顾洪斌,顾建文,解放军306医院血管科
动脉夹层是指由于内膜局部撕裂,受到强有力的血液冲击,内膜逐步剥离、扩展,在动脉内形成真、假两腔。从而导致一些列包括撕裂样疼痛的表现。主动脉是身体的主干血管,承受直接来自心脏跳动的压力,血流量巨大,出现内膜层撕裂,如果不进行恰当和及时的治疗,破裂的机会非常大,死亡率也非常高。

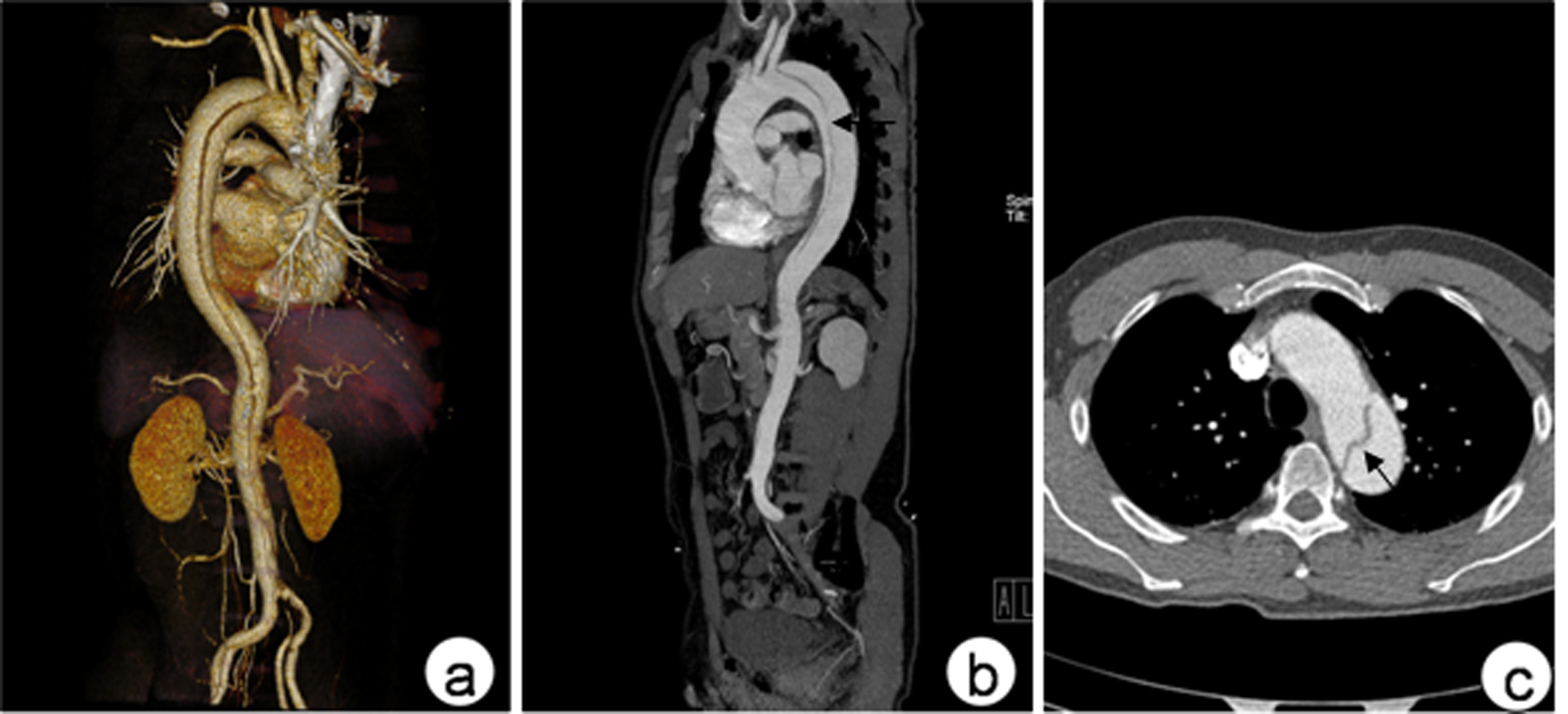
正常的人体动脉血管由3层结构组成,内膜、中膜和外膜,3层结构紧密贴合,共同承载血流的通过。而动脉夹层是指由于内膜局部撕裂,受到强有力的血液冲击,内膜逐步剥离、扩展,在动脉内形成真、假两腔。从而导致一些列包括撕裂样疼痛的表现。根据破口部位,所在的动脉的部位,夹层可累及全身各个部分,最为常见的和最为凶险的是主动脉夹层,其他的还有肠系膜上动脉夹层、颈动脉夹层等等,由于供血部位的不同,表现形式也不尽相同。

主动脉夹层是一种危重疾病,起病24h 内每小时病死率约为1%,而急性期48h 内病死率可达36%~71%。若能给予及时有效的治疗,死亡率可下降18%~27%。

内科治疗
主动脉夹层治疗进展,目前患有主动脉夹层病人越来越多,随着对治疗的不断探索,治疗方案的选择也在不断变化,本文通过国内外最新研究成果及相关文献,对治疗进展进行综述,旨在为主动脉夹层的治疗提供更加合理的方案。现代诊断与治疗,主动脉夹层的发生、发展与收缩压及主动脉内压力变化速率有关, 治疗目标是将收缩压控制在100~120mmHg,而心室率控制在60~80 次/min。KodamaK研究发现,控制心率<60 次/min 能明显减少严重并发症的发生。若合并动脉粥样硬化应使用稳定动脉粥样硬化斑块药物。

外科治疗
外科开放手术主动脉夹层患者开放手术治疗目前主要用于standford A 型病人,但截瘫发生率可高达5%~40%,其死亡率与内科药物治疗无明显差异。随着人工血管的不断发展,国内孙立忠等首次使用支架“象鼻”术治疗Stanford A 型主动脉夹层,此手术方式的优点是覆盖了夹层内膜破口,扩大真腔,缩小假腔,增加血供。 腔内修复治疗1998 年,Dake 等首先采用腔内修复治疗Standford B 型夹层,此后得到不断发展及改进,从近十年的治疗结果来看,腔内治疗Standford B 型主动脉夹层安全有效,创伤小。

腔内修复治疗指针目前多数常采用的是Nienaber提出的修复指针:(1)近端破口与左锁骨下动脉开口距离>10~15mm;(2)假腔不断扩大;(3)形成夹层动脉瘤, 直径>55cm;(4)内膜破口持续存在;(5)疼痛无法缓解;(6)肠系膜上动脉及至少一侧肾动脉由真腔供血;(7)至少有一侧髂股动脉无夹层分离。

腔内修复治疗的时机选择夹层急性期由于主动脉壁会发生水肿,内膜脆弱,腔内修复术后会增加夹层内膜撕裂及主动脉破裂的发生率,但早期腔内修复有利于夹层真假腔的重构,因此Kato 等[10]提出应宜在发病4w 后、慢性期之前行腔内修复治疗,急性期应在发病3w 后给予腔内修复治疗,但对于有胸腔积液、疼痛无法缓解、主动脉分支血管缺血无法缓解及降主动脉直径>4.5cm者应急诊行腔内修复治疗, 以免在等待过程中发生夹层破裂及其他致命性并发症。

扩展锚定区由于腔内修复术要求近端锚定区应>1.0~1.5mm,对于部分主动脉夹层患者需扩展锚定区,国内外学者为此做了大量研究工作。延长锚定区的治疗进展主要有以下几个方面: Hybrid 技术根据夹层破口发生的位置分别采取不同的杂交技术来延长锚定区。若需覆盖左锁骨下动脉,常见方式为左颈总动脉 ̄左锁骨下动脉旁路;如需覆盖左颈总动脉,常用旁路方式有右颈总动脉 ̄左颈总动脉和右颈总动脉-左颈总动脉 ̄左锁骨下动脉旁路等; 若需覆盖无名动脉此时采用Debranch 技术,此方法需要切开胸骨,但无需体外循环,应用“部分阻断”技术,采用分叉型人工血管,将其近端与升主动脉侧壁吻合, 远端分叉与无名动脉和左颈总动脉吻合,根据术前情况重建或不重建左锁骨下动脉。如果病人不能耐受开胸手术可经左髂动脉到左腋动脉及左颈总动脉、右髂到右腋动脉血管旁路术来延长锚定区。但其远期通畅率不如Debranch 技术。

分支型及开窗型人工血管的应用开窗型人工血管是术前根据具体情况剪出或在人工血管膜上预留侧孔,覆膜支架近端超过分支血管开口,但可以经支架侧孔保证该分支血管的血流。另一种方法是在移植物中间开窗,但术中定位比较困难。分支型人工血管指在覆膜支架上带有侧支来保证血管分支的血流,常见的人工血管是带有一个分支和三个分支,带有一个分支的支架型人工血管能保留主动脉弓上一个分支动脉的血流,通常用于保留LSA。带有三分支人工血管能保留主动脉弓上三个分支动脉的血流。

烟囱技术烟囱技术由Greenberg 于2003 年率先提出,术中操作时首先将裸支架或带膜支架的输送系统预先导入到主动脉分支血管目标位置,接着导入支架型人工血管并完全释放,然后释放预先导入的覆膜支架或者裸支架。这样既可延长锚定区,又可保证分支血管的血流。
