(声明:本文仅用于科普用途,为了保护患者隐私,以下内容里的相关信息已进行处理)
【基本信息】男,70岁
【疾病类型】右髌骨骨折,双下肢开放性伤口,高血压
【治疗医院】安徽医科大学附属巢湖医院(三甲)
【治疗方案】全麻双下肢清创缝合术+头孢类药抗感染+克拉霉素抗感染+对症处理
【治疗周期】住院24天,随访一年
【治疗效果】治疗后患者能够借助助行器行走。目前随访中。
一、初识患者
患者今年70岁,平素身体健康一般,患者经常到小区附近广场进行锻炼,如打太极、练武术。今天上午患者和家人出门散步,过马路时不幸被摩托车撞倒,当时患者感到双侧膝关节疼痛,不能动弹,左膝关节皮肤磨破并且出血,左踝关节内侧出现一条伤口,右膝右踝关节皮肤挫伤,当即不能行走,患者家属立即打电话叫救护车,入我院急诊科。询问患者基本情况,患有高血压,平时在服用降压药,行X片提示右髌骨骨折,于是急诊以“右髌骨骨折,双下肢开放伤”收住入院。

二、治疗过程
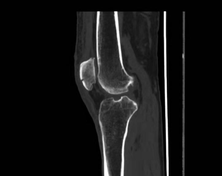
患者入院后,基于“右髌骨骨折”的考虑,进一步完善CT检查,心电图检查,超敏C反应蛋白测定,电解质测定,血常规,血凝以及血型检测,肝功和肾功等相关检查。这些检查的目的是为后续行手术治疗做准备。检查结果示患者右髌骨轻度骨折,髌上囊可见积液;窦性心律正常范围;超敏C反应蛋白增多,60.98mg/L,白细胞及中性粒细胞增多,血凝D二聚体2.11微克每升,总胆红素增多,直接胆红素增多。
基于上述检查结果,考虑患者右髌骨骨折,伴感染,结合患者具体疾病发生情况,可以临床诊断为右髌骨骨折,遂予以患者手术治疗,全麻双下肢清创缝合术,时长2~3小时。给予头孢类抗菌药及克拉霉素进行抗炎消菌,避免手术后感染,对皮肤破损及挫伤处用碘伏消毒,并涂抹抗炎乳膏,保持皮肤破损处清洁干燥。手术后给予患者补液治疗,维持身体稳态和手术后的身体虚弱。

经过治疗后,患者伤口愈合,身体逐渐恢复,顺利出院,并嘱托其出院后避免负重,可进行轻微双下肢关节活动,定时回骨科复查,并积极进行生活管理。
三、患者在治疗中注意事项
1、术后第1天,抬高患肢,可行患肢的肌肉舒缩练习和跖趾关节、趾间关节的跖屈、背伸,但严禁患足背伸。
2、患者皮肤挫伤处禁止沾水,应时刻保持创面干燥,按时换药,避免伤口感染
3、疼痛剧烈时告知医生,医生会判断是否需要使用止痛药,或使用效用更强的止痛药。
4、患者手术后应注意饮食清淡,多吃含钙食物,如牛奶、豆制品。尽量患者不要饮酒不要吸烟,不要服用辛辣的食物。

四、患者的治疗效果
经住院治疗24天,患者双膝伤口愈合良好,右踝以及左跟部伤口已拆线,但伤口仍未完全愈合,需定期换药。双足趾感觉运动良好,末梢血运正常。复查X片提示髌骨对线良好,血常规检查已恢复正常。对患者进行日常生活活动评定,患者大部分日常生活活动可以自理,遂予以出院。
五、患者在日常生活中的注意事项
1、合理膳食,多吃含钙的食物,多吃水果蔬菜,平时多饮水。
2、在家人的指导下适当进行关节活动以及步行锻炼,避免过度劳累,注意防止患者摔倒。
3、积极参与健康宣教,了解疾病知识,提高治疗依从性,避免自行调整治疗方案。

六、医生感悟
髌骨骨折是较常见的损伤,其为不慎跌倒或外力撞击导致以髌骨局部肿胀、疼痛、伴膝关节自主屈伸受限,皮下出现瘀斑以及皮肤擦伤的骨折。
本次就诊的患者就是由于外力导致髌骨骨折,经过我院治疗以及患者自身积极配合,患者恢复良好。髌骨骨折患者及其家属应对髌骨骨折的术前及术后有一定的了解,这样才能促进患者康复。手术前医生应和患者及其家属进行积极沟通,让病人掌握相关信息,术前教会患者正确的卧位,抬高患肢,使患肢高于心脏,避免水肿,教会患者正确的翻身姿势,指导患者进行床上大小便训练以及肢体功能训练。手术后患肢应置于功能位,膝下垫一软枕,高于心脏,利于静脉回流,禁止膝盖外旋。
麻醉作用消失后疼痛是正常的,此时患者家属可按摩周围组织以减轻疼痛,尽量不吃止疼药。患者早期疼痛消失后应进行肌肉康复训练,髌骨被动活动,防止髌面与关节面粘连。去除内固定后进行膝关节屈伸训练,关节活动度训练。
患者出院后应注意膳食均衡,加强营养,戒烟酒。保持愉快的心情,劳逸适度,继续进行患肢功能训练。患者及家属了解了这些,术后恢复会事半功倍,早日回归正常生活。
姓名:代儒
单位:安徽医科大学附属巢湖医院
科室:骨科
职称:主治医师