脚踝扭伤应该怎样迅速恢复 (脚踝扭伤的处理方法及康复)

随着全民健身热潮的兴起,

运动损伤不再是运动员的“专利”,

成为生活中常见的现象。

然而有许多运动损伤患者,

没有得到专业治疗与康复意见,

甚至进行盲目锻炼或者错误治疗,

加重了原来的运动损伤。

脚踝扭伤的处理方法和注意事项,轻度脚踝扭伤的处理方法及康复

▲图片来源网络

10年前,林先生扭伤了脚部踝关节,经过四处求医,反复治疗,仍未见好转,被多家医院诊断为“滑膜炎”。后来,他通过微信公众号了解到相关案例,联系了广东省第二人民医院(以下简称“省二医”)关节骨科运动医学组组长何河北医生进行线上沟通,何河北医生认为,林先生的症状可能是踝关节慢性不稳,便建议其来医院就诊。

以最小的创伤,

实现最大的运动损伤修复

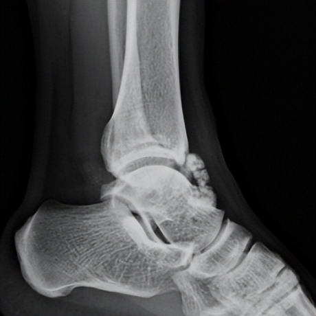
林先生来到省二医后,何河北医生为其进行了详细查体,检查后确诊为踝关节不稳+滑膜软骨瘤

何河北制定了详细的手术方案,为患者开展踝关节镜下滑膜软骨瘤取出术+距腓前韧带重建术。他从患者踝关节中取出32颗“珍珠”(关节游离体),然后进行踝关节外侧韧带重建。

脚踝扭伤的处理方法和注意事项,轻度脚踝扭伤的处理方法及康复

脚踝扭伤的处理方法和注意事项,轻度脚踝扭伤的处理方法及康复

脚踝扭伤的处理方法和注意事项,轻度脚踝扭伤的处理方法及康复

脚踝扭伤的处理方法和注意事项,轻度脚踝扭伤的处理方法及康复

▲术前可见踝关节前方有大量“珍珠”。

脚踝扭伤的处理方法和注意事项,轻度脚踝扭伤的处理方法及康复

▲术中取出31颗滑膜软骨瘤。

脚踝扭伤的处理方法和注意事项,轻度脚踝扭伤的处理方法及康复

▲术后CT显示滑膜软骨瘤完全取出,韧带重建良好

据何河北医生介绍,对于踝关节损伤,现在最前沿的方法是踝关节镜下修复或者重建距腓前韧带。该技术为全镜下微创,手术时间短,手术创伤小,术后疼痛感较轻,效果良好。

目前,林先生已经完全康复,重返运动场,对省二医关节骨科运动医学团队表达了感谢。

广东省第二人民医院运动医学团队实力雄厚,秉持先进的治疗理念,掌握肩关节、膝关节、髋关节、踝关节、肘关节等运动损伤关节镜治疗技术,为运动损伤患者带来福音。

踝关节扭伤很常见,

正确治疗是关键

急性踝关节扭伤(俗称崴脚)是骨科运动医学方面的常见病,大多数人都曾经历过。

崴脚后,如果早期处理不当,错过了最佳治疗时机,轻则遗留慢性疼痛,重则导致慢性踝关节不稳、创伤性踝关节炎等后遗症,严重影响工作生活。

脚踝扭伤的处理方法和注意事项,轻度脚踝扭伤的处理方法及康复

▲图片来源网络

外侧韧带损伤在踝关节扭伤中占比高达85%,而距腓前韧带损伤在踝外侧韧带损伤中发病率最高。距腓前韧带提供了踝关节外侧60%的稳定性,如果距腓前韧带损伤,踝关节稳定性将明显下降。

韧带损伤程度分级

按照损伤的程度,踝关节扭伤可以分为:

I级损伤(轻):受伤当时有轻度疼痛、肿胀,无瘀血,踝关节活动度无受限或轻度受限,负重或行走没有困难,一般数小时或数天后症状可消失。

II级损伤(中):非常疼痛,伴有肿胀、僵硬和行走困难,部分可见足踝部瘀斑,功能部分受限,负重或走路时通常疼痛明显,会有明显关节不稳的感觉。一般可石膏/支具外固定4-6周。

III级损伤(重):重度疼痛、肿胀,足踝部出现明显瘀斑,踝关节不稳定且不能负重,关节运动功能丧失,一般需要6-8周及以上才可逐步恢复。

脚踝扭伤的处理方法和注意事项,轻度脚踝扭伤的处理方法及康复

▲图片来源网络

扭伤后,如何第一时间处理?

保护受伤的部位,使之不受二次损伤,以免因为外界因素导致未撕裂的韧带或者未骨折的骨头发生骨折。具体操作可参照“POLICE原则”:

保护(Protect)

适当负重(Optimal loading)

冰敷(Ice)

加压包扎(Compression)

抬高患肢(Elevation)

治疗原则

1、保守治疗:对于I级损伤(轻)、II级损伤(中),常用采用POLICE原则进行早期处理,然后通过踝关节韧带训练,增加踝关节肌群力量,加强本体感觉训练,可以有效减少踝关节再次扭伤,减少踝关节不稳的发生。

对于III级损伤(重)的患者,可以考虑石膏固定、功能康复及手术治疗。

2、手术治疗:踝关节扭伤中发现周围组织结构损伤以及保守治疗无效,逐渐发展为慢性踝关节不稳时,需要及时手术治疗,目的是修复松弛或断裂、撕裂的韧带,重建踝关节的机械稳定性。如解剖修复、非解剖重建、自体或异体移植物重建,或者几种手术综合应用。

来源:广东省第二人民医院

版权归原作者所有,如有侵权,请联系删除。