#了不起的中国医师# #磨玻璃结节# #生命摆渡人# #重庆头条# #肺结节[超话]#
还记得前两天分享的那位老烟枪朋友吧,今天他为母亲来咨询了。这是我经常会遇到的情况,家里一位得到了精准诊断后就会开始推荐家人朋友一同来找我问诊。这里我想谢谢各位的信任,是你们仅凭网络上的只言片语就对我如此看重,愿意对我的诊断无条件的认可,甚至不远万里远赴重庆求我诊疗。我相信“ 成事在理不在势,服人以诚不以言 ”,在未来的日子里,我会不负各位的期望,继续为大家奉献我的小小力量。
回到正题,这位朋友的妈妈刚刚做了左肺磨玻璃结节的切除,术后医生给出了明确的诊断和沟通(点赞)。对于这样的情况,根治率极高,不用过于担心,后期安心静养即可。
很多时候,在术后会因人的体质不同,有着差异化的术后反应,只要没有出现明显的疾病症状,那么只需要安心经验即可,毕竟“息精息气养精神,精养丹心气养身”。其次想说的是消融对于部分结节是没有明确效果的,具体的可以问询主治医生,他会给你明确的答案(相信每一位医生都是在为患者着想的)。
以下转自患者家属提问:
2022-09-07
尊敬的戴主任,抱歉占用您的个人时间,麻烦帮忙看看我母亲的肺结节吧,十分感谢。
患者情况: 63岁,女性,2022年7月因为胰腺炎住院体检,CT发现左肺上叶混杂磨玻璃密度结节影,范围约16mm,其内有空腔影,右肺有小于3mm的微小结节;
随即做了PET-CT,PET-CT结果为:左肺上叶最大截面18mm混杂磨玻璃结节,实性部分最大截面约10mm,其内支气管气相,病灶FDG代谢高,SUVmax为5.4。
2022年8月,住院后进行了左肺上叶切除术。
大病理结果为:中低分化鳞状细胞癌,大小为1.2cm,,肿瘤位于扩张的支气管腔内,未见支气管腔外浸润,未累及脏层胸膜,脉管内未见癌栓,吻合钉切缘未查见癌,周围肺组织内见较多淋巴细胞,组织细胞浸润,部分肺泡上皮增生;
周围淋巴状态:气管周围淋巴结0,5/6/7/10/11/12淋巴结0
出院诊断:左肺鳞癌 PT1N0MO I期
出院前胸外大夫沟通,后期不需要任何辅助治疗,定期检查,如果右肺结节增大了可以消融,实在是不放心,所以想咨询下戴主任
1. 右肺上的小结节是哪一种类型,如果真不好的话,消融可以吗?毕竟刚手术完,无法近期再手术。
2. 左肺的中低分化鳞癌,为了防止复发,是否需要进行术后的手术治疗。
希望能得到戴主任的回复,麻烦您了,十分感谢。
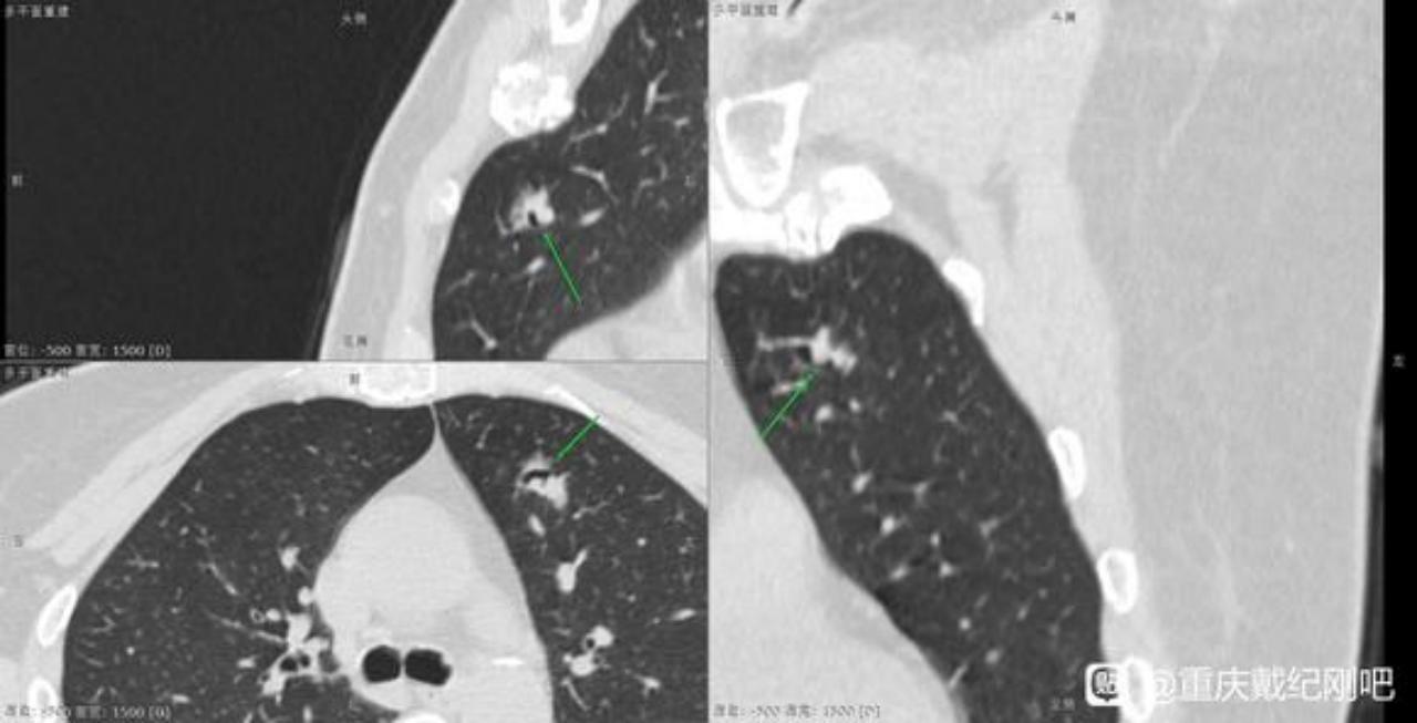
左肺上叶已切除的混杂磨玻璃密度结节影CT图像和诊断截图:



PET-CT的结果和截图:



已切除左肺上叶病理:


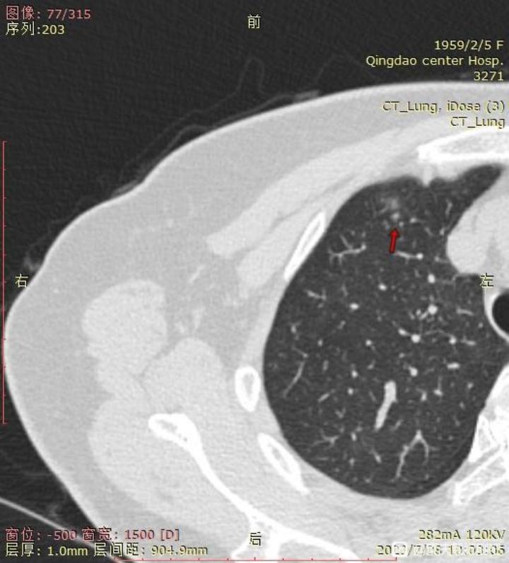
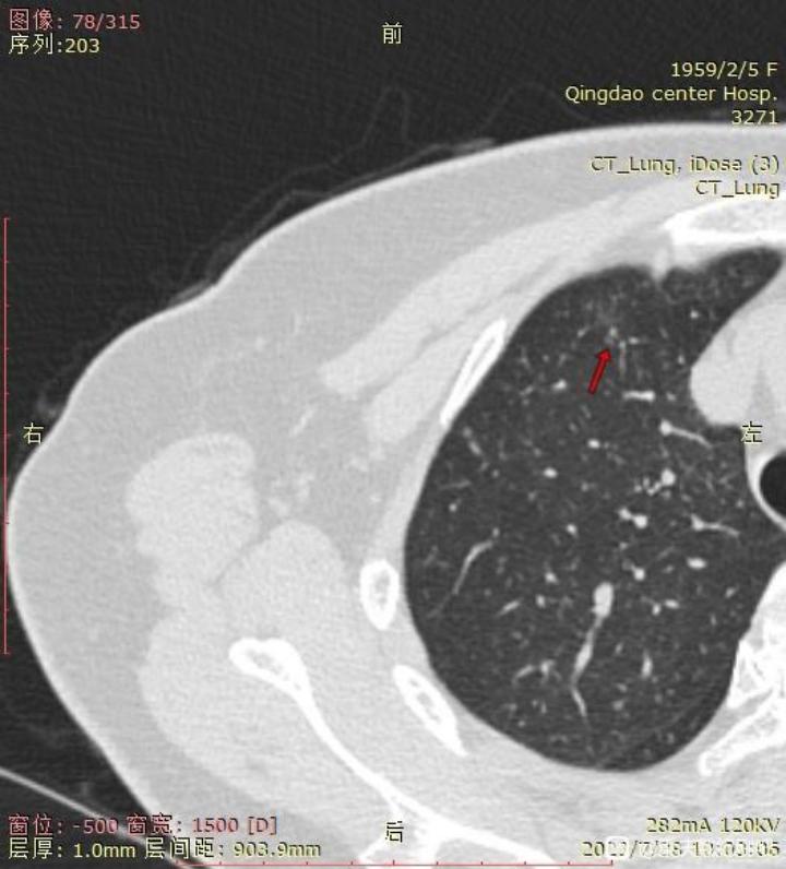
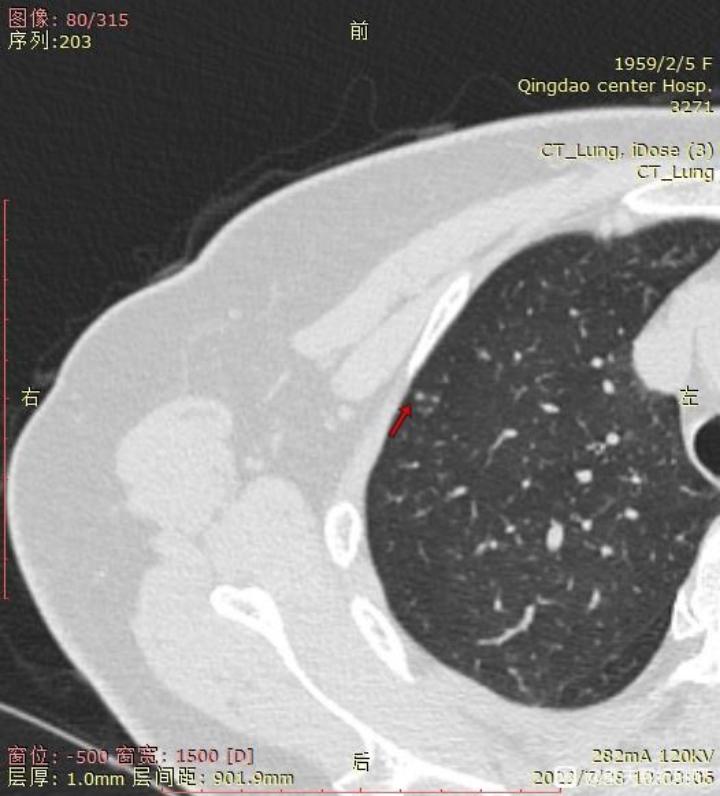
右肺未切除结节截图:



我的回复
右肺结节没啥事。左肺结节根治率85-90%.不需要后续治疗