近日,毓璜顶医院消化内科黄留业教授在国内领先开展3例超声内镜引导下弹簧圈置入联合组织胶栓塞术治疗伴自发分流的巨大胃底静脉曲张,为国内第4家可开展此技术的医院,填补了我省空白。
这3名巨大胃底静脉曲张(直径>3cm)患者陆续慕名就诊于毓璜顶医院消化内科,门静脉增强CTV显示均伴有自发性脾-肾分流或胃-肾分流,此类患者急性出血时出血量大、病情凶险,死亡率高达30%~53%。既往首选内镜下直接行组织胶栓塞治疗,但伴自发分流者组织胶可经分流道流至重要器官出现异位栓塞,导致病人肺、脑栓塞死亡。该科黄留业教授采用国际上最先进的超声内镜引导下弹簧圈置入联合组织胶栓塞术,仅30分钟即顺利完成手术,术后1天患者即恢复饮食,未出现任何并发症。
超声内镜引导下弹簧圈置入联合组织胶栓塞术先使用超声内镜识别胃底曲张静脉,选取曲张静脉内径最宽处,在超声内镜引导下经食管下段、膈肌角以19G穿刺针穿入曲张静脉,置入数枚略大于曲张静脉内径的弹簧圈,然后用“高糖-组织胶-高糖”三明治法于曲张静脉内注射组织胶,最后使用超声内镜确认曲张静脉血流信号消失。该技术可明显降低异位栓塞的风险,但需要手术者同时具有超声内镜及静脉曲张两个亚专业的熟练操作技巧,手术大出血风险极高,若有不慎即可导致术中患者死亡。
消化内镜手术按难易程度分为四级,其中难度最高的四级手术包括经十二指肠内镜下逆行胰胆管造影及治疗(ERCP)、内镜黏膜下剥离术(ESD)及超声内镜下手术(EUS),这三大技术被国内同行称为“3E技术”,是消化内镜手术最高水平的标志,黄留业教授是目前国内极少数全面掌握“3E技术”的消化内镜专家。
黄留业教授,现任毓璜顶医院院副院长、消化内科主任,主任医师,二级教授,山东大学及青岛大学博士生导师,享受国务院特殊津贴专家及山东省有突出贡献中青年专家,省级优秀*产党共**员。从医36年来,由于技术精湛,他2019年6月被评为“中华医学会消化内镜学分会委员”,是全国地市级医院同专业唯一一个;由于业绩突出,他2012年11月被评为“国家卫健委有突出贡献中青年专家”,是烟台市卫健委系统在职职工唯一一个;由于敬业奉献,他2015年4月被*共中**中央、国务院授予“全国劳动模范”。目前他兼任国家卫健委消化内镜诊疗技术项目专家组成员,中华医学会消化内镜学分会静脉曲张学组及超级微创协作组副组长,中国医师协会内镜医师分会常委、消化内镜专业委员会副主任委员,中国医师协会消化医师分会、胰腺病学分会委员,中国抗癌协会肿瘤内镜学分会委员,山东省医学会消化病学分会、消化内镜学分会副主任委员,山东省医师协会消化医师分会副主任委员,烟台市医学会消化病学分会及消化内镜学分会主任委员,烟台市医师协会常务副会长、消化医师分会及消化内镜医师分会主任委员。
该院消化内科近二十年来成功举办了十届“烟台国际消化内镜手术演示会”及六届“中华医学会消化内镜学分会学组年会”,是国内唯一承办过国家级消化内镜手术演示会的地市级医院科室。该科室综合实力国内领先,目前为全国地市级医院唯一一个中华医学会消化内镜专科医师培训中心,在全国35家参赛医院中以第二名的优异成绩荣获中国医师协会高级消化内镜医师培训基地,首批中国食管胃静脉曲张诊治规范基地,以全省卫生系统第三名的出色表现被评为全省消化专业至今唯一一个省级临床精品特色专科,首批省医药卫生重点专业,首批省临床重点专科,烟台市消化系统疾病唯一的临床医学研究中心,烟台市消化内镜质控中心。

黄留业教授正在进行内镜手术

1)胃镜检查发现胃底静脉曲张,直径约4cm,表面见白色血栓头。

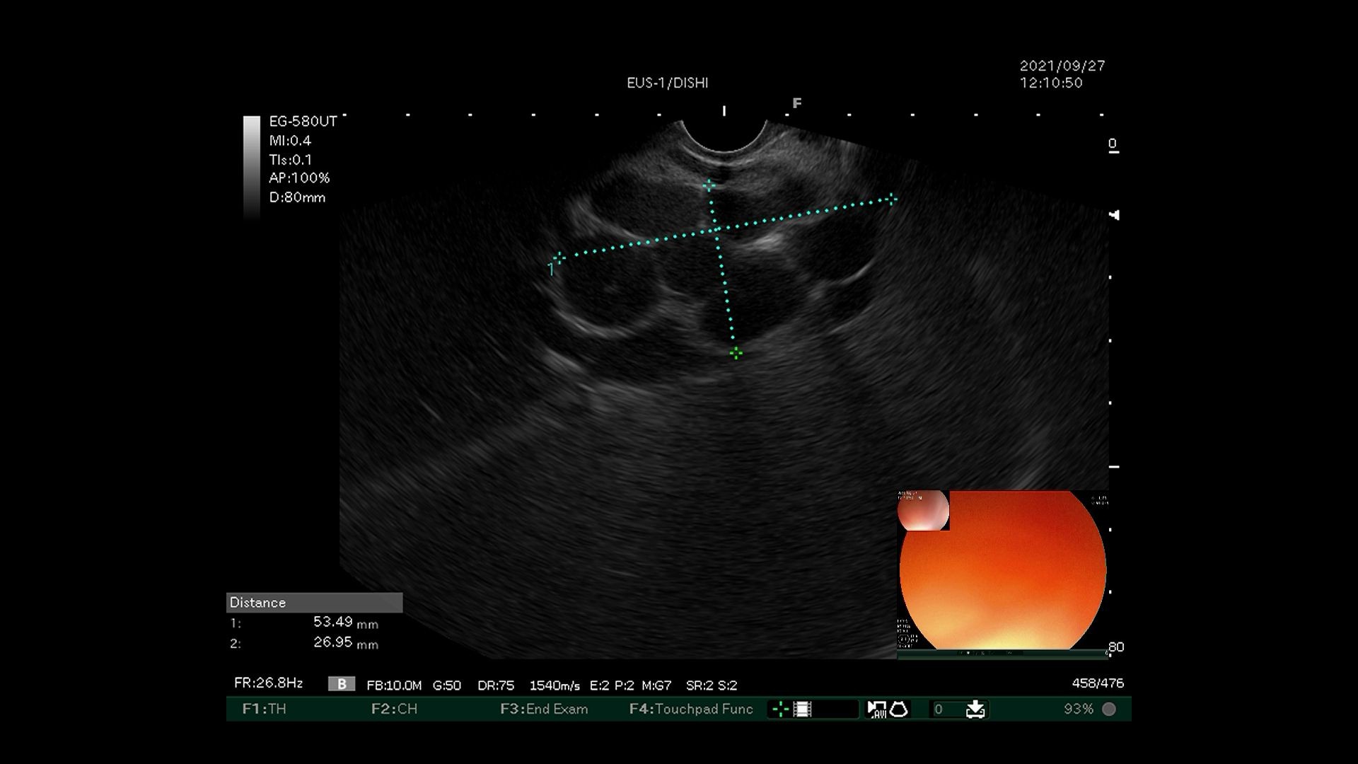
2)超声内镜探查食管下段近贲门处,发现曲张静脉并测量直径。

3)超声内镜下多普勒观察内部有丰富血流信号。

4)EUS引导下穿刺针进入内径最宽的曲张静脉置入弹簧圈。

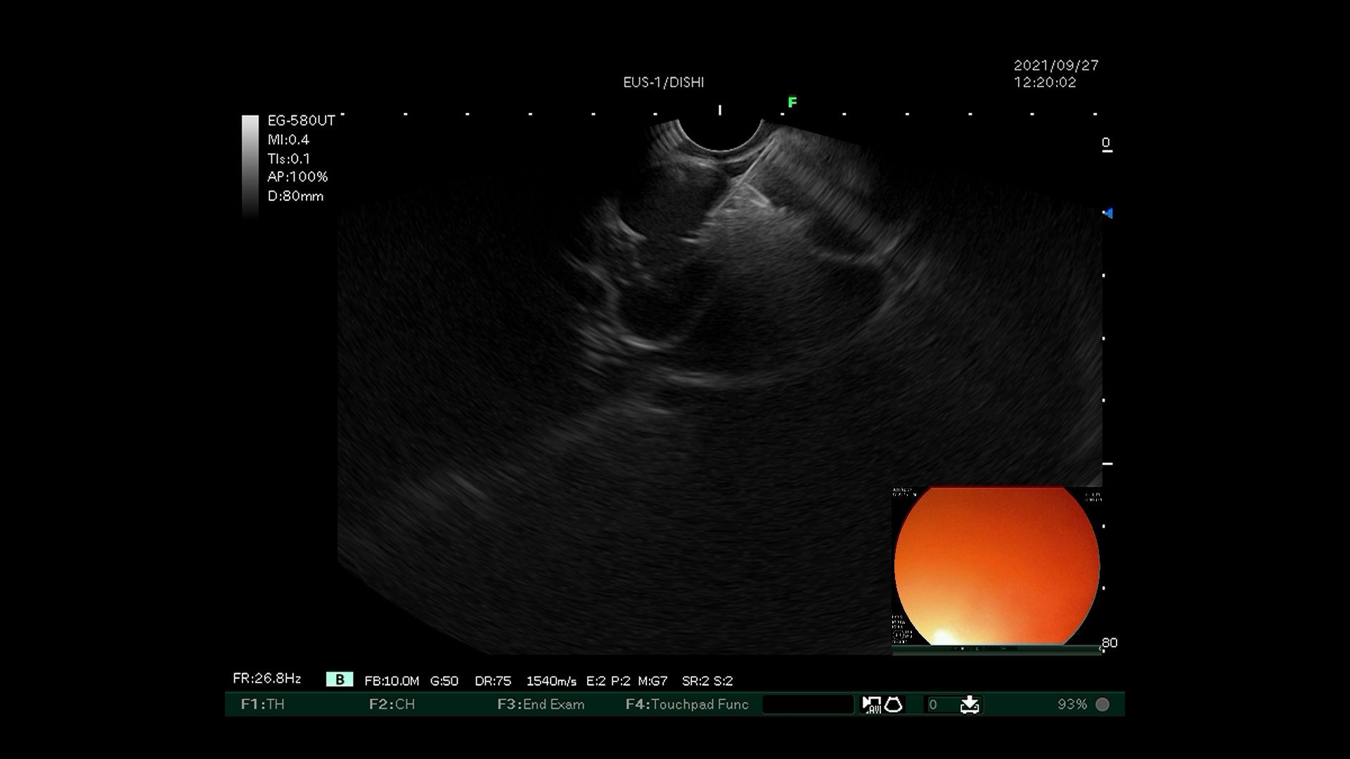
5)拔出针芯,三明治法行组织胶注射。

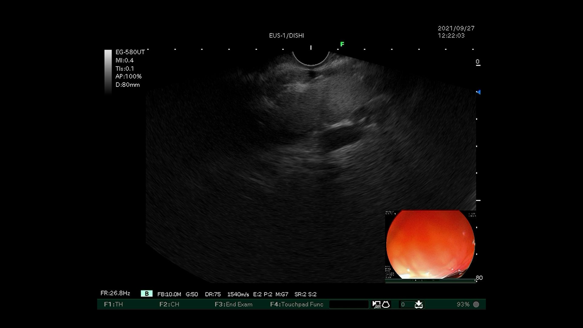
6)超声内镜确认曲张静脉血流信号消失。