在广州,有一名29岁的小伙子 总是发热 ,这看上去好像是一个很麻烦的事,毕竟发热总代表有问题,至于是什么问题一定要检查一下才知道。
到了医院医生进行了初步的检查,感觉身体其他的地方都挺好,只有一个地方按上去有点疼:
右上腹按压疼痛。
右上腹是哪里呢?其实就是右侧肋骨下缘那个地方,那个地方如果有压痛,说明可能是肝脏有问题。在接下来的检查中发现,除了压痛之外, 肝脏附近还有叩击痛。

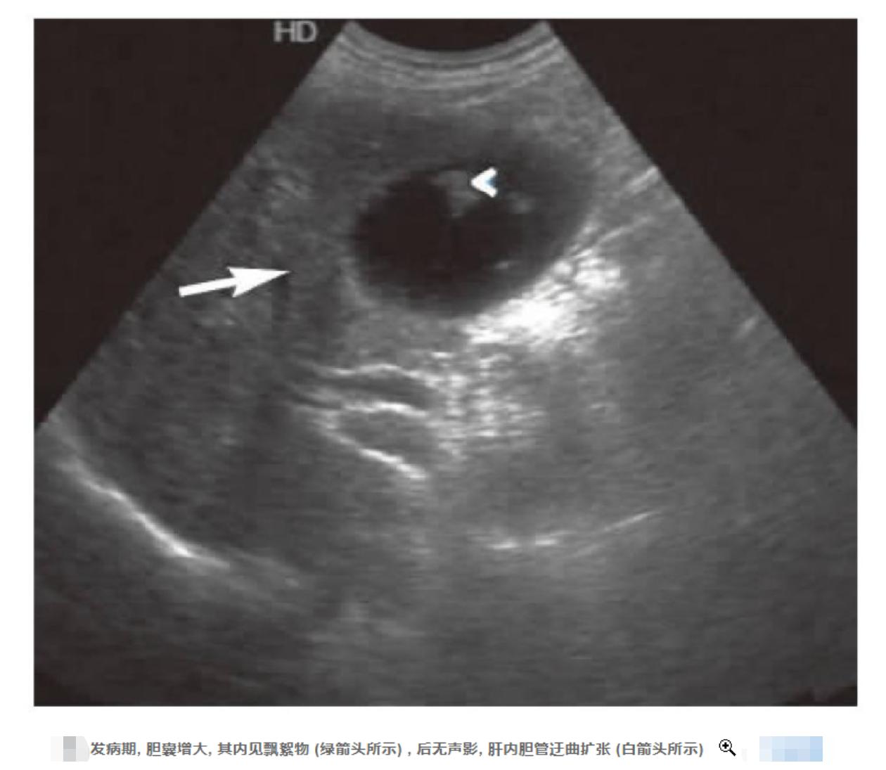
很可能病灶所在就是在肝脏,于是医生开出了 CT检查以及B超检查 。这两项检查都发现,他的肝脏有些增大,而且有胆囊炎和胆管炎,胆内还有小囊性病变。
再加上采血的时候,发现血液中的 嗜酸性粒细胞增高。
医生仔细询问病史后,发现原来他平时就有喜欢吃生鱼的习惯。
这些表现都指向了一个诊断:
有可能是 肝脏有寄生虫。
在过去大家的生活水平普遍不高,寄生虫可不是什么罕见病,很多老百姓都受到寄生虫的困扰,可现在这都什么年代了,还会有人出现寄生虫吗?

当然有,而且有这种问题的人可能不少,在不断地检查之后,医生确诊了这名29岁小伙子的问题,其实他的肝脏中有肝吸虫,它的问题就是 肝吸虫病。
一、肝吸虫。
肝脏的吸虫病包括很多种,不过我们最常见的是 华支睾吸虫病 ,这种病从名字上一听就知道,是一种称为华支睾吸虫的寄生虫,侵入到人体在肝脏中,寄生从而导致了这种疾病。
不光是我们人类,在很多动物的肝脏中,也可能因为这种寄生虫而导致病变,所以它是一种人兽共患的寄生虫病。
但是,在我国肝吸虫病一直受到很多学者的关注,因为它的传播范围非常广,而且感染率并不低,甚至有学者称之为,我们国家 最严重的食源性寄生虫之一。

曾经在佛山市有学者进行过筛查,在当地6535名居民中,发现患病的人数甚至高达2328人,这种抽查出来的 感染率达到36.54%。
甚至有学者估计,在整个广东省,肝吸虫的感染人数,可能达到了500万人。
不光是在广东,其他很多地区都有类似的报道,比如广西、海南等省份,是最为严重的受害省份。
而在全国范围内,华支睾吸虫的感染者甚至可能超过了1,500万。

所有感染的患者都会有严重的症状吗?
二、很多患者没症状。
其实感染上这种寄生虫之后,很多患者是没有症状的,只是在粪便中发现虫卵而已。
没有这种症状的患者 可能达到 16.9%~40.1% ,这些人都是相对幸运的,他们的病情并不严重。
但是,如果反复多次感染之后,就有可能出现问题了。大多数感染者的表现就是肝脏附近疼痛,也就是我们上面所提到的: 右上腹部疼痛 ,同时会伴有一些消化道症状,比如 腹泻 或者 食欲减退。
如果检查血液,会发现血液中的 嗜酸性粒细胞轻度升高。

但是,如果没有及时控制住或者没有及时发现,转变为了重度感染,那么问题可能就会更严重一些。
大量的虫体可能会阻塞胆总管,就像胆结石一样,会引起严重的 胆绞痛 ,而且因为胆汁排出障碍,还会让人身体中的胆红素越来越高,出现 黄疸 ,无论是眼睛还是皮肤,看上去都非常的黄。
看上去这种疾病挺严重的,但是肝细虫病是怎么传染的呢?为什么这么多人会生病呢?

在这里要提醒大家:
病从口入,跟饮食关系太大了。
三、病从口入,别吃生鱼。
这种疾病的传播,最主要还是吃进肚子里的。如果 喜欢吃生鱼或者生虾 ,稍不注意,就有可能中招。
华支睾吸虫的传播一般都需要借助其他鱼类。在我国淡水鱼类资源非常多,其中可能被肝吸虫所寄生的鱼类达到102种,特别是 鲤科鱼类。

如果把这些鱼和虾做熟了再吃,可以有效地杀死寄生虫,即使吃进肚子里也不会出现严重的问题,但是就怕生食。
然而,我国很多地区都有生吃鱼虾的习惯,比如:在广东省,当地的人喜欢吃 鱼生粥 ,或者在江浙一带,很多老百姓都喜欢吃 生虾球 或者 醉虾。
稍不注意,就成为了肝吸虫的受害者。
那么我们应该怎样预防呢?
其实也很简单, 就是别再吃生冷海鲜了,很多水产品都不是绝对安全的 , 做熟了再吃会更健康。

总结。
反复发热、肝脏疼痛,做检查还发现肝脏有问题,一定要小心,很有可能是 肝吸虫 导致的。
肝吸虫其实挺讨厌,很多居民都会不幸中招,如果是无症状的还好,但是碰上有症状的肝吸虫病,真的挺麻烦的。
该怎么预防呢? 最重要的就是注意饮食安全,杜绝病从口入。
吃东西的时候一定做熟了再吃,特别是鱼和虾,不要觉得他们很健康,即使是被寄生虫寄生了,我们用肉眼也很难看出来。
#健康真知计划#@头条健康
参考文献
1、马健强,陈国雄,唐弦,左志华,曹富鹏,宫斐,梁展华,周艺枝,吴艳霞.肝吸虫病流行地区人群相关生活习惯及健康知识调查[J].热带医学杂志,2008(08):858-860+865.
2、黄伟宪,黄祖星,吴能简,廖智慧,梁自勉.佛山市肝吸虫病现状研究[J].医学动物防制,2008(03):176-180.

83名患者,用了半年时间,只为了弄清楚吃花生对慢性胃病的作用
中午不睡觉,下午崩溃?医生:午睡最佳时间确定,3类人要小心
“给后悔的时间,却不给后悔的机会”?百草枯下肚会经历三个阶段
每天最好睡8小时?别被骗了,分析32万人,确定最佳睡眠时间