两天前,68岁的李大爷做梦也没想到自己还能从医院走出来。李大爷的儿女们也很难想象,18天前入院时已经意识丧失、全身湿冷、命悬一线、曾徘徊在“鬼门关”的李大爷,如今已健如常人,奇迹般康复出院。
5月10日23:30
河南省胸科医院心血管外科十病区副主任(主持工作)肖长波突然接到来自郑州某医院急诊科的一通求救电话。
“患者2小时前突发晕厥,意识丧失,来院后血压极低,循环极不稳定,目前气管插管,呼吸机辅助呼吸,现患者双便*禁失**,可自主睁眼但指令不配合。已把影像资料给您发过去了,情况紧急,麻烦肖主任您看一下!”
“患者A型主动脉夹层动脉破裂合并急性心包填塞,病情极危,需尽快手术!”肖长波迅速查看资料后,当即确诊病情。

23:50
患者由120急救车紧急送至河南省胸科医院。
住院医师彭振宇、卢衍楠已在病房楼下等待患者,绿色通道紧急办理入院,迅速转入心外重症监护病房(CSICU)。患者入院时血压已降至43/35mmHg,心脏濒临停跳,意识丧失,全身湿冷,大小便*禁失**,已经处于休克状态!
急查血气乳酸6.5mmol/L且持续上升,心外与重症监护团队立刻展开抢救!
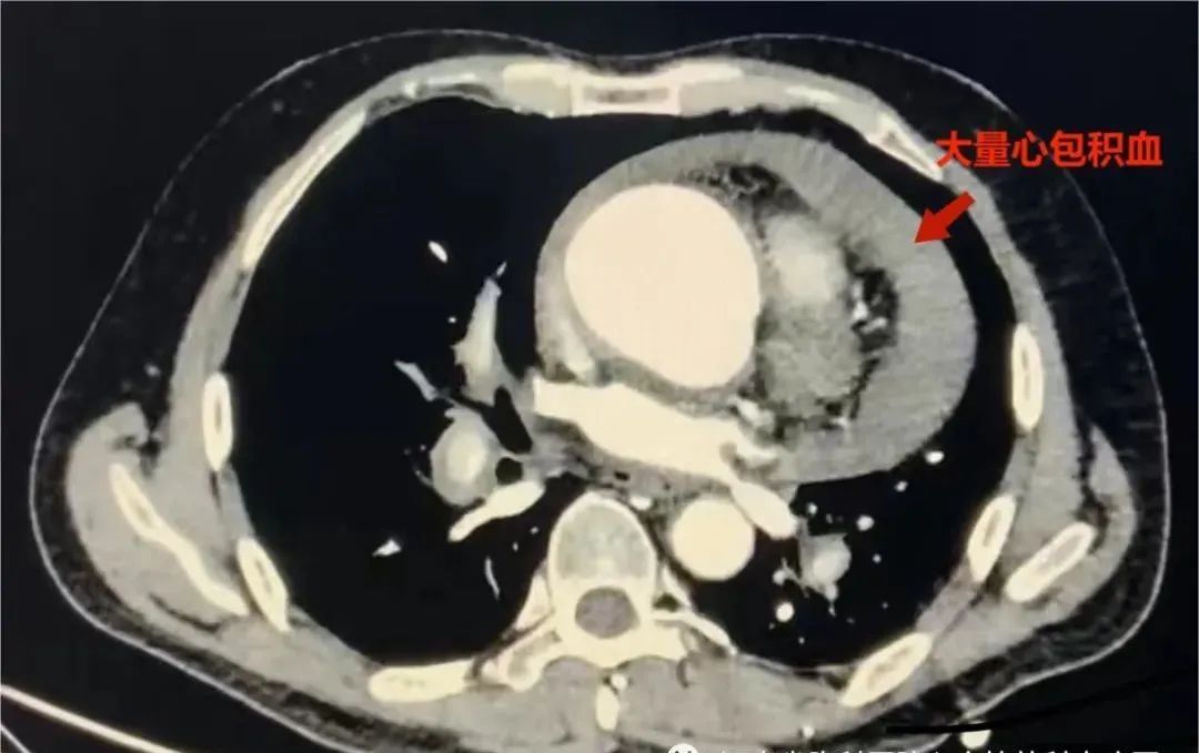
与此同时,副主任医师张亚飞与CSICU主治医师史博伦紧急床旁行心包穿刺术,放置心包引流管。
随着60ml暗红色血性引流液的流出,转机出现了!患者血压逐渐回升至81/56mmHg,心率升至104次/分,夹闭引流防止进一步破裂。

5月11日00:20
患者血压回升,意识恢复,对外界刺激有反应,在心外十团队、麻醉科蒋仁江医师监护下推送至手术室,立即行紧急手术!
00:35
时间紧迫,肖长波团队决定为患者紧急行生物瓣Bentall+右半弓置换术。
各项术前准备均已完善,手术即将开始。
急诊手术由肖长波主刀,张亚飞、彭振宇、卢衍楠担任助手。
手术开始后,制定股动脉插管,上下并行。张亚飞切股动脉建立动脉插管,同时肖长波开胸,动脉插管成功后,暴露患者心包腔,开一小口后可见暗红色血液涌出,约300ml积血,右房面可见10*6cm2大块血栓块。术中可见主动脉根部瘤改变,直径约65mm,升主动脉外径55mm,主动脉内膜破口位于右冠窦上方2cm,累计2/3周长,升主动脉中段左侧可见外膜破口,可见大量血栓覆盖。

07:20
经过近7小时彻夜奋战,这台急诊手术在手术部、麻醉科、体外循环科、心外科的紧密协作下,手术顺利结束。
术后,患者血压124/60mmHg,心率72次/分,术中出血量约600ml,平稳转至CSICU。
术后第四天,患者一切恢复顺利,转至普通病房进一步治疗,目前已康复出院。

肖长波说,患者长期高血压病,合并全身动脉粥样硬化,同时患有主动脉根部瘤,考虑患者是在主动脉根部瘤的基础上形成A型主动脉夹层,动脉破裂入心包形成急性心包填塞造成血压循环不稳定,急诊行心包穿刺,少量引流出心包积血,循环稍改善后再紧急手术,是李大爷在“命悬一线”的情形下能够活命的最佳治疗方案。
肖长波提醒,主动脉是人体最大的血液运输通道,由内膜、中膜以及外膜组成,除外先天性结缔组织病的患者,当患者合并肥胖、高血压、糖尿病以及高脂血症等危险因素时,主动脉内膜容易损伤,出现破口,压力极大的血流会冲破内膜破口,进入动脉中膜,一旦主动脉外膜破裂,患者会感到剧烈疼痛,会迅速引失血造成休克,通常夺人性命于瞬间。

A型主动脉夹层仍是最凶险的疾病之一,总体死亡率为73%,院前死亡率高达50%,48小时内死亡率为40%,若未有有效干预,每过1小时死亡率增加1-2%,对于无明显手术禁忌的患者,一经确诊应立即开通绿色通道紧急手术,手术成功率达90%。
肖长波强调,对于主动脉夹层的预防要在日常生活尽量避免情绪激动,避免熬夜,保持良好的生活方式及饮食习惯,对于中老年合并高血压、高血糖及高血脂的“三高”患者,要规律体检,并积极就医控制,预防主动脉夹层发生。
(河南省胸科医院 彭振宇 )