
专栏主编
刘爱华
主任医师、教授
博士生导师
北京市神经介入工程技术中心副主任
中国卒中学会神经介入分会*党**建书记
中国卒中学会神经介入分会秘书长
中国医师协会科普分会神外专委会主任委员
中国青科协生物医药常务秘书长
北京医师协会神经介入分会秘书长
北京医师协会神经介入分会青委会主任委员
擅长脑动脉瘤、脑血管狭窄支架成形与脑血管畸形等微创介入治疗,脑血管病先后获省部级奖7项,先后承担国自然、科技部等课题12项,已发表学术论文107篇(Neurology、Stroke等SCI论文62篇),已获发明国家专利4项,培养硕士生14名,博士生4名。

第7期

作者:赵阳* 金蔚涛*刘爱华 缪中荣
单位:北京天坛医院(*北京大学国际医院)
该患者脑部巨大长夹层动脉瘤,直径约17 mm,长度约65 mm,治疗极为棘手极富挑战,常规治疗失败率高复发率高,是复杂脑动脉瘤治愈利器--密网支架临床攻关克难的优选病例。
本例介入手术共使用4枚长密网支架桥接放置治疗巨大长夹层动脉瘤,手术顺利,术中清晰可见支架桥接与放置打开情况,微创介入手术大约一个多小时,术后三天患者无任何后遗症步行出院,患者术后半年CTA血管造影复查,脑动脉瘤顽疾得以治愈,脑血管形态已经基本恢复正常 ,患者恢复良好,生活完全正常并重返工作岗位。

病例简介
患者,男性,39岁。
主诉:发现动脉瘤4年,伴间断性头痛。
现病史:患者4年前间断头痛,无恶心、呕吐、肢体活动障碍,检查发现颅内动脉瘤。当时未予治疗,此后患者开始出现视力视野改变。为行进一步治疗,患者就诊于我院。
查体:神清语利,双侧瞳孔正大等圆,光反射灵敏,右眼视力下降,视野缺损,左眼尚正常,四肢肌力、肌张力正常。
辅助检查:磁共振血管成像(MRA): 右侧颈内动脉夹层动脉瘤。
术前造影:
(1)右侧颈内动脉海绵窦段至颈内动脉末端巨大夹层动脉瘤伴血栓形成(图1)。

滑动查看更多

图1
(2)左颈动脉造影见大脑前动脉抬高,右侧颈内动脉球囊闭塞试验见前交通动脉开放,M1段显影不良,考虑后交通供血较强(图2)。

滑动查看更多
图2
(3)后循环造影及右侧颈内动脉球囊闭塞试验,提示后交通供血较明显,可见动脉瘤显影,无法闭塞颈动脉,选择行动脉瘤栓塞术(图3)。

滑动查看更多
图3
术前诊断
巨大夹层动脉瘤伴瘤内血栓形成(右侧颈内动脉海绵窦段至右侧颈内动脉末端)
治疗策略
密网支架置入术
治疗过程简述
全身麻醉下右侧股动脉入路,造影选取工作位。
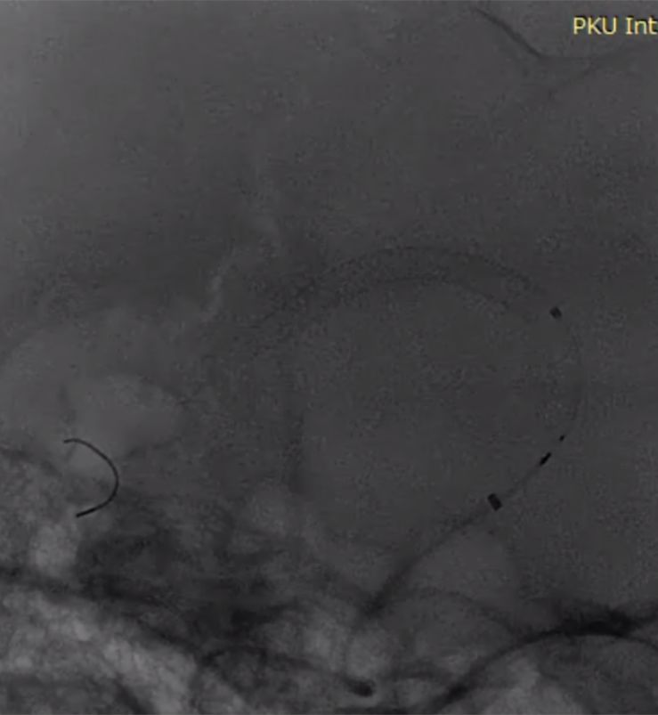
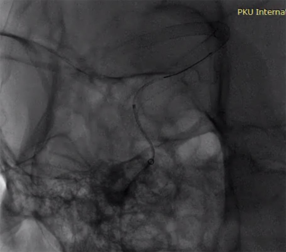
(1)Synchro微导丝携带Marksman支架管送入大脑中动脉,沿支架管送入3.5mm×35mmPED一枚,于M1段开始释放,可见释放后回缩明显,支架管在回收过程中支架再次短缩(图4)。

滑动查看更多
图4
(2)第二枚PED4.5mm×35mm桥接第一枚支架,释放过程中第一枚支架稳定,第二枚支架回缩同样明显(图5)。

滑动查看更多
图5
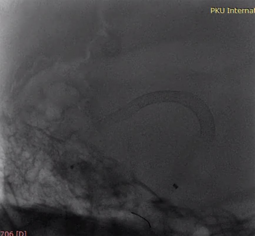
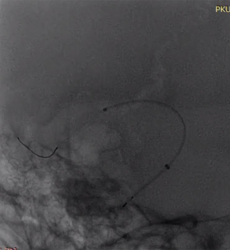
(3)第三枚PED 5mm×35mm桥接,可见近端已着陆于相对正常血管,但支架长度明显长于35mm,且近端血管转折处仍可见瘤样改变(图6)。

滑动查看更多
图6
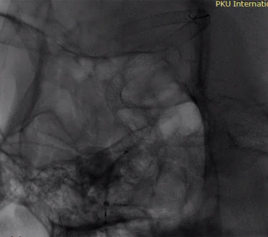
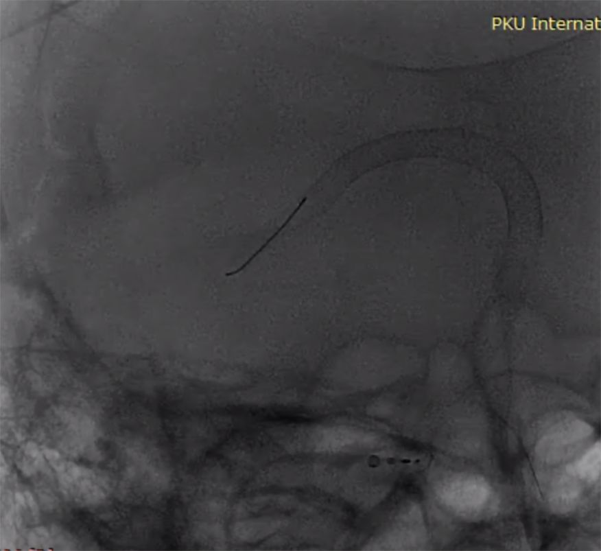
(4)第四枚PED 5mm×35mm桥接第三枚支架,开始释放时贴壁不良,继续推出一段后支架展开,海绵窦垂直段支架展开形态欠佳,回收后推送形态不变,考虑存在狭窄(图7)。

滑动查看更多
图7
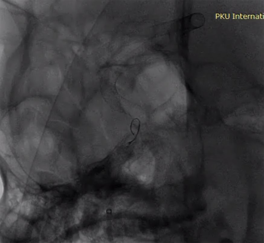
(5)支架导引导丝按摩支架,形态无变化,较稳定。XperCT提示该出血管转折较明显,支架贴壁欠佳(图8)。

滑动查看更多
图8
(6)造影见动脉瘤内血流通路形成(图9)。

滑动查看更多
图9
(7)支架重建后正侧位(图10)。

图10
术后复查影像(图11)。

图11
术后用药
拜阿司匹林肠溶片100mg qd
波立维片75mg qd
立普妥20mg qn
甲强龙40mg bid
术后患者生命体征平稳,视力视野较术前无明显变化,肢体感觉及运动较术前无明显变化。
术者寄语
此患者为一年轻男性患者,从事医疗行业,外院就诊诊断为颅内颈动脉巨大夹层动脉瘤,患者辗转全国各大医院就诊,最终选择来到天坛医院就诊。患者手术在天坛医院神经外科—北京大学国际医院病区进行,从造影可见该患者动脉瘤发起于颈内动脉岩骨段,向上延伸至大脑中动脉水平段,接近分叉部,直径约1.7 cm,长度约6.5 cm。经过仔细评估,术者认为该患者具有使用密网支架治疗的适应症。同患者及其家属沟通后,家属同意选择使用密网支架桥接治疗,密网支架是厂家爱心捐赠。本例手术,共使用四枚密网支架,手术顺利,术中清晰可见支架打开情况。患者术后半年复查,患者恢复良好,生活恢复往常,重返工作岗位。对于密网支架治疗巨大夹层动脉瘤这只是一个成功的个案,未必能证实巨大夹层动脉瘤是有效的,但该个案的成功为巨大夹层动脉瘤的治疗提供了一种治疗思路、一种借鉴。患者的长期预后还有待临床随访,抗血小板药物的服用方式和服用时间也有待临床验证。

神经介入在线作为中国卒中学会神经介入分会的官方公众号,现已成立三年。作为最早创建的神经介入专业的学术交流平台,由缪中荣教授团队倾力打造,秉承合作、创新、交流的宗旨,为医务工作者提供国内外神经介入领域最新资讯、指南,聚焦难点深度评论,引领学术前沿。
2019年致力搭建神经介入领域国内外最新医学资讯、研究进展、病例讨论、趣味科普等各项学术交流互动共享平台,整合医疗资源,发挥联盟优势,风雨共济,守候健康,我们在这里等你!