福州市50多岁的郭阿伯患痛风已经10多年了,近10年来他往返于各家医院,采用各种保守治疗方法都没有明显的症状改善。尽管他平时很注意饮食和作息,但症状依旧反反复复,稍有不适全身各关节痛如针刺,他诉苦道:“现如今肘关节伸也伸不直,弯也弯不了,更是不能碰,一碰就痛,生活质量已经变得很糟糕了!”

今年,被痛风折磨的苦不堪言的郭阿伯听闻福州市中医院骨伤科何庆建主任关节镜微创治疗各种关节炎效果不错,就慕名前来问诊。
何庆建主任切实了解了郭阿伯的病症和多年的治疗经历,对他的病情进行了分析,建议郭阿伯既然这么久的保守治疗效果不好,那可以试试关节镜手术治疗,会有意想不到的效果。郭阿伯经过一番考量,秉着对何主任的信任,同意进行手术治疗。

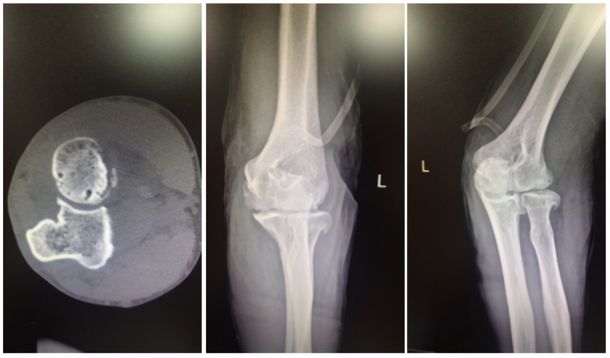
郭阿伯关节影像图
长期受痛风折磨,郭阿伯的关节早已“千疮百孔”,通过影像学可见到关节间隙变窄,游离体形成,关节表面软骨破坏,骨质增生明显,骨性关节面不光整,关节面下可见囊状骨质破坏,手术治疗已经迫在眉睫。

何庆建主任和团队成员为郭阿伯进行手术
经过充分的前期沟通和手术准备,何庆建主任为郭阿伯进行了关节镜手术治疗。

手术后,郭阿伯肘关节的肿痛得到明显的缓解。何庆建主任根据手术情况,及时为他调整痛风药物进一步治疗,并对他日常生活注意事项进行了详细的说明。

术前术后完全伸直、屈曲对比图
经过一段时间的康复,郭阿伯来我院复查时,活动受限的肘关节居然奇迹般的伸直了,他心情也变得开朗很多,不住称赞:“这个关节镜(技术)真是显神威啊!”

何庆建主任介绍,关节镜手术治疗痛风性关节炎有显著优势:关节镜直视下能明显发现病变,诊断更明确;关节镜手术可以清除吸附在组织表面的尿酸盐结晶和关节液中的炎症因子,治疗创伤小、出血少,手术并发症少,感染率极低;此外,术中若发现关节内其他病变,也可及时采取相应的治疗措施,如:关节内游离体取出术、滑膜清理术、软骨修复术等。

来源:福州市中医院
01