怎么能经常看到我的文章呢?很简单,一个是关注我@胃肠病科普,一个是使用头条搜索。
现在头条的搜索功能非常强大,在搜索框输入你想要的关键词,海量信息就会一览无余。
常用的信息比如明星、电影、彩票、天气、旅游、新闻、健康、疫情....包罗万象!
甚至能搜到你未来的女朋友,哈,开玩笑了。
比如搜索关键词:超声内镜——哗哗滴,视频、图文、图片...应有尽有,就都来了。


是不是超简单?赶紧试一试吧!
今天的科普主题——超声内镜,您也可以先使用*今条头日**的搜索功能啊。
我们做完胃肠镜,医生可能会在报告上诊断为:粘膜下隆起性病变,建议超声内镜进一步检查。
意思就是说,我看到了有个东西鼓出来了,我不知道它是啥,你找超声内镜吧。
这就需要透视眼的功夫,或者叫“隔皮断货”的神功了。
就好比我们想看看肝胆脾有了什么病,隔着肚皮做个彩超的道理完全一样。
这时候,超声内镜就可以大派用场了。
那么超声内镜到底是什么样的新技术呢?

医生在操作超声胃镜
01.什么是超声内镜(EUS)?
超声内镜(EUS),顾名思义,就是:超声仪+内镜=超声内镜。
它将微型高频超声探头安置在内镜前端,当内镜进入到胃肠腔后,直接观察腔内形态的同时,还可以进行实时超声扫描。

上面是超声探头,下面是内镜镜身
打个比方,我们要观察一个房间,只需要进入到房间里面,用我们的双眼就可以细致地观察房间的墙壁、地板、天花板有没有瑕疵;这个时候,普通胃镜就可以了;
如果说墙壁上凸出来一个包,而墙壁还好好的,我们靠眼睛就不能判断:到底墙外面出了问题,还是壁纸下出了问题?这鼓包的原因和性质是什么?
这时候,超声内镜就可以大显身手了。
所以,内镜医生称之为:“消化医生的透视眼”、“消化内镜的第三只眼”
02.超声内镜与普通内镜有什么区别?
使用普通内镜检查时可以看到胃肠黏膜的状况,对胃溃疡、息肉、胃炎、胃癌等病变组织的表面进行观察。即便胃黏膜发生了微小的变化,小到1mm也可以及时发现,同时还可以进行活检病理明确诊断。
但是,单纯采用普通内镜不能鉴别出胃肠道粘膜以下的病变是良性还是恶性,也不能探测到胃肠道以外的状况。

超声内镜可以检查食管、胃、肠粘膜下、及其腔外的病变
超声内镜是普通胃镜的重要补充检查手段,它不仅具有普通内镜的功能,其超声波医疗设备可同时对食管壁和胃肠壁等组织进行超声扫描,能够清晰的探测和分辨出胃肠壁的各层次结构,必要时还可以获得胃肠道周围邻近脏器的超声图像。
超声内镜具有火眼金睛,能够识别出是真瘤子还是假瘤子,比CT和磁共振的准确性和敏感性更好,尤其是对于小于2cm的病变。
超声内镜及多普勒血流图可以识别出血管,避免误把血管当成瘤子。如果是切到了静脉,相对比较容易止血,如果是把动脉当成瘤子来切则容易造成患者死亡。
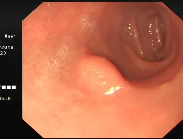
比如我们发现了十二指肠一个粘膜下隆起(下图),但是无法判断他的性质。

通过超声内镜,我们可以看出它在哪一层,是什么结构、什么性质。见下图:

再比如我们做肠镜发现了肠腔肿瘤,也无法判断肿瘤侵润与多深?到了哪一层?

而超声内镜扫描观察就能简单判别:下图

再比如普通内镜下可见胃腔有个隆起,是腔外肿瘤?还是脏器压迹呢?

超声内镜下,原来是胃腔外面的肝脏压迫所致。

简而言之,超声内镜可以检查到胃肠道粘膜下的病变,尤其胃肠道肿瘤,可以观察到癌肿的深度、胃肠道壁外的压迫状况、准确测量肿瘤的大小,对于病变是来自胃肠壁还是胃肠壁外起到鉴别诊断作用。
同时也可以进行活检病理或者细针穿刺检查,从而更好的鉴别肿瘤的良恶性。
此外,在手术前就能掌握到肿瘤的分期,对治疗也起到一定的指导作用。
03.哪些情况需要做超声内镜?
1.食管/胃/结直肠
肿瘤(癌)/淋巴瘤的术前分期
粘膜下肿瘤/隆起的鉴别
巨大胃粘膜皱襞的诊断
肿瘤术后的随访
盆腔及直肠周围疾病的诊断
2.胰腺/胆囊病变
胰腺癌/胆管癌/胆囊癌的术前判断
不确定的慢性胰腺炎
胰腺囊性病灶的鉴别诊断
神经内分泌肿瘤术前定位
胆总管可疑结石
后腹膜淋巴节活检
胰腺可以恶性肿瘤的穿刺活检

04.什么情况不适合做超声内镜?
绝对禁忌症
(1)严重心肺疾患,无法耐受内镜检查
(2)上消化道大出血处于休克等危重状态者
(3)怀疑消化道穿孔患者
(4)精神病患者或严重智力障碍而不能配合内镜检查者
(5)腐蚀性食管炎、胃炎的急性期患者
(6)明显的胸腹主动脉瘤患者
(7)脑卒中急性期患者
相对禁忌症
(1)心肺功能不全
(2)高血压患者,血压未得到控制
(3)凝血机制障碍及出血倾向患者
(4)高度脊柱畸形
(5)巨大食管憩室、重度食管静脉曲张者