肱骨小头骨折
肱骨小头骨折临床比较少见,好发于青少年,其中以12~17岁之间占大多数。
1
肱骨小头冠状面骨折
(一)完全骨折
本病亦称哈-斯(Hahn-Steinthal)型骨折
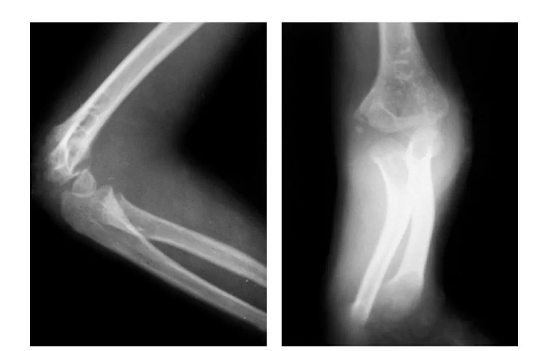
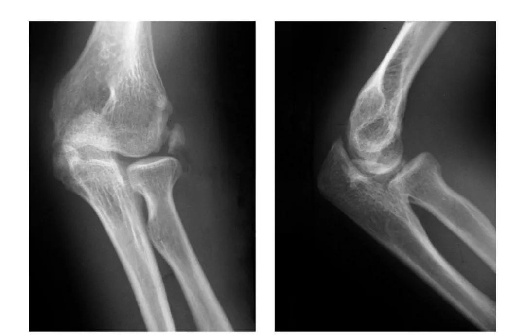
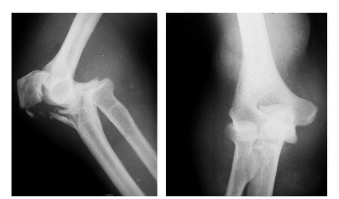
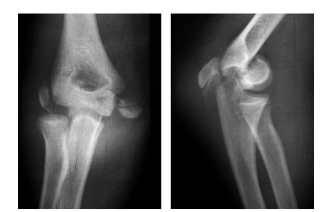
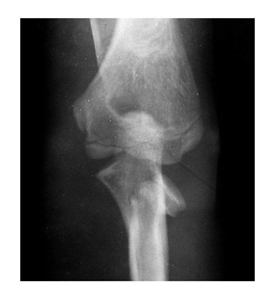
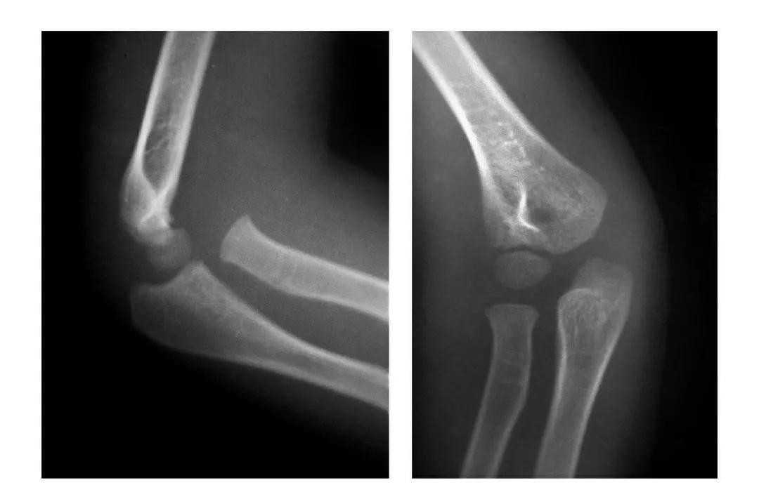
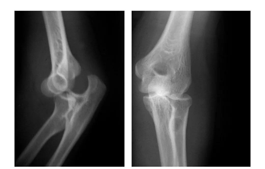
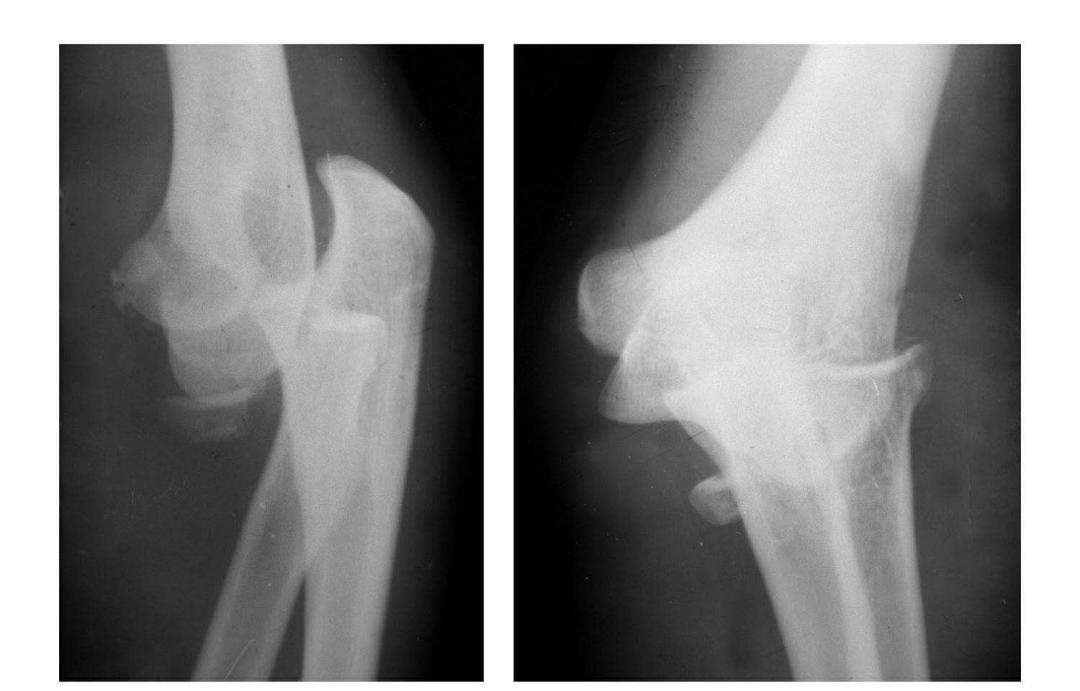
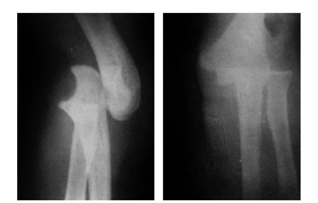
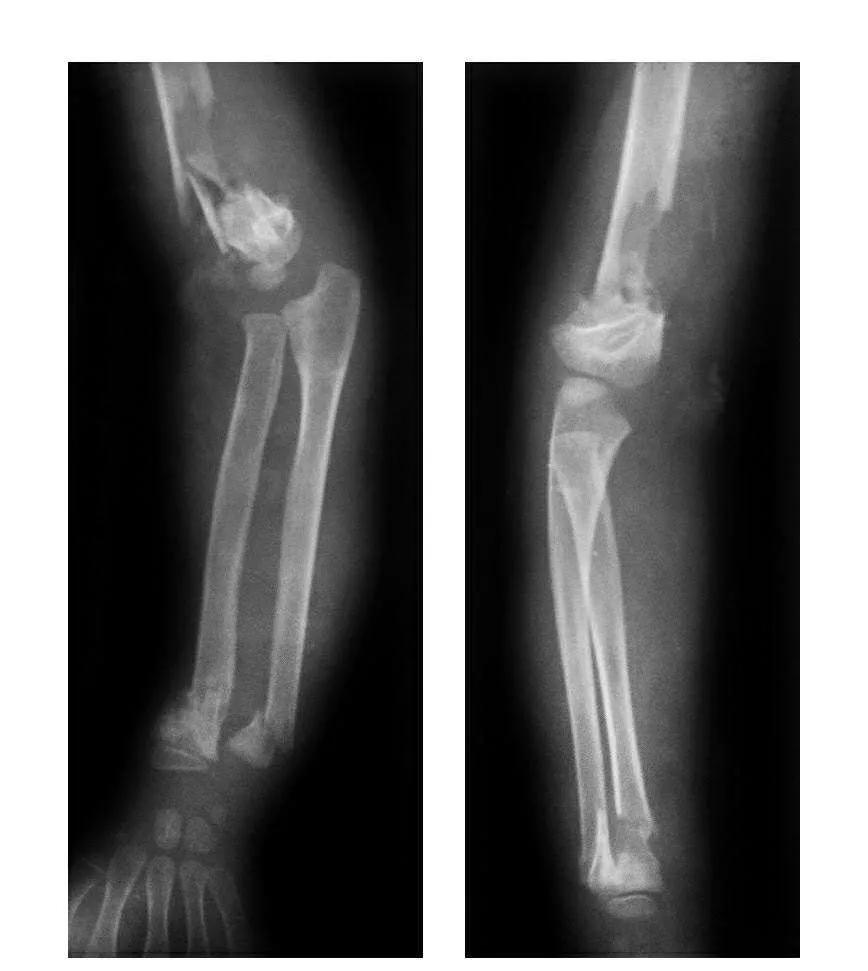
例1:肱骨小头基底部呈冠状面骨折,骨折块呈半球状向肘前上方移位。

例2:肱骨小头基底部冠状面骨折,骨折块呈半球状向肘前移位并肱骨内上髁无移位骨折。

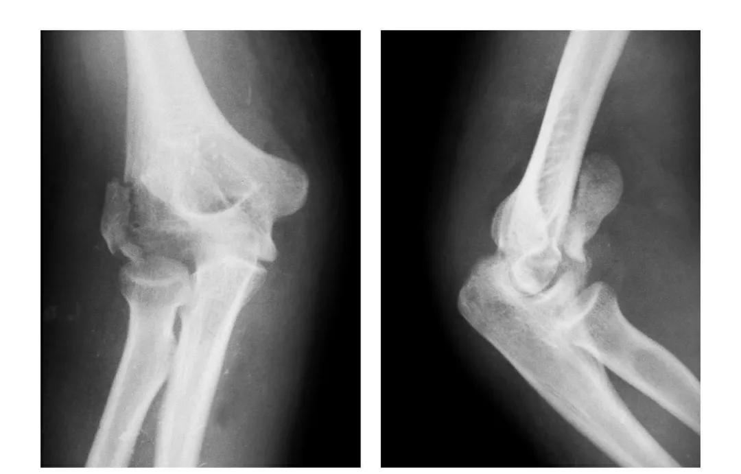
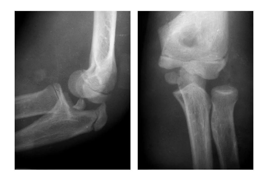
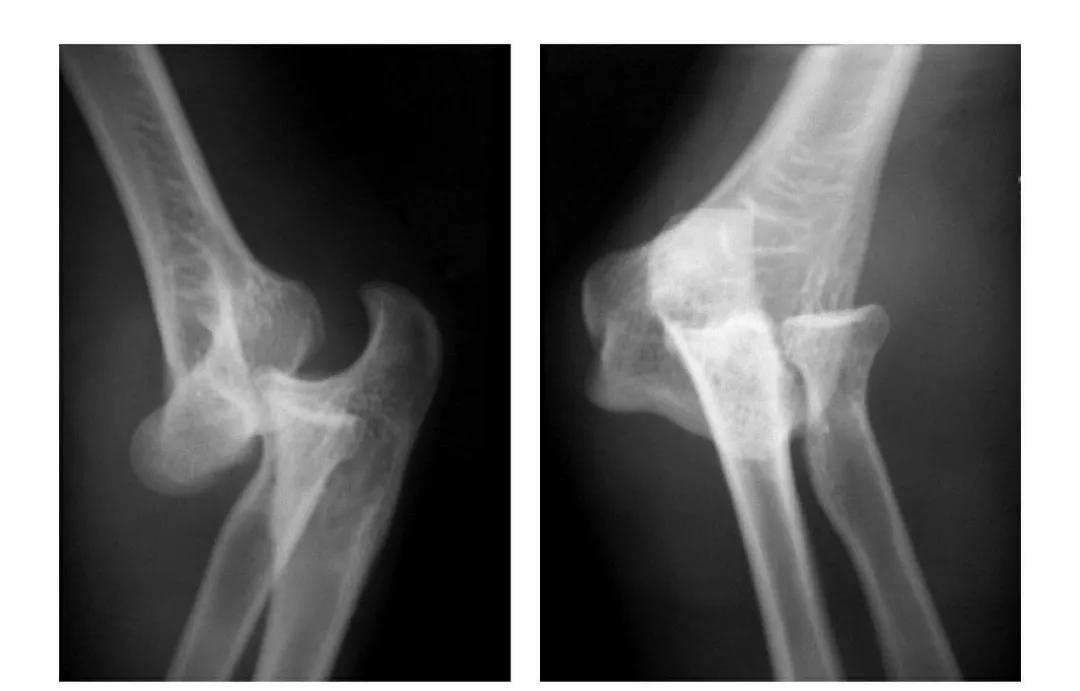
例3:肱骨小头及滑车桡侧壁前半部呈整体性冠状面骨折,骨折块向前上移位并外髁骨折。

(二)部分骨折
本病亦称科-洛(Kocher-Lorenz)型骨折
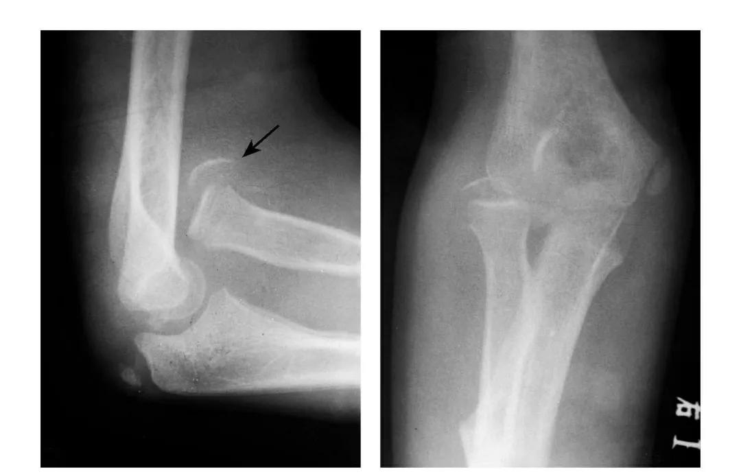
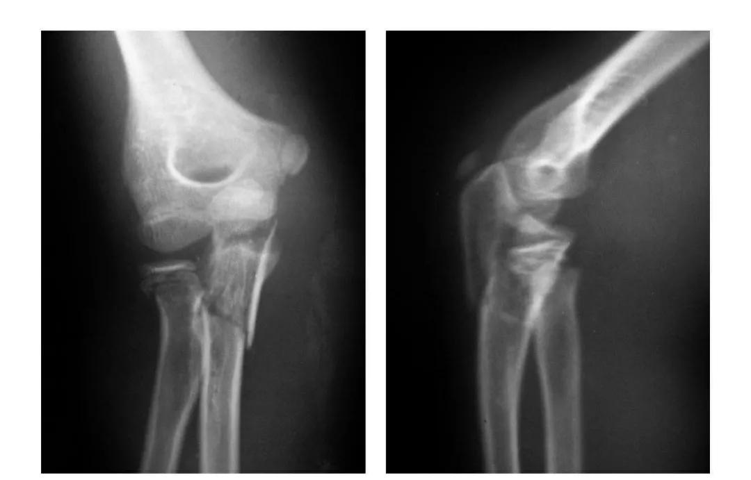
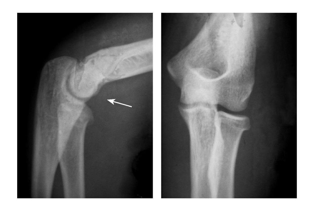
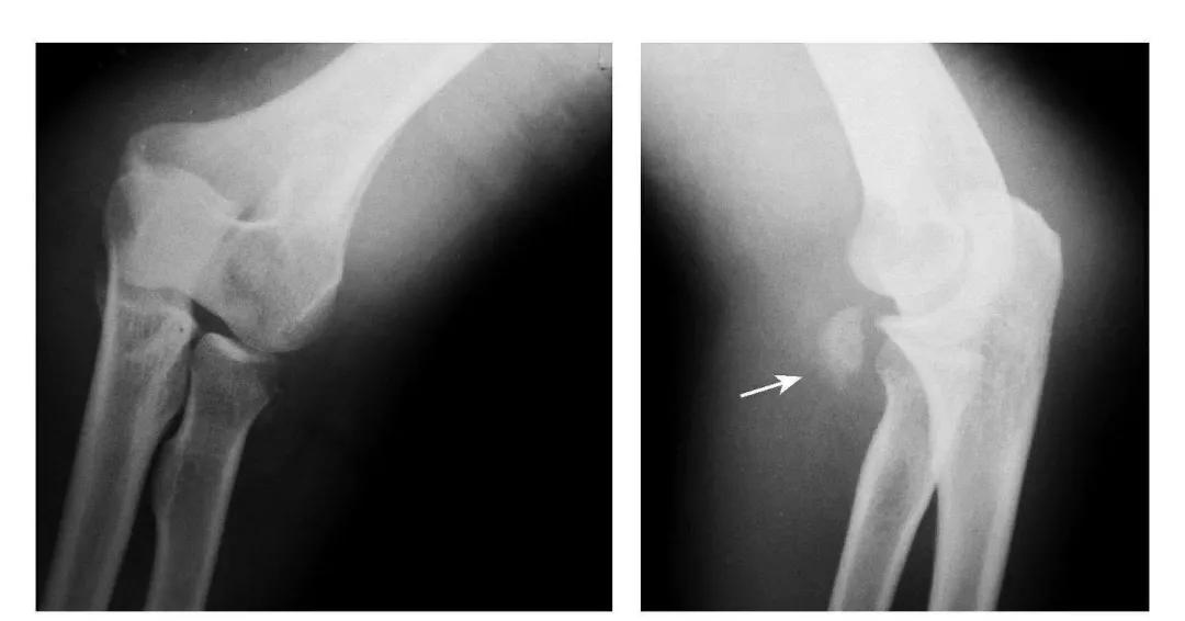
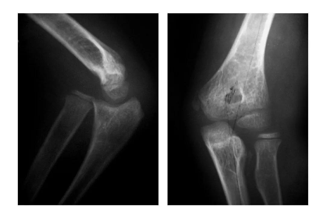
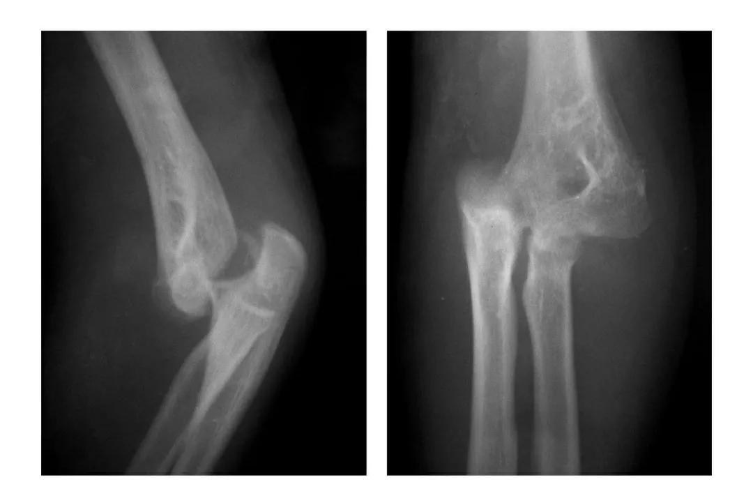
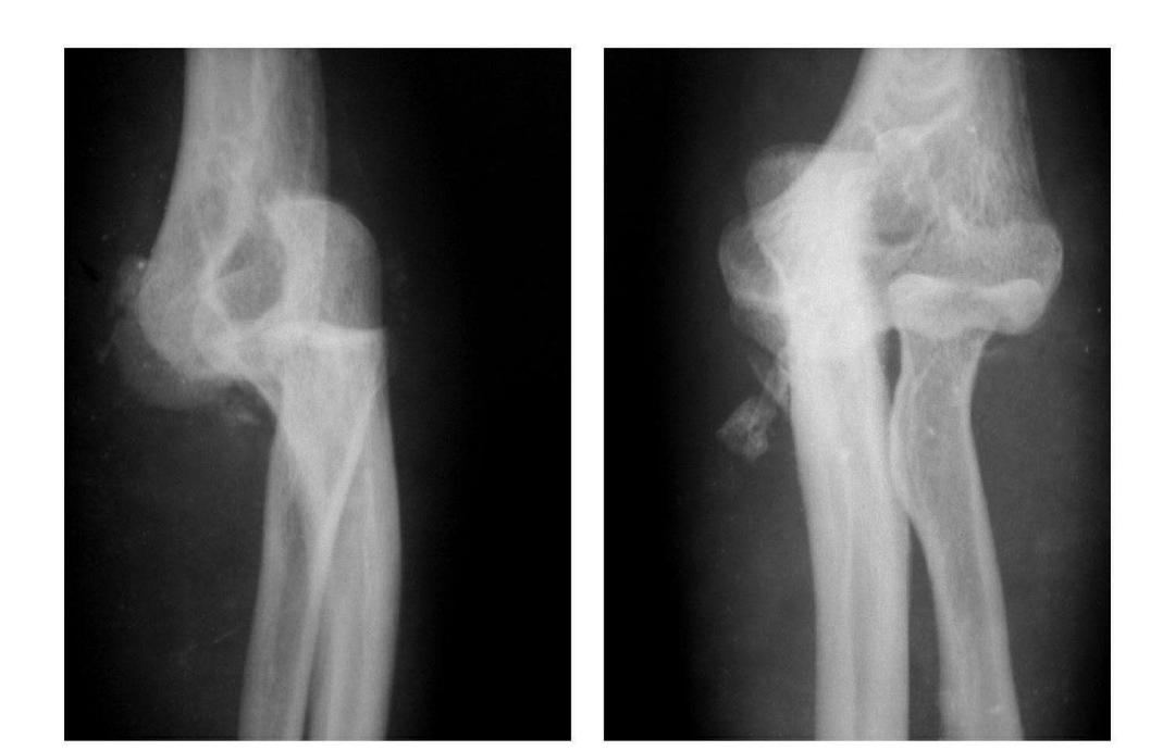
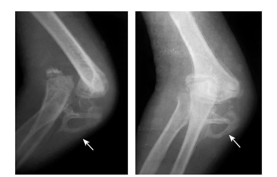
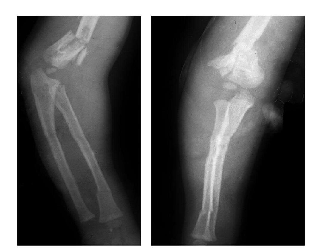
例1:肱骨小头软骨面及其下方少量骨质呈“新月样”被剥脱,且向肘前上方移位并桡骨头前半部骨折。

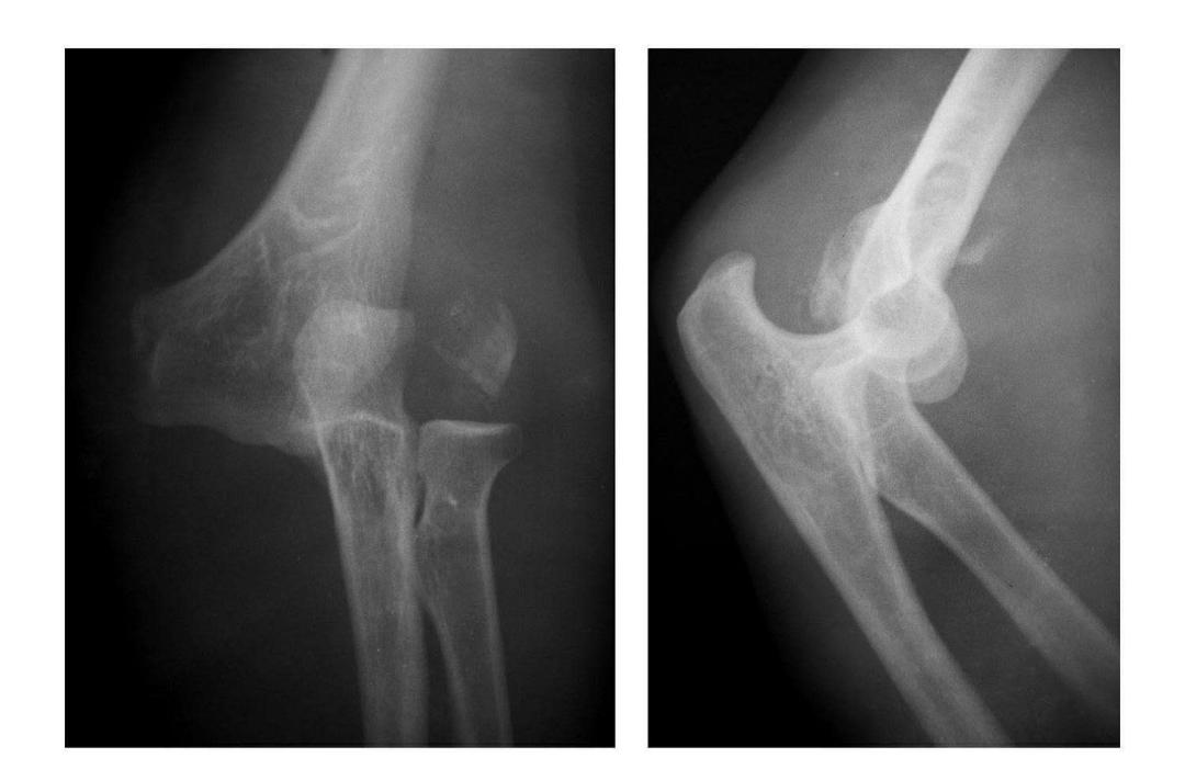
例2:肱骨小头软骨面剥脱性骨折,致该小头新月状骨片被向前脱位的桡骨头顶向肘关节前上方,并尺骨干中段骨折(孟氏伸展型骨折)。

2
肱骨小头矢状面骨折
本病文献未见报道,即肱骨小头中部呈前后(矢状面)纵向骨折,将小头分为内外两部分。
本病因有明显的外伤史,即健侧小头正常,从而排除了先天因素。
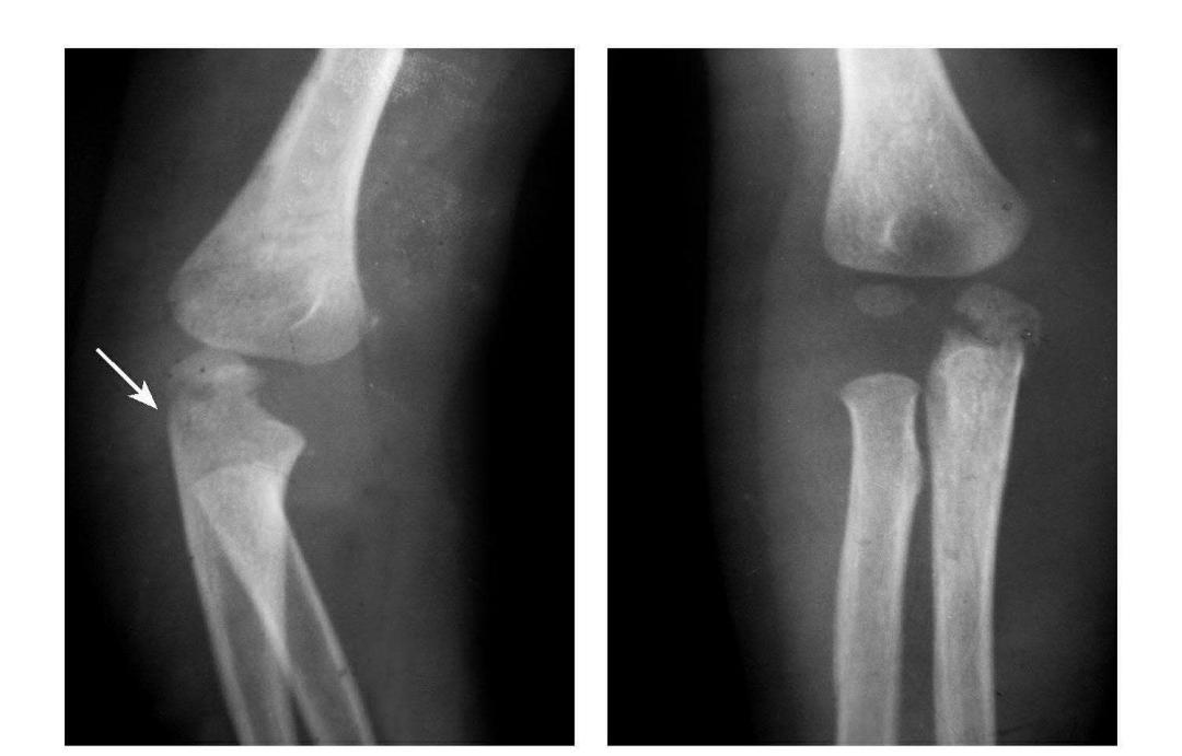
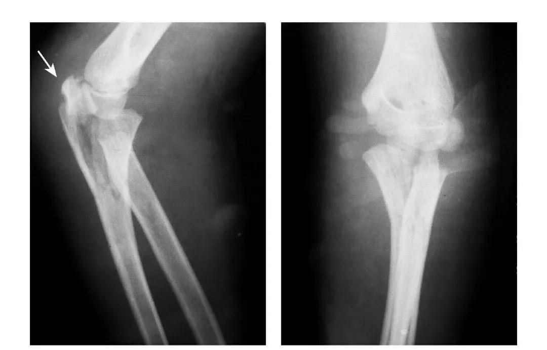
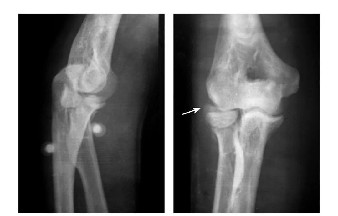
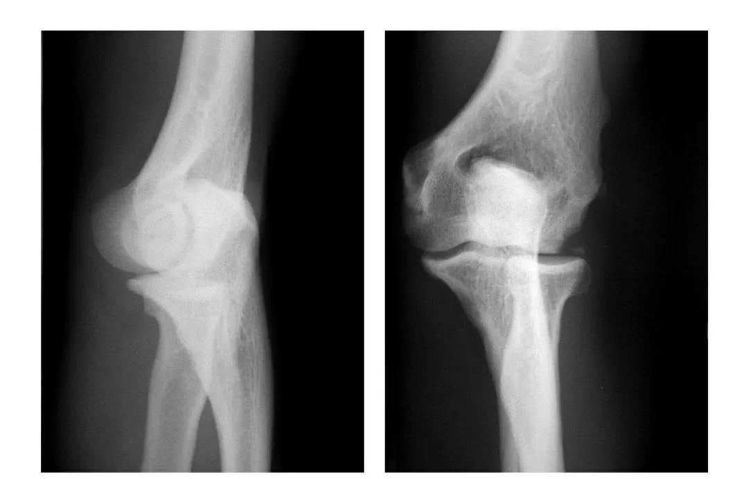
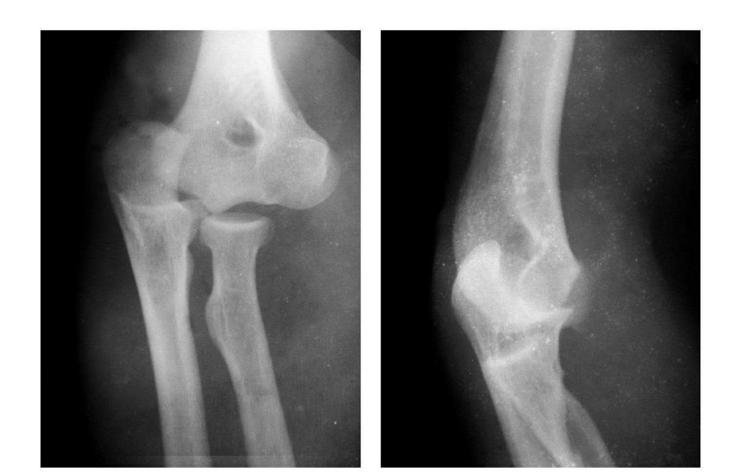
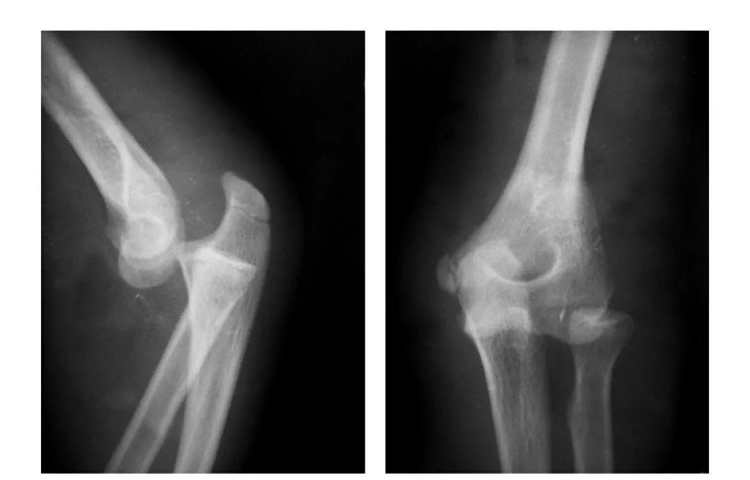
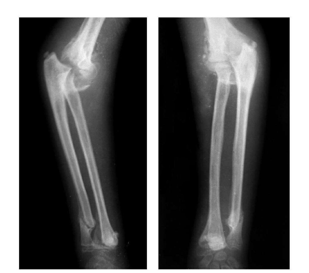
例:肱骨小头矢状面骨折,折线波及外髁皮质骨折片,并鹰嘴突无移位骨折。

5
肱骨小头骨骺滑脱
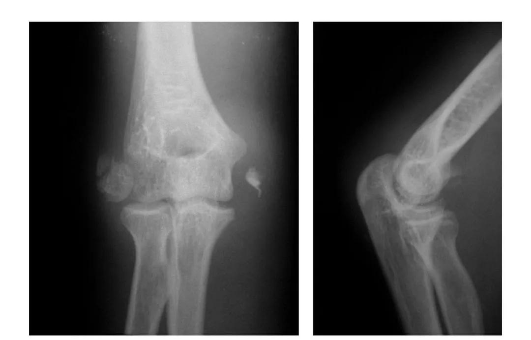
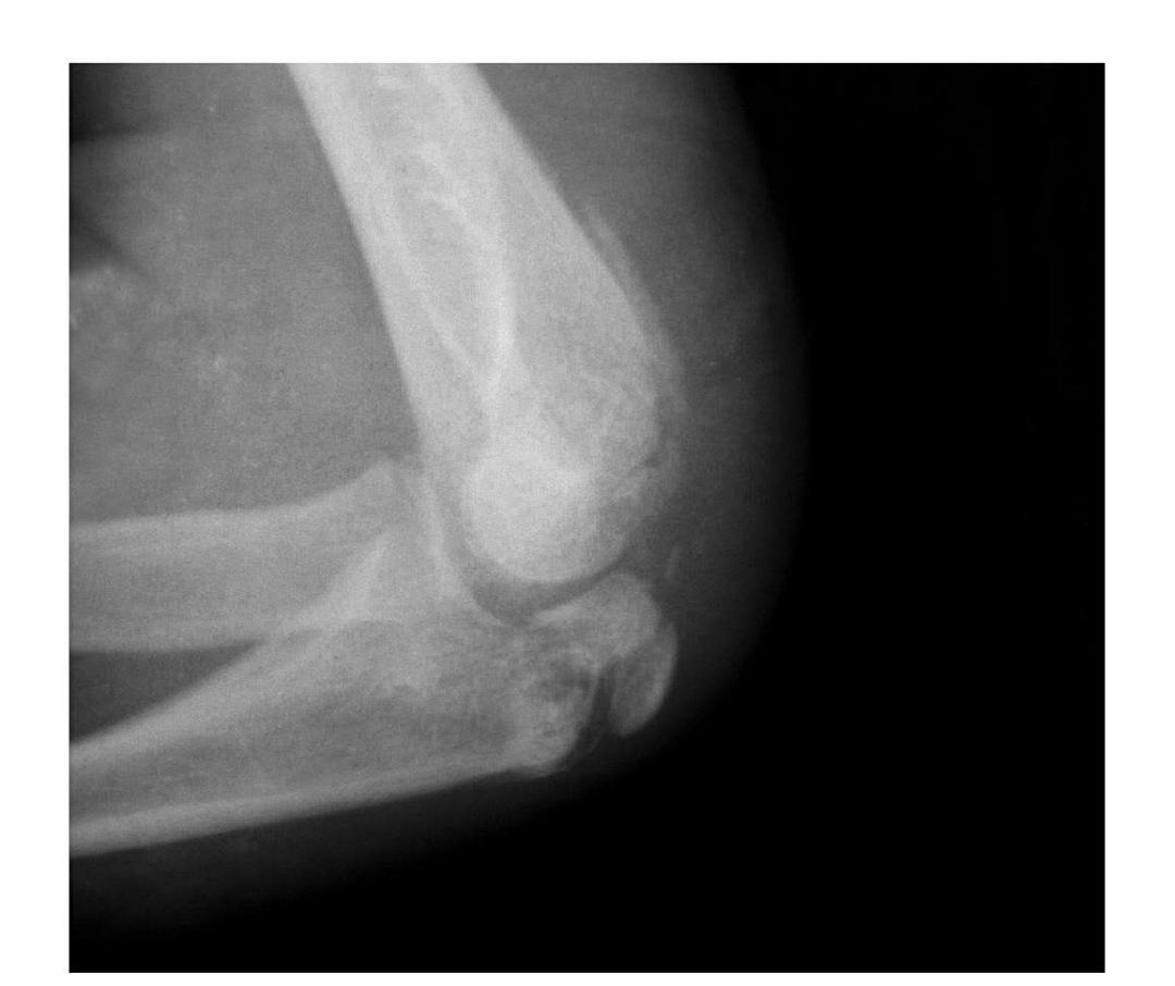
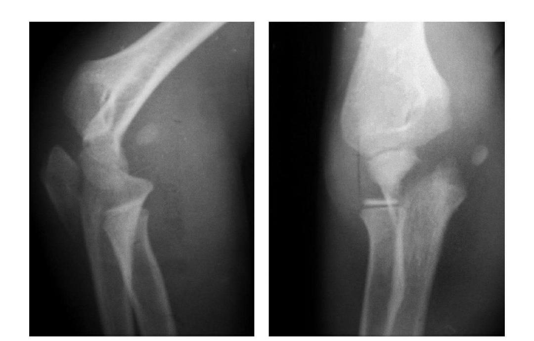
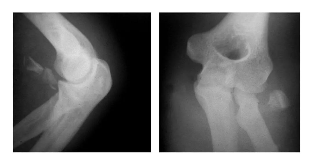
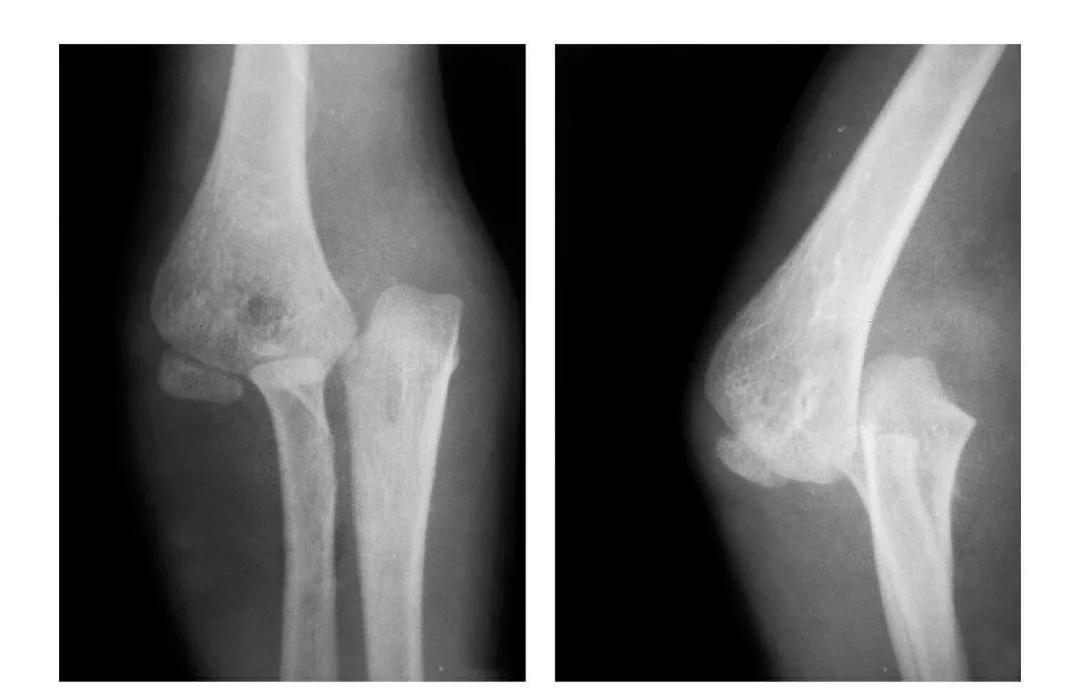
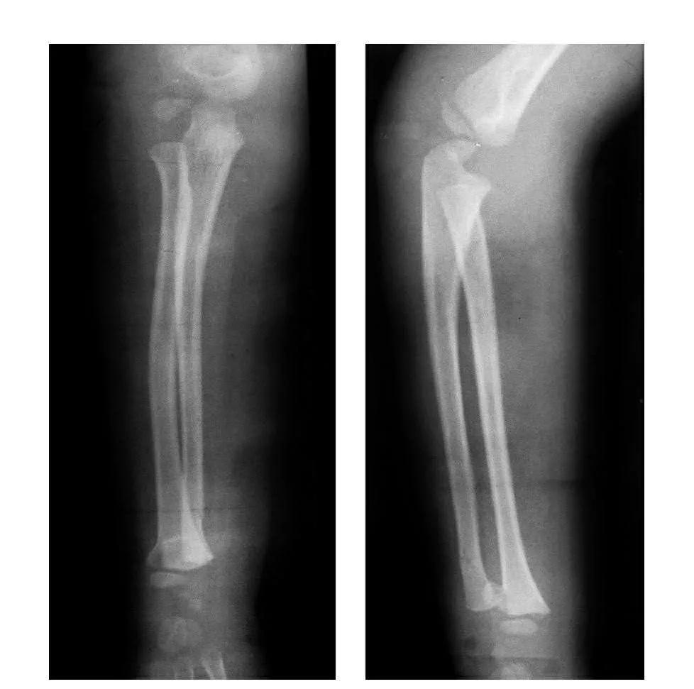
例:肱骨小头骨骺向外移位并呈倾斜状。

02
肱骨下端双髁骨折
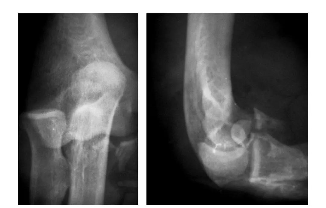
例1:肱骨内髁及外髁骨折,该两髁骨块均呈向内、外翻转移位。

例2:肱骨内上髁Ⅲ度骨折并外上髁撕脱骨折。

例3:肱骨内上髁Ⅳ度骨折并外上髁撕脱骨折。

03
尺骨近端骨折
1
尺骨鹰嘴骨折
例1:儿童鹰嘴突无移位骨折。

例2:成人鹰嘴突骨折。

例3:尺骨鹰嘴根部骨折并肘关节前脱位。

例4:尺骨鹰嘴劈裂骨折并桡骨头骨骺向后滑脱。

例5:尺骨鹰嘴劈裂骨折并桡骨头骨骺滑脱致该骨块向后上翻转移位。

例6:尺骨鹰嘴劈裂骨折并肱骨内上髁撕脱骨折。

2
肘过伸应力综合征
例:①鹰嘴突劈裂骨折;②肱骨小头及滑车基底部骨折且整体前移;③肱骨内上髁Ⅱ型骨折;④肱骨外髁Ⅱ型骨折。

3
尺骨冠状突骨折
例1:尺骨冠状突撕脱骨折,骨块移向肘前上方。

例2:尺骨冠状突基底骨折,致肘关节不稳,当伸肘位时,肘关节易呈后脱位状。

例3:尺骨冠状突基底部劈裂性骨折,骨块向前外移位并上尺桡关节分离。

04
桡骨上端骨折
1
桡骨颈骨折(歪戴帽)
本病即桡骨小头骨折后关节面向外呈不同程度的倾斜。
例1:桡骨颈骨折后关节面向外倾斜50°。

例2:桡骨颈骨折后关节面向前外方呈130°倾斜移位。

2
桡骨头骨折
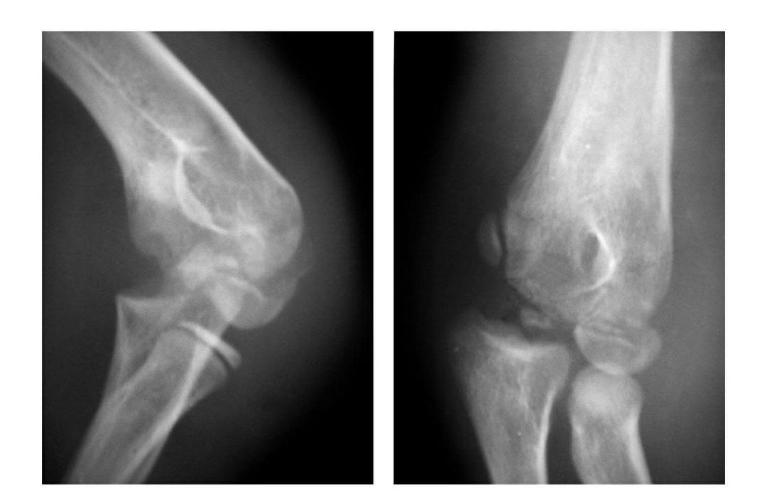
例1:桡骨小头前外侧缘骨折,骨块向肘前移位。

例2:桡骨小头矢状面骨折,折块呈上下翻转倒置分离。

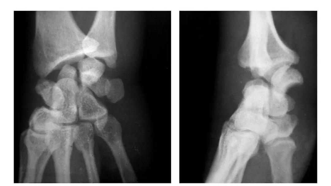
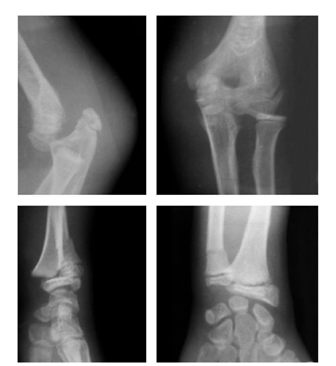
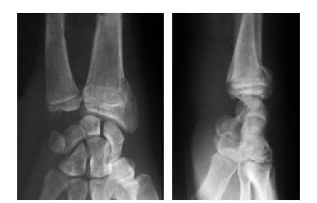
例3:艾-鲁(Essex-Lopresti)二氏骨折并腕骨骨折:即桡骨头骨折,骨块移向肘前及同侧下尺桡关节脱位并腕经舟骨月骨周围性腕骨背侧脱位。


3
桡骨小头脱位
例1:桡骨小头前脱位。

例2:桡骨小头前外侧脱位。

05
肘关节脱位与骨折脱位
1
肘关节后脱位
例1:肘关节过伸性半脱位。

例2:肘关节过伸性半脱位并肱骨小头外缘骨折。

例3:肘关节后侧脱位。

例4:肘关节后外侧脱位。

例5:肘关节后内侧脱位合并滑车后缘骨折。

例6:肘关节后外侧脱位合并外髁劈裂骨折。

例7:肘关节后外侧脱位并桡骨头劈裂骨折,致肱骨小头将桡骨头骨块推向肘关节内前侧。

例8:肘关节后侧脱位并桡骨头外侧关节面骨折与尺骨冠状突骨折,致该骨块移向肘关节内下方。

2
肘关节内侧脱位
例:肘关节内侧脱位。

3
肘关节前脱位
由于肘关节骨性结构的特点,所以常在尺骨鹰嘴骨折后始能出现肘关节前脱位(见尺骨鹰嘴骨折例3),下面介绍2种罕见的肘关节前脱位。
(一)肘关节回旋性前脱位
例1:肘关节内侧回旋性前脱位。

例2:肘关节外侧回旋性前脱位。

(二)陈旧性肘关节囊远侧撕脱性前脱位
例:肘关节囊远侧撕脱性全脱位:本例系幼儿发生肘关节前脱位时,而附丽于尺骨鹰嘴上的关节囊及其周边软骨被撕脱,后期软骨钙化形成三角形骨化影,且尺骨近端呈光秃状。

4
肘关节爆裂性脱位
本病亦称三关节脱位。
例1:肘关节内外型爆裂性脱位(即肘关节后脱位并上尺桡关节向内外侧分离)。

例2:肘关节前后型爆裂性脱位(即桡骨脱向肘前上,尺骨脱向肘后上)。

例3:其主要病变同例1并同侧桡骨远端骨骺滑脱。

5
肘关节习惯性脱位
例1:肱骨滑车及尺骨冠状突发育不全,致肘关节不稳而呈习惯性脱位。

例2:尺桡骨近端发育不全,致肘关节不稳而呈习惯性脱位。

06
木工肘
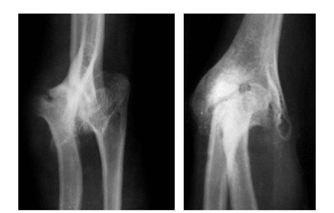
例:青年时从事木工业,后出现右肘经常性疼痛,劳动时加重,且患肘伸屈功能部分受限。
患肘骨质增生硬化,尺骨冠状突因过度增生致半月切迹呈半圆形,鹰嘴窝内存留碎骨块,且尺桡二骨发生适应性皮质增厚。

07
肘部损伤合并同侧前臂远端骨折
例1:肱骨髁上伸展型骨折并科勒斯骨折。


例2:肱骨髁上伸展型骨折并尺桡骨远端骨折。

例3:肱骨髁上屈曲型骨折并桡骨远端骨骺滑脱。

例4:肱骨髁上骨折并桡骨下端骨折。

例5:陈旧性肘关节后脱位合并桡骨远端骨骺滑脱及尺骨下段骨折。

例6:肱骨外髁骨折合并桡骨远端骨骺滑脱并尺骨下段骨折。

来源:骨今中外
【版权声明】本平台属公益学习平台,转载系出于传递更多学习信息之目的,且已标明作者和出处,如不希望被传播的老师可与我们联系删除