猫衣原体也称为衣原体病、鹦鹉衣原体、猫衣原体病或猫肺炎。能够使猫眼部感染,会导致结膜(眼睑内部的膜)和眼睛的白色部分(巩膜)变红和发炎。

猫的结膜炎可由多种原因引起,如对花粉、灰尘过敏;刺激物;病毒和细菌。
在衣原体病的病例中,致病微生物是一种被称chlamydia psittaci的细菌。在所有报告的猫结膜炎病例中,约有三分之一是由这种细菌引起的。这种猫眼病的早期阶段,由于眼睛和鼻子的慢性分泌物,它可能与猫流感(杯状病毒)和疱疹病毒相似。
最初的分泌物是水状的,但随着猫眼睛感染的进展,它可能会变成粘液脓性的,即以粘液和脓的存在为特征。
猫的眼部疾病,如衣原体,可以在任何年龄的猫身上发现,但是小猫似乎更容易受到这种感染,通常,所有的小猫都会受到感染。6周至8个月大的小猫更容易感染这种疾病。
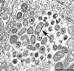
chlamydia psittaci是什么样子的微生物?
chlamydia psittaci是专性胞内寄生微生物,细胞壁与革兰氏阴性菌相似,对某些抗生素敏感。它的发展周期复杂,包括两种形式。一种(感染性的)基本体附着在宿主细胞上,通过吞噬作用或受体介导的内吞作用进入细胞。吞噬溶酶体融合被早期抑制,初级体重组为网状体,以宿主细胞为能量来源。吞噬小体中含有的这种分裂的网状体通过双融合不断扩大和分裂,形成一种扩大的胞质包涵体,可用Giemsa或免疫荧光抗体染色。扩大和分裂的网状体最终浓缩成基本体,然后从破裂的细胞中释放出来,开始新的循环。

猫衣原体是如何传播的?
传播方式被认为是通过直接接触感染了chlamydia psittaci的猫的眼睛和鼻腔分泌物。
直接接触可能发生在猫咪自己梳理毛发或通过打喷嚏传播。由于这种细菌在体外相对不稳定,寿命较短,所以猫在共用食碗和被褥时被感染的可能性不大,但也存在这种可能。
由于显而易见的原因,这种猫眼疾在养猫、养多只猫的家庭和收容所中更为普遍。(曾有动物源性感染的孤立病例(人感染猫衣原体)。
建议在治疗猫眼部感染时遵循良好的卫生程序。与患猫结膜炎的猫接触后要洗手,这样可以防止你和家里的其他猫受到感染。

猫衣原体的症状和体征
潜伏期(即从接触疾病到出现最初症状的时间)约为14天。
这种细菌主要感染结膜,结膜是覆盖眼睑和眼球边缘的脆弱膜。这种感染会导致结膜炎。

正常猫的结膜不易看到,呈淡橙红色。患有结膜炎的猫,结膜会变得肿胀和发红,使其更容易被发现。内眼角的眼膜或第三眼睑可能会部分地突出整个眼睛。可能涉及一只或两只眼睛。
受感染的猫最初会从眼睛里排出水样分泌物,很快就会变厚,颜色通常是黄色或绿色。眼睛不舒服,猫经常闭着受影响的眼睛。许多猫仍然很聪明,其他方面看起来很正常,但有些可能会发烧或失去食欲。一两天之后,可能还会流鼻涕和打喷嚏。对于小猫来说,感染可能会扩散到肺部,导致致命的肺炎。
如果不治疗,结膜炎和相关的不适和分泌物可能会持续数周或数月,在此期间,猫是其他猫的感染源。受感染的猫可能会出现康复,然后复发。
第一个症状是单眼或双眼排出水样分泌物
眼睛变得又红又肿
在某些情况下,通常看不见的第三眼睑会变得红肿,使猫很难睁开眼睛
随着感染的进展,分泌物变得粘稠和粘液脓性(含粘液和脓)。
猫也可能会流鼻涕,打喷嚏也很常见
猫或小猫可能会有轻微的体温升高,而猫可能会“退色”,但并没有食欲不振。
一些专家认为,这种细菌可能会感染消化道和生殖道。
虽然这些迹象通常不被注意到,但它可以导致怀孕的女王生育失败(自然流产)。
如果不及时治疗,这种猫眼部感染将持续3-4周。
需要注意的是,小猫或猫咪在接下来的几个月里会继续出现不那么严重的症状,而且它可能会传染长达一年或更长时间。
猫衣原体的兽医诊断
第一,首先从猫主人那里获得完整的病史。
其次,衣原体结膜炎很难诊断,因为有许多原因导致结膜炎,猫可能同时有多种感染。首选的诊断方法是从结膜上取拭子样本。棉签随后被送往实验室,在那里进行培养并随后进行鉴定。有时,在结膜刮擦后的染色涂片中可见这些微生物。
另一种诊断方法是检测结膜刮擦和拭子是否有衣原体抗原和DNA。诊断通常是血清学上的,通过补体固定(CF)或微免疫荧光(MIF)。CF更常用,尽管它不是种特异性的,可能反映感染了肺炎支原体或沙眼支原体。PCR是种特异性的,但并不普遍可用。当实验室培养结果为阴性时,或当结膜炎为慢性问题时,本试验可作为一种通过性筛查试验,用于多猫家庭。
最后,根据病情的程度进行相应的眼科检查。
猫衣原体的治疗
一旦这种猫眼睛感染的诊断被兽医确认,决定适当的治疗过程。
治疗通常包括局部和全身使用抗生素。
局部眼膏或眼药水含有四环素,每天需要涂3-4次。
口服抗生素(片剂或糖浆)必须在发现最后症状后的几个月或至少几周内使用。
同时也要监测猫的进展,并作出必要的调整,以治疗。
为了减轻任何不适,还会给小猫或猫开一种盐水洗眼剂,在使用药膏或眼药水之前清洗它们的眼睛。
在多猫家庭中,强烈建议所有猫同时接受治疗,以避免感染或再次感染。
预后
如果及早开始治疗并对家中所有的猫进行治疗,复发的几率就会降低。
虽然感染可能使人丧失能力,但它是可以治疗的,每只猫都应该健康、舒适和远离疾病。
衣原体接种疫苗
现在有一种疫苗可以帮助减轻这种猫眼部感染的严重程度。并不是100%有效的预防疾病。有许多猫疫苗可用,其中一些被认为是核心疫苗,这种疫苗在单猫家庭中不被认为是核心疫苗,但强烈建议在多猫家庭中使用。
人类感染猫衣原体病的风险
人类可能感染衣原体,但是感染猫的细菌(猫衣原体)是高度适应这种物种的。曾有一到两起报告称,在接触了一只藏匿猫的猫之后,出现了人类结膜炎,但这种风险似乎极低。处理和治疗受感染的猫时,建议采取常规卫生预防措施(抚摸或服药后洗手,避免近距离面对面接触,直到感染得到解决)。