我们常说的烤瓷牙,是由惰性金属和烤瓷混合制成,内冠是一层金属材料,常见的有镍铬合金,钛合金,钴铬合金。外冠则是瓷粉。通过高温烧结融附在一起。烤瓷牙既有金属的强度,又有烤瓷的美观。是目前比较常见的一种修复缺牙的方式。
自从新的技术出现和种植技术成熟后,烤瓷牙其实成了争议性的话题,口腔专家建议广大朋友,不要仅仅只是为了贪图便宜,就随便选择做烤瓷牙冠。需要到专业口腔面诊下医生,结合一下自身情况和医生建议后,再看看自己究竟适不适合做烤瓷牙。不要随便因为低价宣传广告,而掉入“低价陷阱”。

图片来源网络
一般来说,做烤瓷牙的时候需要将牙齿表面或者邻牙表面均匀磨掉约1.5-2mm,随便磨掉原先健康的牙齿,那是非常不划算的,但是以下这些牙齿本身有问题的朋友,通过烤瓷牙修复,也不失为一个好选择:
适合范围
⊙做了根管治疗,没有神经的脆弱牙齿
⊙牙体缺损较大的
⊙牙齿变色或者色调不佳的,如釉质发育不全的、四环素牙、锥形小牙等
⊙牙齿形状特异、不美观,同时又不适合去做牙齿矫正的(异形牙、错位牙)
⊙部分咬合不正常的

图片来源网络
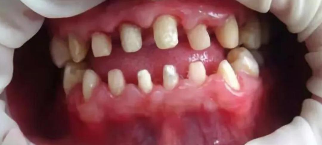
但是,在下定决心要做以后,一定要选择正规的口腔结构,如果医生技术或者材料不达标的话,那么就会出现图上的惨剧。此外,技术不好的医生,磨牙还有可能伤害到牙龈组织或牙髓,甚至会出现烤瓷牙与原牙结合不好,边缘结合不好的地方长期刺激牙龈,使牙龈肿痛,得牙周疾病。
烤瓷牙出现这几种情况,必须拆
1 引起牙龈黑线的
这种是佩戴劣质烤瓷牙后,经常出现的情况,因其价格低廉,在人群中备受欢迎,但是长期佩戴后会出现牙龈发黑,这是因为这些劣质的产品,使用了非贵金属烤瓷牙,长期在口腔内氧化反应后,形成的氧化物,随着时间的沉淀,造成牙龈黑线,发现这种情况要及时拆除,否则很可能会引发牙龈炎、牙周炎甚至导致牙齿脱落。

图片来源网络
2 引起真牙蛀牙的
如果医生技术不达标,备牙不合格,牙齿模型不够精密,烤瓷牙加工出来,佩戴后就会出现边缘不密合,会给细菌提供有利的滋生空间,这些细菌通过结合部精密的接口处,进入牙冠里面,导致平时的刷牙清洁根本照顾不到,只能眼睁睁的看着牙齿慢慢被他们糟蹋。这种情况下,烤瓷牙必须拆。
3 未治疗好牙周疾病的情况下
一些机构的医生在做烤瓷牙时急于求成,对患者牙龈缺乏详细的评估,比如本身患有有牙龈炎症,牙龈红肿、萎缩等,在没有治疗的情况下,就直接安装烤瓷牙,随后导致了一系列的口腔问题,这种情况应该尽快拆除。
4 烤瓷牙崩瓷
崩瓷边缘较尖锐,会造成舌头,唇部粘膜受伤,而且烤瓷牙崩瓷后,金属层暴露在外,长时间在食物和唾液的作用下发生化学反应,也要及时的拆除!

图片来源网络
5 牙体预备失败
总体说来,提醒:千万别因为贪便宜,掉入烤瓷牙的“低价陷阱”。
劣质的烤瓷牙:
加工精密度差;生物相容性差,部分患者在戴一段时间后牙龈组织会出现“黑线”,甚至引发过敏反应的报道,容易出现崩瓷现象。
烤瓷牙在用3—5年开始出现各种症状,如崩瓷、失真透光、色泽欠佳、脱落、咀嚼无力、牙龈出血、牙龈变色、牙周病变等。以上这些情况,均属于失败案例,其中牙冠边缘出现黑线,是其中最常见的情况,应及时修复,避免二次伤害。