
当患者发生突发性眩晕呕吐,可能是哪些疾病?又该如何与哪些疾病鉴别?治疗及预后又如何呢?通过一例病例来了解一下吧!
医脉通编译整理,未经授权请勿转载。
病例简介
33岁男性,2天前突发严重眩晕、呕吐和失去平衡,发病时他正在厨房里准备早餐,突然感到头晕,失去了平衡摔倒,头部无外伤。从那时起,患者有持续的旋转感,无支撑时便无法坐立。
患者自诉发生过几次呕吐,且为自发,伴随头部随意运动,左侧半边脸持续处于麻木状态。此外,存在轻度至中度左侧枕部头痛和定位不明的颈部疼痛。无意识模糊、颈部僵直或畏光,但他不愿意睁开眼睛,因为他觉得自己感到持续眩晕。
病史及体格检查
病史
病人否认先前有任何颈部运动或最近有任何剧烈的体力活动。无癫痫发作或四肢无力。无复视,视力模糊或暂时失明,无吞咽困难或声音嘶哑。也无没有头部或颈部外伤,否认任何听力损失或耳鸣,无上呼吸道感染。先前无类似的头晕或眩晕发作史,无发烧、耳痛或耳分泌物。
5年前诊断为系统性高血压,没有定期服用降压药。目前还没有发现他的高血压的二级病因。其父亲也患有高血压,但是无神经系统疾病家族史。无吸烟、酗酒或使用任何非法用药史。
体格检查
经神经学检查,病人无颈部僵硬。Kernig征结果为阴性。轻度左侧上睑下垂,但活动范围正常。左瞳孔比右瞳孔小,昏暗光线下差异更明显,对光都有反应。他有自发右跳动的眼球震颤,不随注视改变方向。头部脉冲试验和斜向试验结果均为阴性。针刺试验显示,左侧脸和右侧肢体感觉减退。轻度左侧中央型面神经麻痹。呕吐反射是正常的双边。由于严重眩晕,患者睁不开眼睛。
心血管检查,血压异常升高,在240/120mmHg。其余检查均正常。
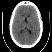
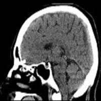
影像学检查,脑CT见下。

图1

图2
讨论
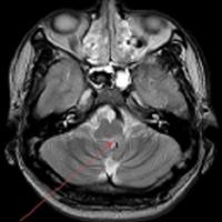
尽管患者CT表现正常,但根据患者的症状和体征,怀疑该患者患有延髓外侧综合征。对患者进行脑MRI检查,证实左侧背外侧髓质梗死(图3)。

图3
延髓外侧综合征的典型特征
延髓外侧综合征,或Wallenberg综合征,是由小脑后下动脉或椎动脉阻塞引起的。[1,2]这导致外侧延髓梗死,伴有或不伴有小脑下脚。症状和体征包括眩晕、同侧Horner综合征、同侧面部和对侧身体疼痛和温度觉消失、同侧共济失调、声音嘶哑和吞咽困难。
眩晕,眼球震颤,呕吐是由于前庭核受累或由于与小脑的连接而发生的。[4]同侧Horner综合征是由于交感神经下行通路参与外侧网状结构发生的。[5]同侧面部感觉消失是由于三叉神经下行束受累所致。对侧肢体感觉丧失是由于上行脊髓丘脑感觉束的影响。同侧共济失调是由于累及小脑下脚或脊髓小脑通路所致。吞咽困难和声音嘶哑是疑核受累。

本病例中的患者除了表现出延髓外侧综合征的典型特征外,也有一些例外的特征。
特征一:该患者未表现出声音嘶哑或吞咽困难。根据梗死的大小和范围,延髓外侧综合征的临床症状学程度存在差异。[2]梗死发生在延髓尾部的患者往往很少或根本没有吞咽困难和声音嘶哑。[5]这暗示了延髓尾部疑核与内脏传出纤维无直接联系。在大多数发生吞咽困难和声音嘶哑的病例中,病变延伸至延髓外侧的头侧和腹侧。
特征二:患者出现了轻微的同侧中央面容失色。据说,当病变延伸到下脑桥时,同侧周围性面容*禁失**是可能的,而皮质-尺骨束异常环的参与被认为是同侧中央性面容*禁失**的可能机制。[5,6]该患者未发现的其他变化包括对侧面部感觉丧失和双侧面部感觉丧失。有报道称,双侧感觉受损的患者中,有涉及三叉神经下行和上行感觉束的大病变,而对侧面部感觉受损的患者中,有涉及三叉神经上行感觉束的病变。[5]
鉴别诊断要点
在评估首次出现自发性眩晕或头晕急性发作(即急性前庭综合征)的患者时,医生必须考虑到延髓外侧综合征是为数不多的几种情况之一,还需要考虑急性前庭神经炎和梅尼埃病首次发作。[7]延髓外侧综合征的典型特征值得加以探讨,特别是在急性头晕患者中还有传统的心血管危险因素。
➤ 急性前庭神经元炎也表现为急性发作性眩晕、平衡障碍和呕吐。然而,肢体共济失调、感觉丧失和Horner综合征并不是引起眩晕的次要原因,如前庭神经炎,头部脉冲试验结果可能是阳性。
➤ 梅尼埃病患者通常耳鸣、听力损伤和眩晕一起出现去其他神经学典型特征,排除。
➤ 由于后交通动脉瘤破裂而导致的动脉瘤性蛛网膜下腔出血通常会导致患者瞳孔变大,而本病例患者瞳孔变小,排除。[8]
➤ 除了头部CT正常外,患者无颈部僵直和畏光,动脉瘤出血的可能性很小,排除。
诊断关键
脑CT对后颅窝结构成像的敏感性较差。 [9]一旦临床怀疑延髓外侧综合征,则需要行脑MRI来进一步确诊。尽管MRI具对该病具有敏感性,但早期影像学检查观察不到变化,很容易可能会被影像科医生忽视。[10]
影像学一旦确诊,必须对患者的潜在危险因素和致病机制进行调查。从临床经验看,年轻的脊髓外侧综合征患者常考虑椎动脉破裂。要求对患者进行MRA/CTA。根据年龄、左枕头痛和轻度颈痛的临床特征,本例患者符合动脉破裂相关的已知临床症状。
本例患者行CT血管造影,未见椎动脉破裂及大动脉粥样硬化改变。超声心动图显示高血压同心性左室肥厚。心电图显示无心律失常。空腹血糖和血脂水平与糖化血红蛋白水平无显著性差异。卒中的潜在机制被认为是与高血压相关的小血管疾病。
治疗及预后
外侧延髓综合征的适当治疗取决于诊断时症状的持续时间和脑卒中的机制。发病后3-4.5小时内确诊的患者可考虑对无夹层病因且无禁忌症的患者进行溶栓治疗。[11]在溶栓治疗的时间范围之外,应通过控制已确定的危险因素,在进行心血管二级预防的同时提供抗血小板治疗。降低风险策略还应包括对心源性患者进行抗凝治疗。[11]
对于以颅外椎动脉破裂为基础病因的患者,溶栓治疗是安全的,然而颅内动脉破裂的风险是未知的。对于椎动脉破裂,抗凝或抗血小板治疗通常需要3-6个月;然而,在蛛网膜下腔出血、有症状的动脉瘤扩张或医疗处理失败的情况下,有必要以血管内治疗或动脉修复的形式进行手术干预。
本例患者诊断较晚,不能从溶栓中获益。患者血压很高,超过了平均值140mmHg,刚开始静脉注射拉贝洛尔治疗,后来改用口服降压药。在治疗过程中,可能是由于外侧髓质交感神经通路受到影响,患者血压出现了剧烈波动。后来,当血压得到控制稳定时,改为口服抗血小板药物。
对于大多数延髓外侧综合征患者预后良好。在既往病例报告中,大多数患者中显示出良好预后,随访3-6个月后仅有少量后遗症。[2,5]在130例患者中,只有一例在急性期死亡。[2]
本例患者最初表现为共济失调,必须有支撑物才能保持坐姿。然而,该患者在症状发作后7天左右,出院前恢复了独立坐姿,仍然不能独立站立,站立时总是向左侧跌倒(与病变同侧)。在两周后的随访中,尽管他表现出基础广泛的步态和一些平衡困难,但他已经可以走动,面部左侧和右侧四肢也完全恢复知觉。
参考文献:
[1] Wallenberg A. Akute Bulbaraffektion (Embolie der Arteria cerebelli post inf sinistra). Archives fur Psychiatry. 1895;27:504-540.
[2] Kim JS. Pure lateral medullary infarction: clinical-radiological correlation of 130 acute, consecutive patients. Brain. 2003;126(Pt 8):1864-1872.
[3] Ruedrich ED, Chikkannaiah M, Kumar G. Wallenberg’s lateral medullary syndrome in an adolescent. Am J Emerg Med. 2016;34:2254.e1-2254.e2.
[4] Carpenter MB, Sustin J. Human Neuroanatomy. 8th ed. Baltimore, MD: Williams & Wilkins Co; 1983:315-357.
[5] Kim JS, Lee JH, Suh DC, Lee MC. Spectrum of lateral medullary syndrome. Correlation between clinical findings and magnetic resonance imaging in 33 subjects. Stroke. 1994;25:1405-1410.
[6] Kuypers HG. Cortico-bulbar connections to the pons and lower brainstem in man: an anatomical study. Brain. 1958;81:364-388.
[7] Welgampola SM, Young AS, Pogson JM, Badshaw AP, Halmagyi GM. Dizziness demystified. Pract Neurol. 2019;19:492-501.
[8] Golshani K, Ferrell A, Zomorodi A, Smith TP, Britz GW. A review of the management of posterior communicating artery aneurysms in the modern era. Surg Neurol Int. 2010;1:88.
[9] Caplan L. Posterior circulation ischemia: then, now, and tomorrow. The Thomas Willis lecture – 2000. Stroke. 2000; 31:2011-2023.
[10] Frumkin LR, Baloh RW. Wallenberg’s syndrome following neck manipulation. Neurology. 1990;40:611-615.
[11] Powers WJ, Rabinstein AA, Ackerson T, et al; American Heart Association Stroke Council. 2018 guidelines for the early management of patients with acute ischemic stroke. A guideline for healthcare professionals from the American Heart Association/American Stroke Association. Stroke. 2018;49:e46-e99.
[12] Park K, Park J, Hwang S, Im SB, Shin WH, Kim BT. Vertebral artery dissection: natural history, clinical features and therapeutic considerations. J Korean Neurosurg Soc. 2008;44:109-115.
原文索引:Olusegun John Oluwole. 33-Year-Old Man Suddenly Unable to Stand or Sit.Medscape. February 14, 2020.