中国有着上下五千年的悠久历史,我们的祖先在这片土地上生活了数千年,每一个中国人都能够自豪的称呼自己为“炎黄子孙”。随着时代的发展和人们生活方式的改变,中国人的足迹早已遍布世界各地。咱们都以华夏儿女和炎黄子孙而骄傲自豪。

随着时代的发展,中国人的生活方式早就发生了翻天覆地的变化,而中国人的足迹也早已遍布世界各地。但是炎黄子孙身上有祖先给我们留下的印记,这些印记是无论何时何地都不会改变的。中国人除了黄皮肤、黑头发、黑眼睛这样显而易见的特点之外,身体上还有三个特别之处,甚至科学都无法解释,被称为中国人的“三大印记”。

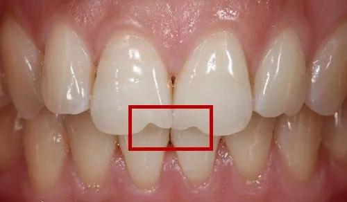
1、铲形门齿
铲形门齿就是指:牙齿两边卷成棱,中间比较低平,好像是一把铲子似的。其实早在一九五九年,我国考古学家已经在周口店北京猿人的化石中发现了“铲形门齿”的特征,而且一直发展到现在,中国人依然保持着这一特征。尽管有些黑人和白人也有铲形门齿,但其比例却仅仅只有百分之十。

2、屁股上的青斑
很多人可能会奇怪自己身上似乎并没有这样的青斑,其实是有的,只是后来消散了你自己不知道罢了,这样的印记虽说经过了几千年的传承,这些青斑在很多人刚出生的婴儿身上都会出现,有的婴儿会长在屁股上,有些婴儿甚至会长在背上,这样的印记不会一直存在,随着年龄的增长,这些青斑也就慢慢消失了。对于这样的现象,医生专家也无法解释其中的原因,是不是很神奇。

3、内眦赘皮
内眦赘皮,也就是内眼角处的褶皱。中国人一向都以丹凤眼为美,而丹凤眼就是内眦赘皮的典型眼型。有人曾经推断内眦赘皮与鼻梁高低有关,但是经过专家的研究,在其他人种中也有低鼻梁的群体,但是,却没有中国人这样明显的内眦赘皮。因此这也算是炎黄子孙的一大特征。

说了这些,你对这样的说法认可吗?从进化论的角度来说,全世界的人种都是从某个地方起源,之后慢慢进化,然后在分布到全球各个角落,之后因为每个陆地板块的气候环境不一样,最终造成了人种上的差异。或者这就是我们生活在华夏这片大地上的一个重要特征吧。赶快检查一下你自己是不是也有这样的特征,确认一下自己是不是个假的炎黄子孙。