“我这辈子都不敢吃生鱼片了,真的不敢了...”回忆起那段经历,老刘时至今日依然心有余悸。
今年五一,老刘和几个同事相约去餐馆聚餐,期间老刘点了一盆生鱼片。由于同事们都不喜欢吃生鱼片,所以满满一大盆生鱼片几乎都是老刘一个人吃完的。
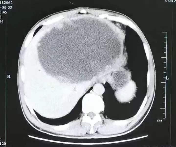
谁知当晚,老刘便出现咳嗽、高烧等症状,就医检查后老刘看着检查结果只觉得头皮发麻:
他的右边小半个肝脏都已经被“掏空了”,此时已经是一个巨大的网球状空洞形脓球,和一个三斤重的西瓜差不多大。

经进一步检查,老刘被确诊为华支睾吸虫感染。虽然手术前老刘已经有了心理准备,但看到肝脓肿内部时,还是起了一身鸡皮疙瘩。只见里面已经爬满了灯泡状的华支睾吸虫虫卵,数量多得数不清...
鱼类,作为我们平时餐桌上最常见的食物,深受很多家庭的喜爱。但最近几年,人们对鱼的评价却两极分化,喜欢吃鱼的人觉得鱼肉好吃营养丰富,不吃鱼的人觉得鱼肉不健康,还会致癌。甚至有人说,我国癌症高发,都是鱼肉惹的祸!那事实,真的是这样吗?
鱼的营养价值到底有多高?
带鱼:带鱼作为比较平价的海鱼,其营养价值却很高。首先,带鱼的不饱和脂肪酸要比普通淡水鱼高;其次,在常见的动物性食物中,带鱼的含钙量位居第二,比鸡鸭猪牛羊等常见肉类要高;最后,带鱼中含有维生素D和镁,能够促进钙的吸收和利用,可以说是补钙的“一把好手”。
黑鱼:黑鱼中含辅酶Q10,辅酶Q10能够帮心脏提供更多的氧气和能量,预防突发性疾病。此外,辅酶Q10还能保护皮肤、延缓衰老、缓解疲劳。
鳜鱼:鳜鱼的嘌呤含量很低,哪怕是非急性发病期的痛风患者也能放心食用,不过需要控制好量。

除此之外,鱼身上各个部位的营养价值也是不同的。比如鱼鳔的蛋白质含量为 76-79% ,脂肪含量和胆固醇含量较低;鱼头则含有多不饱和脂肪酸、蛋白质、钙、铁、磷元和维生素B1等多种营养元素;鱼皮的蛋白质含量高达30%,富含胶原蛋白、精氨酸、谷氨酸等。
鱼肉吃多了会致癌,真的假的?
2022年6月9日,布朗大学公共卫生学院的一项针对491367名受试者的研究数据被发表在《癌症病因与控制》杂志上。
结果显示:较高的鱼类摄入和恶性黑色素瘤以及原位黑色素瘤的发病风险呈正相关。在这其中,金枪鱼与非油炸鱼的摄入增加,和恶性黑色素瘤与原位黑色素瘤呈正相关;炸鱼摄入和恶性黑色素瘤呈负相关,与原位黑色素瘤无关。
之所以会有这样的结果,是因为和海洋污染有关。美国人更习惯吃海鱼,基本很少食用淡水鱼,哪怕非油炸鱼也是以海鱼居多。
恰好海洋里的 砷、汞、铅、镉等重金属 ,以及农药、石油、多环芳烃等会增加癌症的患病风险。
不过需要注意的是,这次研究属于观察性研究,其统计数据不能推断出鱼类摄入和黑色素瘤的因果关系,因此研究人员不建议大家改变鱼类消费量。更重要的是,我国目前的海洋生态环境状况相对稳定,所出品的鱼肉是可以放心食用的。
真正致癌的是这6种鱼,尽量别吃!
①高汞鱼
研究显示,汞对少年儿童神经系统发育影响极大,高汞鱼则是人们摄取汞的主要来源。美国食品药品监督管理局就曾发布过鱼类消费黑名单:马林鱼、大鲭鱼、旗鱼、剑鱼、长寿鱼、鲨鱼、方头鱼、大眼金枪鱼这些鱼最好少给孩子吃。

②生鱼片
不少南方人都喜欢吃鱼生、鱼生粥和淡水鱼的生鱼片等。殊不知,这很容易感染华支睾吸虫(Clonorchis sinensis),又称肝吸虫。
肝吸虫的中间宿主有很多,如鲤鱼、草鱼、大头鱼和鳊鱼等68种。
肝吸虫的可怕之处在于一旦进入人体就会长期存活,甚至可以存活20-30年之久。并在我们的肝内胆小管中寄栖,损害肝脏,进而引发胆囊炎、肝硬化和胆管癌等。因此肝吸虫也在早前被国际癌症研究机构,认定为 1类致癌物 !

需要注意的是,肝吸虫感染早期很难发现,一般只会表现出疲劳、胃痛和腹痛腹泻等症状,极易被误诊。
③“甲醛鱼”
也许很多人都遇到这种情况,就是买回来的带鱼在油炸后出现了打卷的情况:

在剪开带鱼肚子时,还能听到类似于海蜇一样的“咯吱咯吱”响声。

这种鱼一般就是被黑心商家用甲醛浸泡过的,以实现防腐保鲜的效果。浸泡完甲醛后,商家还可能会在表面喷上一层洗衣粉液,目的是让鱼的外形看起来更加完整,颜色更加鲜亮。
甲醛是什么东西这里就不多说了,其危害是有目共睹的!
如何识别“甲醛鱼”?首先,这种鱼弹性比较差,用手指按压后会有印子,还能把鱼鳞搓掉。

其次,“甲醛鱼”的弹性更好,且肉质很瓷实。

最简单的方法就是闻气味,“甲醛鱼”闻起来会有一股异味,怎么去也祛除不掉。
④烤鱼
烤鱼属于过度油炸的鱼,虽然好吃但对健康没有什么好处。因为在经过高温煎炸后,鱼肉会产生自由基、苯并芘等有害物质,还会产生杂环胺等致癌物。另外,高温煎炸后鱼里的蛋白质、维生素和矿物质等也会被破坏,基本没有营养价值可言。
⑤中式咸鱼
很多人都喜欢吃中式咸鱼,其实中式咸鱼早就被国际癌症研究机构列入了1类致癌物清单中。

咸鱼虽然好吃,但其中也会产生大量亚硝酸盐,亚硝酸盐在进入胃肠道后,会转化成强致癌物亚硝胺,长期食用会 增加罹患食管癌、胃癌等风险。
⑥“柴油鱼”
市场上的死鱼很影响销售,基本不会有人愿意买,于是有些黑心商家就想到了一个办法:在快死的鱼池里加入柴油。
柴油加进去后,水里的空气会变得稀薄,由于呼吸困难,将死的鱼会拼命游,这时这个鱼看起来就很新鲜。
2020年1月9日,温州晚报就报道了这样一起新闻。
当时温州的詹先生买了一条活鱼回家煮着吃,可全家人都吃到了柴油味。

于是詹先生跑去质问摊贩有没有在鱼池里加柴油,摊贩却回答: 赔你一条保证没有加过柴油的鱼。
谁知这条鱼拿回家后,又吃出了柴油味。
采访现场,记者也闻到了很浓厚的柴油味。但当记者这些问题反映到相关部门后,这个流动的摊贩早已经逃之夭夭了。
“柴油鱼”的危害是显而易见的,柴油中含有致癌的苯并芘和污染性极强的多种重金属物质,人在食用这种鱼后会刺激肠胃,并出现胸闷和呕吐等症状,短时间内很难恢复。
所以,买鱼时尽量闻一闻,正常鱼应该是有股鱼腥味,绝对不可能会有淡淡的柴油味。