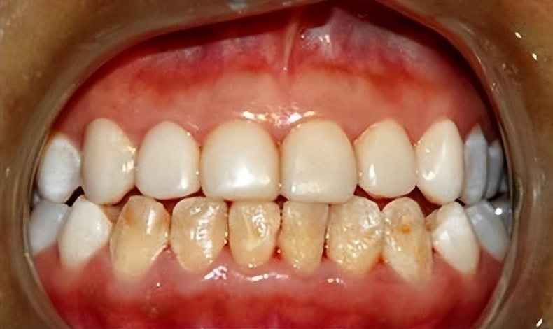
我对于牙齿清洁不太重视,再加上刷牙的手法不对,时间长了牙齿就变的很黄,而且随着时间变化口气也难闻了,看起来就是又难看然后口气还难闻,一张嘴讲话就是一股子的味儿!

我当时确实很慌,赶紧在网上找了一些看起来有效果白牙的牙膏牙粉用,期待我的牙齿变白,虽然最后结果确实把牙刷白了,但是却花了好几个月的时间,为了不让大家像我一样走弯路,我今天就把我的经验和自用的好物分享出来,希望能帮到你们!

1、欧丹锦牙粉:牙粉看起来很细腻不飞粉,感觉还蛮方便用的,我都是用牙刷直接沾着刷牙,刚入口就是淡淡的柠檬薄荷香味,根本不辣嘴巴,刷过牙后嘴巴还有淡淡的留香!口气也变淡了很多!

我用了一个月,觉得自己的牙齿好像真白了一点,化妆的时候感觉牙齿也没之前那么突兀了,而且口气也变的好闻了,看到了效果我赶紧给我多复购了几盒,打算长期来用,如此又用了一个月的时间,牙齿基本都已经全部刷白了,现在也一直在用这个,效果一直很好!

2、小苏打牙膏:用的时候感觉味道还挺淡的,用起来没啥刺激的味道,还挺温和,泡沫也很多,然后用了有一周我感觉牙齿确实亮了一些,不过刷完牙上面有点酸涩,而且微微出血,美白效果有但是不建议长期用!

3、狮王美白牙膏:这个是在超市买的蛮便宜的,味道是带有一点薄荷的,还有一点甜味,刷牙还是蛮舒服的,也不辣嘴巴,用了半个月白牙的效果很微弱,不过我感觉清新口气效果还不错,刷完牙感觉嘴巴里面香香的,但是过一会就感觉有点黏糊糊的,特别不舒服,后来我就没再用了。

我现在对口腔清洁也是有标准的,每天也形成了早晚刷牙的好习惯,不管时间多匆忙都会好好刷牙的,现在我的牙齿非常健康,吃啥都香,每天都很开心,希望大家也能养成正确的刷牙习惯,告别牙黄每天拥有好心情!