历数抗疫新技术
2020年春节这场疫情,目前在中国基本得到了控制,但在全世界却四处爆发。尽管我国在战疫前期非常艰难,但现在从全球情况来看,中国做得到的,其他国家却做不到。在这场战疫中,中国的组织能力、动员能力和基建能力有目共睹,但是在战场后方,我国这些年科技和技术的发展,也大大提升了抗疫和生产的效率。
5G应用
记得1月26号,知乎上有人问为什么移动联通电信要在火雷神山施工地抢装5G基站?答案就非常明了。在一块7.5万平方米的土地上,塞了7000人,一起交叉作业,沟通的工作量有多大?
事实上,对于设计人员和专业管理人员来说,主要的任务就是沟通,经常有人一天要花8个小时接打电话,收发微信;跟十几个专业去对接口界面;接受上级领导指示,以及跟施工人员说需要如何施工……
这么多人不用手机沟通,难道还用对讲机?7000个对讲机???如果不抓紧布移动通信基站,打个微信电话都打不了,怎么办?都2020了,难道通信基本还靠吼?
当然不,在5G加持下,我们有微信,可以发图片,发视频,多方通话,还可以随时用微信拉起腾讯会议开10人-300人的会议,连应用都不用*载下**,用腾讯会议小程序就能直接开大会,通过SIP网关实现跨内外网开会。
基建力量
2月1日,在雷神山工地, 共有专业管理人员768名,施工人员5895名,挖机、吊车等各类机械设备1306台。在这背后,因为有全国密布的铁路、公路、航空网络,可以保证物资、油料、食品、人力源源不断的供应;除此之外,还有BIM软件、项目管理系统、微信等保证近7000人的高效协作。
所以中国能10天盖成火神山,12天建成雷神山两座传染病医院,包括钢桁架搭建的医学技术楼和厢式板房搭出负压病房,而意大利只能用帐篷和气膜,在一个通宵搭建出满足初步需求的简易临时收容医院(意大利的表现已经比日本好了)。

口罩的进化
1911年,伍连德用他发明的伍氏口罩,双层消毒纱布中间夹一块吸水药棉,阻断传染,战胜了东北的肺鼠疫;

现在我们不但有了用熔喷无纺布+静电吸附制成的医用口罩,甚至还有用纳米纤维薄膜制成的可以多次消毒重复使用的黑科技口罩,还有全身的防护服,技术越来越先进,对医护人员和人群的保护都越来越到位。
中石化实现了从石油到口罩的一条龙生产,比亚迪、五菱、富士康等企业也开始生产口罩……2千年来,我国制造产能每天都在攀登新的巅峰。
人工智能应用
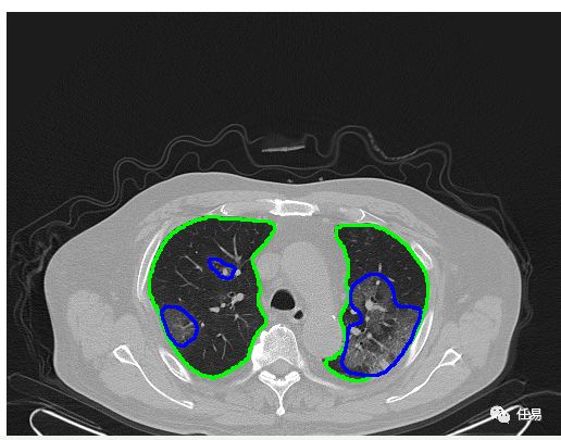
2020年跟古代的最大不同,是我们多了人工智能AI技术。AI识别CT的原理,其实就是把图片进行切割,然后进行卷积,识别边缘,包括识别颜色,就是我们熟知的大白肺,所以只要有了足够的、经过标注的图像数据,我们就能用AI识别出来。

2月21日,腾讯人工智能CT设备在武汉多家方舱医院部署,用腾讯觅影AI辅助诊断CT片子,可以在十秒完成AI评定,一分钟内给医生提供辅助诊断参考。同日,阿里达摩院发布了AI诊断,在湖北、上海、广东、江苏等16个省市部署了26家医院,并对3万个临床疑似新冠肺炎病例CT影像进行了诊断,准确率达到96%,但是需要20-30秒评定,我大鹅厂略胜一筹。

单纯人工智能还不足以取代资深医生,但是当医生的助理,识别有风险的病人,已经完全足够了。目前治疗期患者每5天要做一次CT检查,一台CT机器每天可以拍300人次CT,每天如果可以用AI辅助处理15000张CT,那么将极大程度的节省医务人员的体力精力(一个人的片子要看5-10分钟)
AI识别CT的原理,其实就是把图片进行切割,然后进行卷积,识别边缘,包括识别颜色,就是我们熟知的大白肺,所以只要有了足够的、经过标注的图像数据,我们就能用AI识别出来。
仅仅诊断CT还不够的话,AI还可以根据位置大数据、流行病学史、患者症状这类关键词辅助诊断,这样准确度可以进一步提升,帮助武汉做到应收尽收,全力抗疫。
信息透明
某国国务卿蓬佩奥一直在指责中国面对疫情时信息不透明,结果等到3月3日,美国CDC却把「已检测人数」一栏从官网上删掉了,而且美国新冠疫情的页面,只在周一到周五的工作日更新,周末停更,这双标得真是感人。但是因为科技的发展,在疫情中我国的信息透明程度和交互速度,真的盖世无双。

疫情初期,因为对新冠并不了解,一时间谣言四起,通过微信群广泛传播,然后腾讯新闻「较真」平台就在1月25日上线了「新型冠状病毒肺炎实时辟谣」专题,避免谣言大幅传播。
每到危难时候,总有一批人在发国难财,比如连某个偶像练习生都在朋友圈里卖口罩,还有测温枪的惊天*局骗**;这时就需要对这些诈骗信息实时提示了;虽然挡不住有心人用暗语和表情诈骗,但是同样可以抓获诈骗嫌疑人。
不同于武则天那个年代,基层需要千里迢迢去长安击登闻鼓,站肺石以报案;国务院办公厅征集疫情防控线索时,国民只需要在微信城市服务中进入「疫情督查」,就能方便报送信息了。
在我们看不见的地方,我大鹅厂还帮工信部做了重点物资保障小程序,让口罩、防护服、护目镜等制造商实时上报产能,帮海关做了旅客出入境健康申报等,还有每个小区都在用的健康打卡小程序,都是免费的……
全国各大搜索引擎,还有腾讯、阿里都开放了发热门诊和定点医院的搜索服务,病人可以直接通过微信搜一搜「定点医院」,就能获取新冠肺炎定点医院名单。
过去治病,靠的是张仲景这样的名医坐堂;而现在无论腾讯系还是阿里系,还有丁香园这样的专业机构,都推出了在线问诊,减少病人在医院交叉感染的机会。

反观某国,一个西雅图的女生@Sketchy Lady,就是在9人死亡的柯克兰养老院工作,所以她决定自己去检测是否感染。但是她没打通新冠热线电话,然后她在CDC官网和华盛顿公共健康网上都没找到检测点,无奈之下她联系了家庭医生,家庭医生又让她联系私人诊所,私人诊所又把她踢给医院,医院说他们不负责检测,又把她踢给新冠热线,然后新冠热线的结论,是这位女生「不具备检测资格」(只有在最近14天内出过国,或者与阳性患者密切接触过的人,才能够接受检测)。品品。

上报汇总
在疫情最初的几天,我们看到源源不断的物资送往武汉,但是抗疫物资的分发还在用一千年前赵抃采用的人工统计,手动造册的方式进行组织,唯一的进步就是把纸质报表改成了Excel。
一个月后,我们有了腾讯文档疫情小程序,支持10万人次的收集表填写,居民可以自行填报,方便每个基层组织快速收集辖区内的信息;还可以建立小区微信群,用接龙的方式收集团购信息。
在疫情期间,还可以用各种小程序实现个人健康上报、预约口罩、团购到家等小程序,这些都极大程度的降低了信息收集、汇总、展示的工作量,接下来就可以实现大数据及可视化了。

正是互联网的广泛应用,才能让中国抗疫有条不紊,敏捷高效,才保证全国14亿民众信息通畅,行动一致,举国在家里刷剧、游戏,实现了「有效隔离」,用张文宏大夫的说法,「闷死病毒」。
大数据及可视化
腾讯在疫情省、市,基于腾讯的位置大数据,建立疫情人流监控态势感知系统,帮助防疫指挥部了解实时情况。
在家自我隔离的用户,通过小程序上报当前位置、居住情况、家庭情况、就医历史记录、个人体温、身体情况、食物药品,这些数据可以直接上传到云端数据库;然后城市的管理者可以在后台直接导出报表,也可以根据数据信息在大屏上实时展现。

技术支持云复产
在猛虎趴窝一个月后,复工需求越来越迫切,如果耽误了生产、影响了春耕,那后续影响就大了。但复工之后,疫情同样紧急,很多企业需要远程办公、远程会议。这种需求放到古代是完全没法做的,而现在我们有了企业微信、钉钉、飞书,视频会议也有了腾讯会议、华为Welink、阿里钉钉,基本上满足了远程办公、停课不停学的需要,实现社会生产的有序恢复。令人悲伤的是,我们发现很多会其实是可以不开的……
当然我还是要吐槽下阿里的钉钉,毕竟是资本家的工具,如果不是把人管得太死,动辄人脸打卡、在线签到,还要钉一下,怎么可能得到一首《你钉起来真好听》的主题歌,还要被「五星好评,分期付款」?
头条的飞书有一个功能我很喜欢,就是虚拟办公室功能。可以把原来办公室的同事拉一个小组,录音和音箱一直开着,这样同样可以实现有事找谁,对着电脑喊一声就行的功能。
腾讯会议最好用的地方,是他支持在微信群里直接通过腾讯会议发起远程会议,可以投屏、视频、分享文档,如果懒得*载下**的话,直接用小程序也能开会,弄得我复工以后每天都在各种会上,有时还要同步开两个会,连码字的时间都没有了……

现在英国、日本部分学校也停学了,而我们无论企业微信、腾讯会议还是钉钉,都不得不走出国门支撑外国人的线上直播,然后钉钉还获得了日本学生的五星好评,当然也是分期付款的那种。
互联网公司
这次在家隔离战疫,多亏中国超前发展的互联网产业,无意中形成了民间强大的物流配送力量,在疫情最艰难的时候,同样保证了快递不停、外卖不停,让武汉的居民还可以通过团购买菜,最大程度的减少了人传人,也保障了物资配送。
幸好滴滴不停,网购不停,快递不停,外卖不停,让大家不但不会饿死、闲死和闷死,还能吃货助农,维持了餐饮行业、零售行业的最低消费,保障了大量第三产业的就业。国外怕是没有这些退路了。
这些年互联网企业积累了不少财富,但是并没有做守财奴,而是全心全意抗议救灾,资金捐赠额也更加庞大。汶川地震时,邵逸夫捐款1亿,李嘉诚捐款1.3亿;而2020年,仅腾讯一家,捐助资金就已经超过15亿,还提供了大量技术支持。自汶川震后12年,我国国泰民安,国富民强,仅以庞大的民间捐款来看,就可见一斑。

说到捐款,基于互联网进行公益捐款,真的比汶川时通过银行打款要方便太多。相比汶川时我还没毕业,只能捐钱献血;在这次疫情中,我终于也能略表点心意了。

感谢科技昌明 国家强盛
正是因为科技的不断进步,相比建安22年一场伤寒能带走1000万人,到三国末期只剩500万人;2020年的新冠病毒,传染性强、重症率高,目前累计治愈31187人,累计死亡2761人。白骨露于野,千里无鸡鸣的惨状,再也不会发生在神州大地上。
在医护人员和子弟兵的保护下,在各大生产制造企业、高科技企业和全体国民的集体努力下,已经得到了遏制,我们付出的成本,更多是经济损失和禁足在家——但是生命还在。只要人还在,就有无限的可能。
今天是我入职一周年。这一年来虽然经常吐槽互联网公司加班太累太多,但是关键时刻,虽然互联网公司没有冲在一线,但是同样为抗疫做出了自己的贡献;腾讯不仅捐了15亿抗疫基金,更是在通信、协作、AI、远程办公、信息收集、健康保障等领域做出贡献,让我与有荣焉。
最后,腾讯和阿里对复工的最大帮助,就是健康码。相比过去由「有关部门」开具健康证明和介绍信,出入登记姓名电话的繁琐,我们现在可以通过小程序上报自己的健康信息,连续7天打卡正常,就能得到绿色的健康码,作为返岗通行证明。
居民出入公共场所,只要扫枪一扫,所有信息都登记完成,不但全市通行无阻,还能跨省互认,也便于追溯接触者,让我们能迅速恢复生产,毕竟中国还要给全世界生产医疗物资呢。
所以,我们以后可以这样互相问候了:
今天你绿了没有?
绿了绿了!祝你也早日变绿!
PS:明天我就绿了,哈哈哈哈哈哈哈哈。
跟理工男一起直指真相。感谢大家关注我的头条号「任易」,我是南开本科,清华硕士,12年工龄,在IBM做过销售,在地铁公司管过项目施工,在石油公司做过项目经理、售前顾问,现在在鹅厂做云计算,所以对销售、施工、人力、组织、项目、造价、IT都比较熟,所以对这些线索会非常敏感。