、瞳孔大小、血压、呼吸等改变,有条件时应对昏迷患者进行监护。
(2)脱水降颅压,减轻脑水肿:颅内压( intracranial pressure,ICP)升高的主要原因为早期血肿的占位效应和血肿周围脑组织的水肿,脑出血后3~5天,脑水肿达到高峰。颅内压升高是脑出血患者死亡的主要原因,因此降低颅内压为治疗脑出血的重要任务。脑出血的降颅压治疗首先以高渗脱水药为主,药物治疗的主要目的是减轻脑水肿、降低ICP,防止脑疝形成。渗透性脱水剂甘露醇( mannitol)是最重要的降颅压药物。20%的甘露醇用量为125-250ml,快速静脉滴注,每6-8小时1次,使血浆渗透压维持在310~320mOsm/kg,用药时间不宜过长,建议用5~7天。可同时应用呋塞米20~40mg,静脉或肌肉注射,二者交替使用,维持渗透梯度。用药过程中应该监测尿量、水及电解质平衡。甘油果糖500ml静脉滴注,每日1~2次,脱水作用温和,没有反跳现象,适用于肾功不全患者。20%人血清白蛋白50~100m静脉滴注,每日1次,能提高血浆胶体渗透压,减轻脑水肿,但价格昂贵,应用受限。皮质类固醇因其副作用大,且降颅压效果不如高渗脱水药,应慎用。
(3)调控血压:脑出血多伴有血压升高,但脑出血急性期降压的时机及控制的目标尚存争议。一种观点认为过高的血压可导致血肿扩大,与不良预后密切相关。另一种观点认为脑出血时血压升高,是在颅内压增高的情况下,为了保证脑组织供血出现的脑血管自动调节反应,如血压控制过低,容易导致血肿周围脑组织发生缺血性损伤。近年发表的急性脑出血强化降血压试验( INTERAC2)共纳入2839例发病6小时内且伴有收缩压升高(平均收缩压为179mmHg)的脑出血患者,患者被随机分为强化降血压组和标准血压管理组,分组后1小时平均收缩压分别降为150mmHg及164mmHg,分组后6小时平均收缩压分别降为139mmHg及153mmHg。结果表明,在脑出血急性期进行强化降血压是安全的,且可能获得更好的预后。因此,如脑出血急性期收缩压>180mmHg或舒张压>100mmHg,可予以平稳降压治疗,并严密观察血压变化。
(4)亚低温治疗:局部亚低温治疗是脑出血的一种新的辅助治疗方法,能够减轻脑水肿,减少自由基生成,促进神经功能缺损恢复,改善患者预后,且无不良反应,安全有效。初步的基础与临床研究认为亚低温是一项有前途的治疗措施,而且越早应用越好。
(5)纠正凝血异常:对于严重凝血因子缺乏或严重血小板减少的患者,推荐给予补充凝血因子和血小板;因口服华法林导致脑出血的患者,应立即停用华法林,给予维生素K1,可静脉输注新鲜冰冻血浆或凝血酶原复合物;因应用肝素引起的脑出血,应立即停用肝素,给予鱼精蛋白。
(6)并发症的防治: 肺部感染、上消化道出血、吞咽困难和水电解质紊乱;中枢性高热,主要是由于丘脑下部散热中枢受损所致,表现为体温迅速上升,出现39℃以上的高热,躯干温度高而肢体温度次之。解热镇痛剂无效,可予以物理降温治疗。其他常见并发症有下肢深静脉血栓形成、肺栓塞、肺水肿、冠状动脉性疾病和心肌梗死、心脏损害、痫性发作等,要注意识别,并给予相应的治疗。
2.外科治疗 主要目的是清除血肿,降低颅内压,挽救生命,其次是尽可能早期减少血肿对周围脑组织的损伤,降低致残率。同时应针对脑出血的病因,如脑动静脉畸形、脑动脉瘤等进行治疗。主要采用的方法有以下几种:去骨瓣减压术、小骨窗开颅血肿清除术、钻孔或锥孔穿刺血肿抽吸术、内窥镜血肿清除术、微创血肿清除术和脑室出血穿刺引流术等。目前对手术适应证和禁忌证尚无一致意见。如患者全身状况允许条件下,下列情况考虑手术治疗:①基底节区出血:中等量出血(壳核出血≥30ml,丘脑出血≥15ml);②小脑出血:易形成脑疝,出血量≥10m,或直径≥3cm,或合并脑积水,应根据患者的具体情况尽快手术治疗;③脑叶出血:高龄患者常为淀粉样血管病出血,除血肿较大危及生命或由血管畸形引起需外科治疗外,宜行内科保守治疗;④脑室出血:轻型的部分脑室出血可行内科保守治疗,重症全脑室出血(脑室铸型)需脑室穿刺引流加腰穿放液治疗。
3.康复治疗 早期将患肢置于功能位,如病情允许,危险期过后,应及早进行肢体功能、言语障碍及心理的康复治疗。