今日浅谈“锁骨骨折”那点事。欢迎大家关注,评论,转发!!
锁骨骨折是常见的肩部骨折,占肩部位骨折的 35%,占身体骨折的2.6%~4.0%,大多属于不稳定骨折,主要见于青壮年男性,是骨伤科临床常见病、多发病。锁骨骨折多因为直接*力暴**或上肢受力后间接力量沿上肢传导至锁骨处而至骨折,解剖上看锁骨长有两个弯曲,这使得其本能够吸收更多的应力,但又易发生骨折的主要因素为锁骨位于胸的前上方,是上肢连接躯干的唯一骨性结构。锁骨呈S形架于胸骨柄与肩峰之间,是连接上肢与躯干之间的惟一骨性支架。锁骨位于皮下表浅,受外力作用时易发生骨折,发生率占全身骨折的5%~10%。多发生在儿童及青壮年。
主要表现为局部肿胀、皮下淤血、压痛或有畸形,畸形处可触到移位的骨折断端,如骨折移位并有重叠,肩峰与胸骨柄间距离变短。伤侧肢体功能受限,肩部下垂,上臂贴胸不敢活动,并用健手托扶患肘,以缓解因胸锁乳突肌牵拉引起的疼痛。触诊时骨折部位压痛,可触及骨擦音及锁骨的异常活动。幼儿青枝骨折畸形多不明显,且常不能自诉疼痛部位,但其头多向患侧偏斜、颌部转向健侧,此特点有助于临床诊断。有时直接*力暴**引起的骨折,可刺破胸膜发生气胸,或损伤锁骨下血管和神经,出现相应症状和体征。
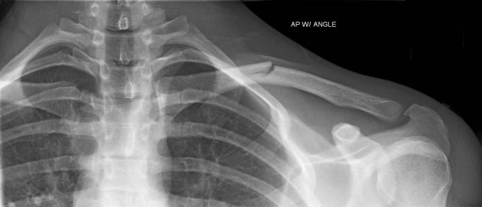
本病的辅助检查方法主要是影像学检查,锁骨骨折常发生在中段。多为横断或斜行骨折,内侧断端因受胸锁乳突肌的牵拉常向上后移位,外侧端受上肢的重力作用向内、下移位,形成凸面向上的成角、错位缩短畸形。

锁骨中段骨折
1.X线检查
疑有锁骨骨折时需摄X线像确定诊断。一般中1/3锁骨骨折拍摄前后位及向头倾斜45°斜位像。拍摄范围应包括锁骨全长,肱骨上1/3、肩胛带及上肺野,必要时需另拍摄胸片。前后位像可显示锁骨骨折的上下移位,45°斜位像可观察骨折的前后移位。

内侧断端因受胸锁乳突肌的牵拉常向上后移位,外侧端受上肢的重力作用向内、下移位,形成凸面向上的成角
婴幼儿的锁骨无移位骨折或青枝骨折有时在原始X线像上难以明确诊断,可于伤后5~10天再复查拍片,常可呈现有骨痂形成。
外1/3锁骨骨折中,一般可由前后位及向头倾斜40°位X线像做出诊断。锁骨外端关节面骨折,常规X线像有时难以做出诊断,常需摄断层X线像或行CT检查。
锁骨内1/3前后位X线像与纵隔及椎体相重叠,不易显示出骨折。拍摄向头倾斜40°~45°X线像,有助于发现骨折线。在检查时,不能满足于X线正位片未见骨折而诊断为软组织损伤,需仔细检查是否有锁骨内端或对局部骨折征象,以便给予正确的诊断。
2.CT检查
CT检查多用于复杂的锁骨骨折,如波及关节面及肩峰的骨折。尤其对关节面的骨折优于X线检查。
诊断
患者有上肢外展跌倒或局部被*力暴**直接打击等外伤史,伤后肩部出现疼痛,上肢不敢活动。X线片可确诊,并显示骨折移位及粉碎情况。
治疗
视骨折类型、移位程度酌情选择相应的治疗。
1.青枝骨折
多为儿童,对无移位者以“8”字绷带固定即可,对有成角畸形者,复位后仍以“8”字绷带维持对位。对有再移位倾向的较大儿童,则以“8”字石膏绷带为宜。
2.成年人无移位的骨折
以“8”字石膏绷带固定6~8周,并注意对石膏的塑形以防发生移位。
3.有移位的骨折
均应在局部麻醉下先行手法复位,之后再施以“8”字石膏固定,其操作要领如下:患者端坐,双手叉腰挺胸、仰首及双肩后伸。术者立于患者后方,双手持住患者双肩前外侧处(或双肘外侧)朝后上方用力,使其仰伸挺胸,同时用膝前部抵于患者下胸段后方形成支点,如此可使骨折获得较理想的复位。在此基础上再行“8”字石膏绷带固定。为避免腋部血管及神经受压,于缠绕石膏绷带的全过程中,助手应在蹲位状态下用双手中指、示指呈交叉状置于患者双侧腋窝处。石膏绷带通过助手双手中指、示指缠绕,并持续至石膏绷带成形为止。在一般情况下,锁骨骨折并不要求完全达到解剖对位,只要不是非常严重的移位,骨折愈合后均可获得良好的功能。
4.手术治疗
手术治疗指征包括开放骨折;合并血管、神经损伤的骨折;有喙锁韧带断裂的锁骨外端或外1/3移位骨折;骨折不连接。内固定方法可视骨折的类型和部位等不同,选择“8”字钢丝、克氏针或钢板螺钉固定。

锁骨骨折内固定术后
欢迎大家关注,评论,转发!!