Chiari 畸形
Chiari 畸形(Chiari Malformation)又称小脑扁桃体下疝畸形,为后颅窝中线结构在胚胎发育过程中出现异常,表现为小脑扁桃体楔形延长至枕骨大孔以下,常合并脊髓空洞症、脑积水、脑脊膜膨出等
正常小脑扁桃体下端位于枕大孔之上,如果扁桃体下端变尖,下缘超过枕骨大孔 5 mm 时即可诊断本病
MRI 是诊断 Chiari 畸形的最佳影像学方法,特别是正中矢状位成像,可以充分体现本病的有关征象
Chiari 畸形分为四型:I 型最常见,表现为小脑扁桃体、小脑下部分下移入椎管,延髓、第四脑室正常,常伴脊髓空洞症;II 型较少见,在 I 型基础上,延髓及第四脑室向下移位、拉长,常合并脑积水及其他颅内畸形;III 型罕见,多见于婴幼儿,延髓、小脑及第四脑室均疝入枕部,伴有枕部或上颈段脑脊膜膨出。Ⅳ型:罕见,为严重的小脑发育不良,不伴有脑组织向下移位。
case 1:男性 ,14 岁,头颈部疼痛、不适 1 年

诊断:Chiari 畸形 I 型
case 2:女性 ,56 岁,右侧肢体感觉障碍,肌萎缩 2 年余

诊断:Chiari 畸形 I 型合并脊髓空洞症。
No.2
先天性脑膜膨出
先天性脑膜脑膨出(Congenital meningoencephalocele):脑膜或脑膜膨脑膨出是指脑膜或脑膜和脑组织从颅骨的先天性缺损即颅裂向外膨出
颅裂的发生与神经管的闭合不全以及中胚层的发育停滞有关,颅内容物多从枕囟、眉间囟或其他部位突出于颅外,其内容物包含硬膜、蛛网膜及脑实质
MR 主要表现为与颅内连续的脑组织从颅骨缺损处向外膨出
case 1:男性,6 月,后顶枕部包块进行性增大 4 月余。

诊断:脑膜脑膨出。
No.3
先天性颅底凹陷
先天性颅底凹陷症(Congenital basilarinvagination)是以枕骨大孔为中心的颅底骨组织、寰椎及枢椎骨质发育畸形
枕骨大孔周围的颅底骨向上方凹陷进入颅腔,并使之下方的寰枢椎,特别是齿状突升高甚至进入颅底,并引起枕骨大孔狭窄,后颅窝缩小,斜坡升高和环枕重叠等一系列畸形改变,是枕大孔区最常见的畸形
此症多因先天性发育异常所致,但也可继发于畸形性骨炎、软骨病、佝偻病等
主要症状为延髓、脊髓和小脑的受压迫或相应血管受压迫引起症状和体征。如头痛、头晕,颈部及上肢疼痛;四肢麻木无力、眼球震颤;大、小便障碍;步态不稳;吞咽困难等
颅底凹陷症过去仅靠 X 线诊断,随着 CT 和 MR 技术的进步及普及,对该病变及合并症显示的越来越清晰
该病诊断的径线测量方法很多,但常用的是钱氏线(Chamberlain』line),亦称枕线,由硬腭后缘向枕大孔后上缘作一连线,正常人齿状突在此线 3 mm 以下,若超过即为原发性颅底凹陷症
case 1:女性,56 岁,反复头痛、头晕及双上肢麻木 5 月余。

诊断:颅底凹陷症并颈段脊髓变性。
No.4
狭颅症
狭颅症(Craniosynostosis)亦称为颅缝早闭或颅缝骨化症,是一种少见的头颅先天性畸形,可有家族史,属于常染色体隐性遗传,机制不明确,可能是颅缝膜性组织内异位骨化中心生长的结果
由于一条或数条颅缝过早闭合,颅骨只能在其他方向代偿地生长,形成头颅畸形,颅腔容积的过早固定,限制了脑的正常发育,以至于产生头颅畸形、颅内压增高、智能发育障碍和眼部症状
依据受累颅缝不同,头颅畸形可有不同类型表现。最常见的是尖头畸形,是由于冠状缝加另一颅缝早期闭合所致,表现为头颅垂直径增加,前后径变短,额顶部倾向于垂直上升,使头颅变形呈塔状,前颅窝变短,眼球突出
矢状缝提早闭合形成长头畸形,又称舟状头,表现为头颅横径生长受限,而前后径生长显著,头长而窄,呈舟状,颅底下陷,矢状缝前部升高,枕部下陷
冠状缝早期闭合或伴人字缝早闭,形成短头畸形,主要表现为头颅前后径变短,垂直径和横径增加,颅后窝变短而深
狭颅症常见症状有: ①眼球突出,视力障碍及视野缺损,视乳头水肿或萎缩; ②智力障碍; ③癫痫; ④运动障碍; ⑤颅压增高; ⑥合并其他畸形
case 1:幼儿男性,1 岁 2 月,出生后发现头颅畸形 1 年余。

诊断:狭颅症。
No.5
脑裂畸形
脑裂畸形 (schizencephaly) 是一种神经元移行异常而引起的先天性颅脑发育畸形,其以横跨大脑半球的脑裂为特征性表现
临床上可有癫痫、智力障碍、偏瘫、肌力下降等症状。是由于胚胎发育期间神经元分化、移行受阻造成。且常合并其他畸形,如巨脑回、灰质异位、无脑回、多微脑回和胼胝体发育不全以及透明隔缺如等
其基本影像表现为横贯大脑半球的裂隙,裂隙外端的软脑膜与内端的室管膜通过裂隙相连续,可以形成所谓的软脑膜一室管膜缝, 裂隙两旁为内折的灰质,可单侧或双侧发病
脑裂畸形分为 I 型和 II 型:I 型即闭合型或融合型脑裂畸形,为裂隙两侧的灰质层相贴或融合,裂隙关闭,裂隙中间不含脑脊液。Ⅱ型即开放型或分离型脑裂畸形,特点为内折皮层分离,形成较大裂隙与脑室相通,内含脑脊液,脑裂衬有薄膜
case 1:女,16 岁。发作性意识不清,四肢抽搐反复发作 15 年。

诊断:左顶叶脑裂畸形。
No.6
灰质异常
灰质异位(Heterotopias)是一种先天性疾病,是由于胎儿时期神经元或未分化的细胞沿放射状胶质细胞纤维移行过程中受阻,未移行或停留在脑白质区形成异位的灰质结节
较小的灰质异位可无症状,其常见症状主要有癫痫发作、精神呆滞及脑发育异常。癫痫患者中 5%-10% 由灰质异位引起
主要影像表现为脑白质区见灰质密度或信号,增强扫描示病灶与正常脑皮质的强化一致,一般无占位效应,较大病灶可有占位效应,但其典型的灰质信号,增强无强化可与其它病变鉴别
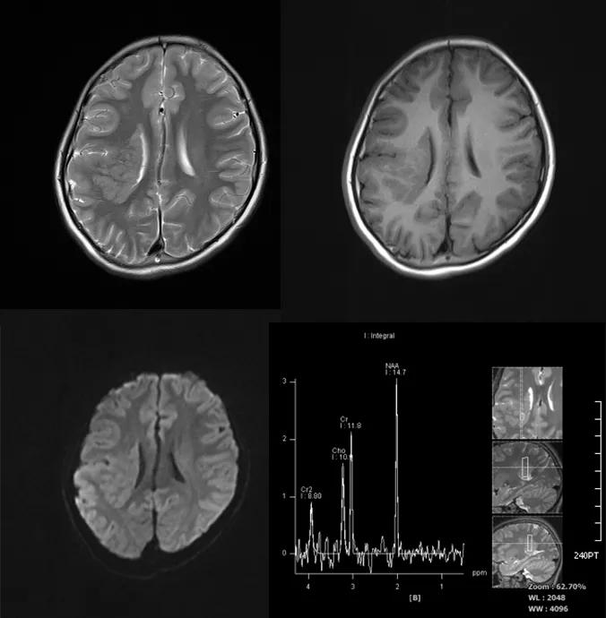
case 1:女性 ,14 岁,反复癫痫发作。

诊断:右侧脑室旁灰质异位。
No.7
巨脑回畸形
巨脑回畸形 (Pachygyria) 属神经元移行异常性病变,以脑回宽大、脑沟变浅为其特征,严重者脑沟脑回完全消失、脑表面光滑,称为无脑回畸形 (Agyria),也称为光滑脑 (Lissencephaly)
临床上患者常有不同程度的精神、运动及智力障碍,病情重者常不能发育至成年。影像主要表现为脑表面光滑,脑沟稀少,脑回粗大,脑皮质层增厚,白质区收缩
根据病变范围可分为全脑型和局限型
全脑型的巨脑回畸形可见两侧大脑半球的额、颞、顶叶脑沟稀少,脑回粗大,脑皮质层增厚,白质区收缩,往往伴有外侧裂扩大和形态上的改变
局限型的巨脑回畸形见一侧大脑半球的额、颞、顶叶脑回粗大,髓质变薄。巨脑回畸形常伴有神经元移行异常的其它病变,如脑裂畸形、灰质异位等
此外,尚可合并胼胝体发育不全和透明隔缺如等其它脑发育畸形以及多指 (趾) 畸形、隐睾及先天性心脏病等
case 1:男,1 岁,生后不能抬头,不能独坐。

诊断:先天性巨脑回畸形及胼胝体发育不良
No.8
Dandy-Walker 综合征
Dandy-Walker 综合征(Dandy-Walker Syndrone DWS)又叫第四脑室孔闭塞综合征,是一种后颅窝先天发育畸形,是一种较罕见的颅脑先天发育异常
DWS 可见于各个年龄段患者,部分病人可无症状
MRI 是诊断 DWS 的最佳影像学手段
典型表现包括:小脑发育异常或蚓部缺失,小脑半球分离;‚第四脑室扩大并与后颅窝贯通,伴有横窦、窦汇及小脑幕上移;ƒ幕上脑室对称性扩张
常合并颅内其它畸形
case 1:男性,11 个月 10 天。突发呼吸急促、*吟呻** 8 小时

诊断:Dandy-Walker 综合征。
case 2:女性 ,37 岁。步行不稳 3 个月。

诊断:Dandy-Walker 综合征合并脂肪瘤。
来源:影像时间
【版权声明】本平台属公益学习平台,转载系出于传递更多学习信息之目的,且已标明作者和出处,如不希望被传播的老师可与我们联系删除
*载下**放射沙龙app,获取更多影像科学习资料,更多学习视频等着你哦