随着医学科普的广泛进行,相信很多人都听说过多囊卵巢综合征,顾名思义,就是女性卵巢中长出了很多小囊泡,从而导致排卵出现障碍的一种疾病,是一种临床上比较常见的妇科内分泌疾病多起病于青春期。如果对比其他妇科疾病,这个疾病的发病率并不是很高。那什么样的症状才算是多囊卵巢综合征呢?有什么体征呢?这一期就给大家带来关于多囊卵巢综合征的相关知识科普。

多囊卵巢综合征患者的三大表现
1、肥胖
现代人的大众审美应该是“瘦美人”,很多女性也经常在健身房挥汗如雨,但可能体重并没有下降。有些姑娘抱怨自己平时 吃的 并不多,也会锻炼身体,但是体重还是年年增长,真的是喝水都会胖,慢慢地就变成了现在的“肥妹妹”。通常多囊卵巢综合征患者最突出的特点是外表不胖,体重指数不到23,但是腰围、腰臀比例超标。一般情况下,患者的腰围大于80厘米,腰臀比大于0.85。

2、多毛、*疮痤**
多囊卵巢综合征患者也会表现出多毛、*疮痤**等。多毛也就是体毛旺盛,比如眉毛浓厚、腋窝、身体中线部位、上唇、两臂、下肢、外阴、肛周的毛增多,或者是伴有面部、背部*疮痤**,这些都是体内雄激素过高的具体表现。还可能会出现黑棘皮,在阴唇、颈背部、腋下、乳房下和腹股沟等处皮肤皱褶部位出现灰褐色色素沉着,呈现出对称性,皮肤也会变厚,但摸着很柔软。

3、闭经或月经稀发
月经失调是多囊卵巢综合征患者的主要症状,经常表现为闭经,多为继发性闭经,也就是正常月经后6个月不来月经。有些患者则会表现为经期时间长,断断续续不干净,会持续10~20天。而有些患者会表现为月经周期延长,经常几个月来一次月经,也被称为“季经”。而正常的月经周期是在21~35天,月经经期在5~7天,月经量约为80毫升。

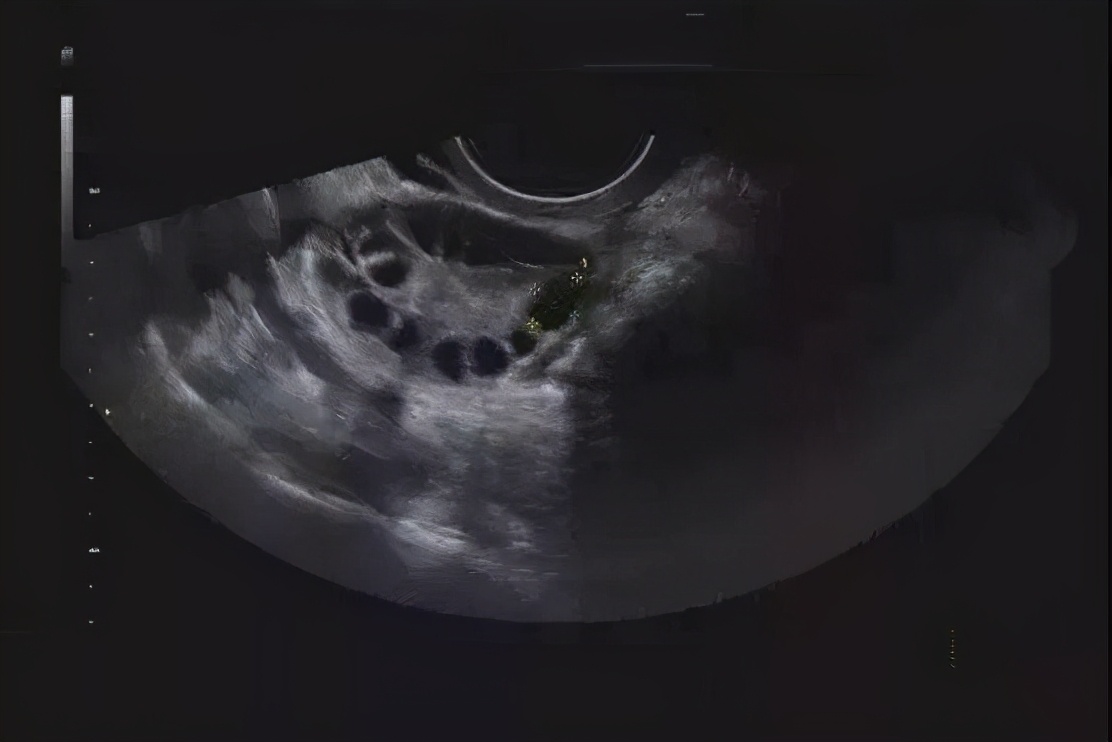
除了上面三种体征外,还有一个就是卵巢多囊样改变也即是多囊卵巢,是指卵巢体积增大,可以通过B超检查可以发现多个不成熟的直径2-9mm的卵泡 ≥12个,呈串珠状环绕在卵巢周围。但它和多囊卵巢综合征是不一样的,多囊卵巢是正常人、服用避孕药或者其他原因没有排卵的,是一种征象,而多囊卵巢综合征是一种疾病。
以下三项中符合两项即可诊断为多囊卵巢综合征:
1、有高雄表现(多毛、*疮痤**)或雄激素偏高。
2、不排卵或稀发排卵,表现为月经稀发,甚至闭经。
3、超声显示卵巢有多囊样改变。
最后,还要提醒各位青春期和育龄期的女性,千万不要忽视身体发出的警报,当身体出现异常,要及时去医院就诊排查,避免让身体受到更大伤害。
【图片源自网络,侵权删】