
现如今,牙膏的种类和功效越来越多。不管是超市还是网上,各种品牌和价位的牙膏让人眼花缭乱。可是,牙膏真的越贵越好吗?不同人群要怎样选择适合自己的牙膏呢?
1
选牙膏,勿迷信“价高者优”
牙膏的基本功能为: 增强刷牙的摩擦力,帮助去除食物残屑、软垢和牙菌斑,有助于消除或减轻口腔异味,使口气清新。
牙膏的基本成分一般包括:摩擦剂、保湿剂、发泡剂、增稠剂、香精、防腐剂等。
牙膏成分虽然复杂,但最主要的成分就是摩擦剂。市面上常见的摩擦剂有二氧化硅(水合硅石)、碳酸钙、磷酸钙等。
其中碳酸钙结晶颗粒大,摩擦时硬度较大,容易产生划痕,不建议选择;
磷酸钙对牙面损伤较小,有适当的洁齿力而不至损伤牙齿,对口腔黏膜的刺激性小,主要用于中高档牙膏;
二氧化硅(水合硅石)相对较为温和,可以选用。
摩擦剂综合质量排名为:磷酸钙>二氧化硅(水合硅石)>碳酸钙。

超市里两款不同价位的牙膏,左侧为9.9元,右侧为29.9元,摩擦剂的区别并不大。图片来源:笔者拍摄
对于口腔较为健康的人群来说,选用任何一款符合国家标准的牙膏都可以达到清洁口腔的目的,效果差别不是很大,不需要看功效和价位来选择。
而在功效型牙膏中,又分为防龋、抑制牙菌斑、抗敏感、减轻牙龈有关问题、除渍增白等品类。
关于这些功效牙膏,我们也容易受广告营销影响,认为它们有一些“神奇”的作用,这些都是真的吗?
2
美白牙膏能美白吗?
首先我们要弄清楚牙为什么会变黄。
正常人健康的牙齿,牙本质是黄色的 ,表面的牙釉质是半透明的,所以牙齿会呈现出淡黄色。当然每个人都不一样,呈现的黄色程度也不一样。 有人更偏暖白色,有人则更偏黄色。

在牙齿发育过程中产生大量色素沉积,比如长期喝药导致四环素沉积在牙本质内,使得牙齿变成黄色、棕色或暗灰色,称为四环素牙;生活在高氟地区饮用水含氟过量就会造成氟牙症等。
这类导致牙本质变色的内源性变色只能通过医疗美白的方式来进行改善,美白牙膏再贵也几乎起不到作用。
而我们平时吃的东西、喝的饮料中的色素(如咖啡、茶、咖喱、烟渍等)沉着附着在牙齿表面,导致牙齿变黄。这类被称为外源性着色。
功效型的美白牙膏可以在一定程度上减轻这些色素和污垢的沉积,有助于将牙齿恢复到我们本身的颜色。
美白牙膏比普通牙膏有更强的美白功效,是因为含有更多更强力的摩擦剂和化学制剂。
按化学反应方式的不同可将常用的美白成分分为两类: 漂白剂和吸附类的含磷化合物。
应用最为广泛的漂白剂是过氧化氢和过氧化脲。 但过氧化物具有较强的刺激性,对口腔黏膜有刺激作用,所以不适合频繁使用,口腔溃疡患者不要使用。
化学吸附类的主要代表是多聚磷酸盐,比如多聚磷酸钠、植酸钠、六聚偏磷酸钠、焦磷酸四钠、焦磷酸四钾等。
这类化合物可以使得牙齿和其表面的色素更加容易分离,对于防止牙石的形成和色素的沉积都有一定的效果,一般都是放在比较好的美白牙膏中。

某款美白牙膏配料表。图片来源:网络
综合来说,含有有效成分的美白牙膏对长期有外源性色素沉积的牙齿来说,会有一定保持和减轻色素沉积的作用,但 千万不要幻想通过一管牙膏就能实现大白牙逆袭,这是不可能的。
3
抗敏感和牙龈肿痛的牙膏
真的有用吗?
有用,但不能代替治疗。
牙齿敏感的人,牙面上可能有缺损或是微孔隙,把冷热酸甜的刺激传导到牙神经,引起敏感和疼痛。
抗敏感牙膏里的乙酸锶 、氯化锶等可以在牙齿外形成一种保护层,封闭牙齿表面的小孔,从而缓解牙齿敏感。
如果在补牙或洗牙后,牙齿出现短暂的易敏感状态,可以用一些抗过敏牙膏。通常在一个星期左右,牙齿容易过敏的症状就会减轻。
牙齿敏感和牙龈红肿出血,其实都是牙周疾病的表现,不是单靠牙膏就可以治疗的。就算有点效果也只是治标不治本。
要及时去口腔医院就医,千万不要迷信牙膏和偏方。药物牙膏也不建议长期使用。

4
含氟牙膏会造成氟牙症吗?
氟牙症又称氟斑牙,是一种由于牙齿发育期间摄入过量的氟化物所造成的牙齿疾病。
儿童在七、八岁前饮用含氟量过高的水或者通过其它途径体内摄入过量的氟化物,会造成牙釉质发育不全。这种现象容易出现在某个地域,是一种地方病。

轻度氟牙症:白垩色不透明色斑。图片来源:网络

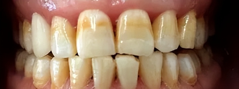
中度氟牙症:棕色或黄褐色斑块。图片来源:网络
但其实,氟化物是天然存在的一种矿物质,可以强化牙齿硬组织并使早期龋重新矿化。7岁以上的人群使用符合标准的含氟牙膏,可以使牙齿的最表层变得更坚固,不仅能预防龋病,同时对身体也没什么损害。
成年人不管是不是氟牙症,都建议使用含氟牙膏。
3岁以前的儿童应根据需要,在医生指导下使用含氟牙膏, 用量约为米粒大小,学龄前儿童使用含氟牙膏的用量约为豌豆粒大小。
总的来说,牙膏只是我们辅助刷牙的工具,每天早晚坚持用科学的方式(水平颤动拂刷法,也就是常说的“巴氏刷牙法”)把牙刷到位,配合牙线做好牙齿清洁,才是真正能够保持口腔卫生的好习惯。
具体操作要领为:
①手持刷柄,先将刷头放置于口腔内一侧的后牙牙颈部,刷毛与牙长轴大约呈45°角,刷毛指向牙根方向(上颌牙向上,下颌牙向下),轻微加压,使刷毛部分进入牙龈沟内,部分置于牙龈上;
②以2~3颗牙为一组开始刷牙,用短距离水平颤动的往返动作在同一个部位至少刷10次,然后将牙刷向牙冠方向转动,继续拂刷牙齿的唇(颊)舌(腭)面;
③刷完第一个部位之后,将牙刷移至下一组2~3颗牙的位置重新放置,注意与第一个部位保持有重叠的区域,继续进行下一个部位的刷牙;
④刷上前牙舌面时,将刷头竖放在牙面上,使前部刷毛接触龈缘,自上而下拂刷。刷下前牙舌面时,自下而上拂刷;
⑤刷咬合面时,刷毛指向咬合面,稍用力前后短距离来回刷。

所以,没有必要选择一款价格比较昂贵的牙膏,日常使用选择普通牙膏就足够了。 如果牙齿存在疼痛、敏感等问题,要及时就医。
祝大家都能拥有一口健康的牙齿~


来源:新华网编辑:亮亮编排审核:李耘监审:石峰终审:霍延敏