
缺血缺氧性脑病通常由于低血压或呼吸衰竭引起的脑供氧不足所致。病因包括心肌梗死、心搏骤停、休克、窒息、呼吸肌麻痹、一氧化碳中毒及氰化物中毒。某些情况下以缺氧为主要原因。一氧化碳和氰化物中毒因其直接损伤呼吸链又称为组织中毒性缺氧。
临床表现
单纯中度低氧血症,如高海拔状态下,可出现判断力下降、注意力不集中、运动不协调以及偶有欣快感。然而,缺血缺氧同时发生时,如循环骤停时,可迅速出现意识丧失。如果循环可在3-5分钟恢复,多数可不留后遗症,但如果缺血缺氧持续超过3~5分钟,将会造成不同程度的永久性脑损伤。除外一些极端情况,缺血缺氧的程度通常难以判断,有些患者甚至在全脑缺血8~10分钟后仍可几乎恢复正常。区分单纯缺氧和缺血缺氧非常重要,在循环稳定的情况下逐渐发展的缺氧即使氧分压达20mmHg机体仍可良好耐受,但短期的脑循环障碍却可能造成永久性损伤。
在缺血缺氧后的不同时间点进行检查对评估神经系统功能的长期预后是非常有用的。通常脑干功能未受损的患者预后较好,可表现为正常的瞳孔对光反射、头眼反射、眼前庭反射及角膜反射(图-1)。如果这些反射消失或表现为持续的瞳孔散大对光反射消失则预后极差。缺血缺氧性昏迷的不良预后标志是损伤后第3天瞳孔对光反射、伸肌反应及痛觉反应不能恢复。
电生理检查N20双侧体感诱发电位( SSEP)消失也是不良预后的标志。血清中神经特异性烯醇化酶( NSE)升高(>33ug/L)是心搏骤停复苏后脑损伤的标志,也提示了不良预后。然而,目前由于体感诱发电位需要专业解读而神经特异性烯醇化酶的测量尚未标准化,因此,上述两项检查的结果通常难以立即获得。心搏骤停后使用亚低温疗法(见治疗部分)是否会干扰临床和电生理的预后因子的判断目前尚不清楚。长期缺血缺氧性脑病的结果包括持续的昏迷或植物状态、痴呆、视觉失认、帕金森综合征、舞蹈症、小脑性共济失调、肌阵挛、癫痫及对海马的选择性损伤导致的遗忘状态。

图-1 预后预测
心肺复苏后昏迷病人预后预测:括号内数字为95%置信区间。混杂因素包括使用镇静或神经肌肉阻滞药,低温疗法、器官衰竭或休克.∗ 标注的检查可不按顺序进行.SSEP:体感诱发电位;NSE:神经特异性烯醇化酶;FPR:假阳性率
病理
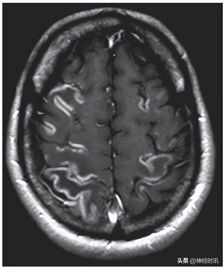
主要的病理改变包括广泛的多灶的或弥漫的皮层坏死及几乎难以避免的海马损伤(图-2)。海马的CAI神经元极不耐受缺血缺氧,这也解释了在短暂的心搏骤停会引起持久的记忆损害。小片状的梗死或神经脱失可出现在基底节、下丘脑或脑干。在某些病例中,广泛双侧的丘脑瘢痕可影响调控觉醒的神经通路,可能是持续植物状态的发病机制。一种特殊类型的缺血缺氧性脑病,又称为分水岭梗死,指发生在相邻供血动脉区之间的边缘带,可造成认知损害,包括视觉认知不能和近端重于远端的肢体乏力。

图-2 缺血缺氧性脑病脑皮质层状坏死。MR T、加权显示与分水岭区分布一致的皮质强化伴层状坏死
诊断
诊断的确立应基于病史中缺血缺氧的具体临床事件,如心搏骤停等。收缩压<70mmHg或PaO2<40mmHg通常是必要条件,二者的程度和暴露时间都是细胞的损伤的重要决定因素。一氧化碳中毒可由碳氧血红蛋白浓度测定来确定,皮肤的樱桃红色也可提示一氧化碳中毒的发生。
治疗
治疗应以保持正常的心肺功能为目标。具体措施包括:通过心肺复苏、液体疗法、升压药物和心脏起搏来保持气道通畅、保证足够的氧供和通气及保持脑灌注。低温疗法目标在于延缓神经细胞损伤的级联反应,在脑损伤的实验模型中有良好的神经保护作用。在两个临床试验中,亚低温(33℃)可改善心搏骤停复苏后持续昏迷状态患者的预后。
心肺复苏数分钟后即启动低温疔法,其中一项试验持续12小时,另一项持续24小时。低温疗法潜在的并发症包括凝血功能障碍和感染风险增加。基于这些研究,国际心肺复苏联合会在2003年发表共识:“对于院外室颤后心搏骤停患者,无意识但尚可保持自主循环时,体温应降至32。~34℃达12-24小时。”
高压氧可治疗严重的一氧化碳中毒。可用抗癫痫药物控制抽搐,但通常不推荐预防性抗癫痫。缺氧后肌阵挛可使用氯硝西泮每日1.5~10mg或丙戊酸每日300-1200mg分次服用。原发性循环骤停后24小时内出现肌阵挛性癫痫持续状态是预后不良的标志。
一氧化碳中毒和氰化物中毒也可造成迟发性脑病。当患者刚意识恢复时可能表现尚不明显,但会逐渐进展为以行动缓慢、肌张力增高不伴震颤为表现的帕金森综合征。症状可经数月后恶化,出现CT和MRI上可见的基底节损害。
END——各位同道,看完记得给我积个赞,感觉对自己多少有帮助,记得关注我,加我粉丝团哈~ 持续更新中