先给大家讲一个颠覆你认知的事情。
前几天有妈妈向我咨询,问宝宝是不是龋齿了。

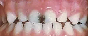
大家有没有看到,宝宝牙齿白白的,怎么就成了虫子牙?
这里,首先来说个误区。
很多人都以为黑色的牙才表示孩子牙出问题了。

其实呢No No No!
不仅是黑色
像这样的乳白色,这是虫牙开始的早期标志之一!!一定要注意观察,看孩子有没有这个特征。

来来来,围观一下蛀牙的概率多到令人发指。

孩子没吃糖,咋也会虫牙?
哈哈哈哈,吃糖多=虫子牙?
其实糖表示很委屈,即使不吃糖,也很有可能长蛀牙,那到底是什么原因引起的蛀牙呢?
你猜你猜,你猜猜猜
蛀牙的形成因素

发生蛀牙必须要有这四部曲。
一. 宿主
牙套路很深的,没有牙,那不会蛀的。所以,牙很关键。
二. 细菌
口腔不是无菌的,我们人类嘴里都是可爱可亲可敬的细菌宝宝呦。
三. 食物
基本上只要吃东西,就需要刷牙,不管这个东西是不是甜的。
四. 时间
我们吃完饭,嘴里全是食物残渣,细菌宝宝们就会笑的哈哈哈的,去吃这些饭菜,伦家也要生存啊。
吃完以后,细菌宝宝会“排泄”,排泄的东西会腐蚀牙齿。
日积月累,牙齿缴械投降,就蛀了(变虫子牙)。

So!我们的目标是!
吃完饭半小时后,及时把嘴里的食物清理干净。不给细菌宝宝吃饭拉臭臭的机会!(你们还是人吗?细菌只是个宝宝啊)
刷牙呀,用牙线啊,只要把残渣清理干净,就大大降低宝贝得蛀牙的概率了。
蛀牙长的美吗?

答:谁觉得蛀牙美,站出来,我保证不打你。
A图:重度蛀牙
B图:靠近牙龈的地方有白色斑块,是蛀牙早期表现,说明牙齿开始慢慢脱框
C图:食物残渣长期聚集在两个牙齿之间,没有刷干净而产生的灰色龋块
D图:牙面上有黑色斑点,称之为龋块
以上都是龋齿不同程度所表现出来的状态,所以要养成定期去医院检查的好习惯。
一岁以后就要去检查。
何预防蛀牙的产生
一.刷牙
晚两次,饭后刷!!饭后!!
刷完牙,不要夜奶。
牙膏的选择
美国牙科协会ADA(American Dental Association)2014年给出了科学建议,只要有牙,就应该用含氟牙膏刷牙,3岁以下也可以用,只不过要注意用量。
这个图,大家可以参考这个用量。

二.涂氟
一般来说,宝宝从3岁起,就需要每半年到牙科诊所做一次牙齿涂氟,直到6岁为止,涂氟可以预防+修复早期龋齿。
很建议呦~~

三.窝沟封闭
窝沟封闭,就是把大牙的沟沟槽槽给填满了。
这些沟啊,不好清理,细菌小宝宝们最喜欢这种犄角旮旯。
所以我们人工*锁封**犄角旮旯,不给细菌宝宝容身之处!

孩子长大牙后就可以去门诊窝沟封闭了哦~~