最近在网上看到一篇「很有意思」的帖子,讲的是关于「牙结石」的事,牙结石不是洗的而是抠的,小编震惊了...看完这个表示这位妹纸太彪悍了但是大家千万不要学习,还是去正规医院去洗牙吧牙结石是用洗的,而不是抠的哦,损坏了牙齿,不划算啦!但是抠下来的瞬间整个人都神清气爽了。

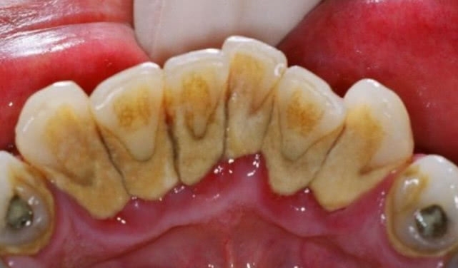
其实牙结石一开始只是口气里的细菌,经过几个小时后形成牙菌斑,因为你不好好刷牙,牙菌斑慢慢沉淀形成软垢,软垢大家应该见过,就是依附在牙齿上白白的、质地很软的东西,刷牙很容易刷掉,软垢如果不把它及时刷掉,慢慢的就会钙化变硬形成牙结石,这就是牙结石的来历。其实牙齿松动不一定都是年龄的关系,还跟牙结石有关系,如果牙结石比较多,18岁的你也同样可能面临牙齿松动。

牙结石发展过程:食物残渣牙菌斑/牙石(刺激牙龈)牙龈炎(炎症导致牙槽骨吸收)牙周炎牙齿松动晚期牙周炎拔除或自行脱落。想消灭牙结石?想减少牙结石的话,就要好好刷牙,最好用牙线漱口水等,从根源上减少牙菌斑的形成。如果牙结石已经形成,就要通过洗牙把它震碎喽!洗牙可以有效去除牙结石,同时可减轻牙龈炎、牙周炎的炎症状况。

其实有了牙结石不一定用手抠,1个土办法让它自动掉出来,那换个想法就是用红糖水或者是苏打水代替,这样也就是很好的避开味道的问题,而且效果可能还会更好。因为苏打水本身就具有非常厉害的去污以及美白功效,所以不妨一试。而红糖大家可能没有想到过还存在这样的效果,原因就在于红糖当中含有不少的烟酸,自然是除牙垢的完美配方。

如果想要防治牙结石的话,在日常饮食中应该加以注意。不应该吃一些甜食或者是比较黏腻的食物,这类食物会特别容易附着在牙齿表面,形成牙结石。我们平时可以吃一些富含粗纤维的一些食物用粗粮代替细粮。食物中的粗纤维通过咀嚼,可以有效的把牙齿表面的牙结石去除掉。而且为了牙齿的健康应该均衡饮食,防止因为饮食造成的牙是问题的发生。