什么是”黑三角“?说简单点就是戴牙套后,相邻牙齿外形最突点虽然接触在一起了,可是相邻牙齿之间的牙龈并不能完全覆盖两个牙齿的邻接点之间的间隙到牙齿的牙颈部时,肉眼所能看到的一个三角形间隙,我们称之为黑三角。

当牙齿拥挤不齐时,牙龈处于萎缩状态,当牙齿排列整齐后感觉牙齿间有黑三角,其实并不是戴牙套所造成的,而是牙龈本身状态既是如此。另外,牙齿拥挤,不存在正常的生理性磨耗,等牙齿排齐后,邻接点更靠近合方,牙龈处黑三角就出现了。黑三角无法自我修复,因为黑三角容易造成食物嵌塞,另一方面它更容易让细菌堆积,影响到牙周的健康。
那么黑三角怎么治疗呢?我们看看这组案例!

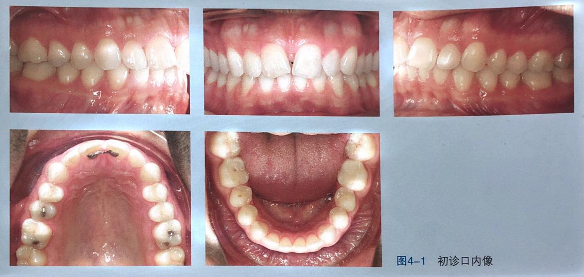
(这个案例患者曾经做过固定矫正,也就是传统矫正。主要问题为中切牙间的黑三角如图)
治疗过程治疗目标是去除黑三角的病因,即解决#11、#21严重的根远中倾斜问题。
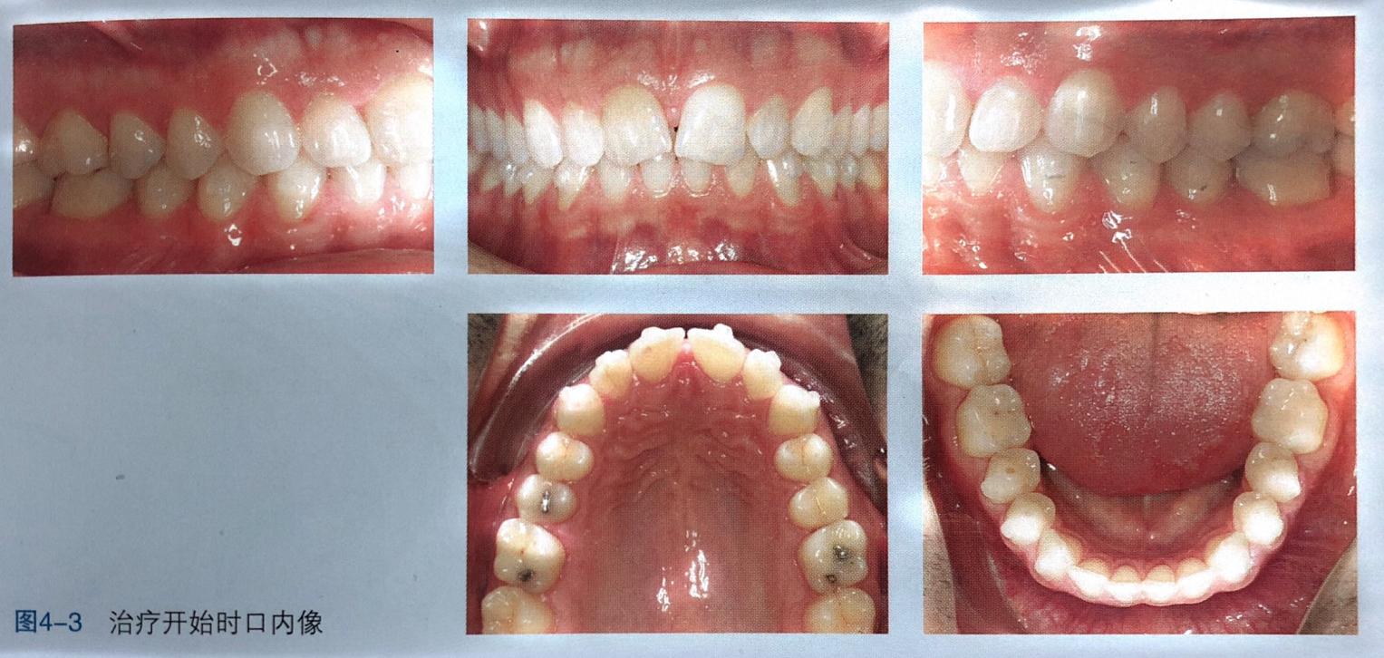
治疗前首先需要去除维持黑三角的上颌腭侧固定保持丝。治疗最初步骤之一就是正轴。为了上中切牙的正轴,两颗牙上必须使用附件(图4-2),同时近中面需要进行邻面去釉( Interpro×imalename| reduction,|PR)以使接触点往龈方移动。如果同时两颗切牙均处于扭转状态,那么需要在 Clin Check治疗方案中提出,在移动牙冠的最初就开始正轴。有了这种额外的根正轴运动,黑三角就不会进一步恶化。

另外,中切牙近中面的邻面去釉使接触点往根方移动,也会防止黑三角的发生发展。去除上颌腭侧固定保持丝,开始隐形矫治(图4-3)。附件类型为传统矩形附件,因治疗开始时尚未有G4代附件,了防止黑三角,整个治疗过程必须将两颗牙压根靠在一起。


ClinCheck软件中的治疗方案

口内像

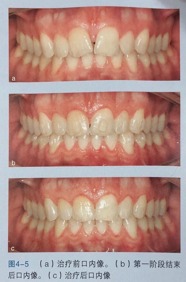
从图中可以看出黑三角和上中切牙间隙已重合上中切牙压根以正轴,其他方面也全部完成。
对于有牙周问题的人,牙龈已经处于病理状态,轻度的黑三角可以通过树脂修复和贴面修复来解决,严重的黑三角就要考虑戴牙套矫正了!另外,在戴牙套之前要进行全面的口腔检查、清洁,与医生充分的沟通可以有效的预防黑三角。一定要记住,预防大于治疗!预防大于治疗!预防大于治疗!