
齿科,是桌面级光固化3D打印技术最重要的应用领域之一;与此同时,如今齿科治疗也已经普遍使用3D打印技术。因此,3D打印制造商应该思考所开发的解决方案,有没有以需求为导向,让用户对3D打印技术的使用更加便利。这是如今在竞争越来越激烈的市场环境下,取得市场优势的不可或缺的要素,也即 能够提供差异化的服务 。
作为近三年来的新锐品牌,RAYSHAPE的崛起速度让人诧异,在全球范围内更是快速获得了认可。“以用户为导向”,是其能 在竞争激烈的3D打印行业迅速崛起的关键 。

与行业龙头合作,加速融入本地市场
在齿科行业,EasyRx具有突出的行业地位。 它是世界领先的实验室解决方案、3D软件服务商 ,超过2000家诊所和550个实验室使用其软件平台。
基于EasyRx在齿科领域的重要行业地位, 3D打印业内的许多企业均试图借助该公司提供的软件平台来快速融入欧洲齿科市场 。而能够与这家企业合作,3D打印设备商也必须具备行业一流的技术水平。
为了给用户更好的使用体验,RAYSHAPE 2022年与EasyRx达成合作,打通了RAYSHAPE ShapeWare软件与齿科行业通用的EasyRx软件之间的壁垒,让用户可以体验到更加流畅的3D打印体验。
EasyRx提供的革命性的“通用”系统,允许正畸医生和牙医设计、创建、管理患者的矫治器处方并将其在线提交给世界上任何正畸或牙科实验室或内部实验室。EasyRx的全套设计工具使医生能够针对单个数字化正畸设计进行管理和创建他们的矫治器处方,从而提高效率并朝着无纸化环境发展。

牙科诊所及实验室与EasyRx互联互通以寻求更高效的解决方案
在合作达成后,用户在EasyRx软件可以自动把文件传输至ShapeWare软件,并且可以从EasyRx软件直接唤醒ShapeWare软件, 实现了两个软件的无缝整合 。EasyRx和RAYSHAPE的用户可以通过便捷的操作,简化的流程,更快、更有效的编辑和打印模型。

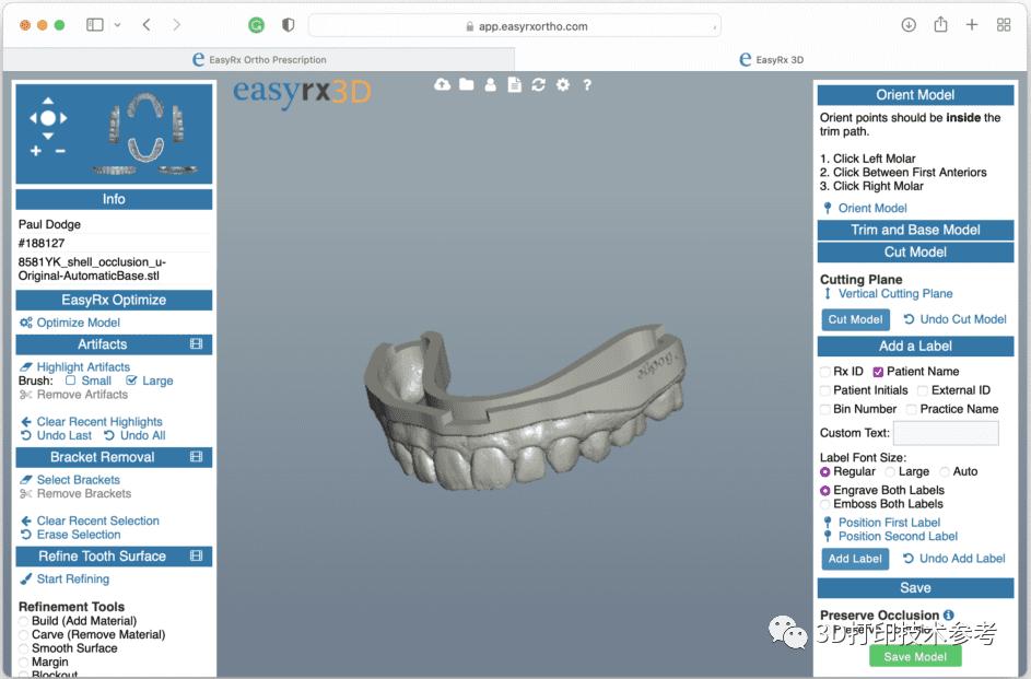
EasyRx提供的解决方案可以快速简单高效的查看、建基并编辑STL文件
RAYSHAPE能够与这家企业达成合作,意味着这家国际化的行业领导者 认可RAYSHAPE解决方案的领先水平与该公司的品牌价值, 同时将加速RAYSHAPE快速打开欧美市场。
针对行业需求,做全流程解决方案
在3D打印技术参考看来,很多3D打印技术从业企业的很大通病在于做出的解决方案不够聚焦某一个行业的使用需求。终端用户咨询“ 你的技术可以做什么 ”,很多从业者会回答什么都可以做,但真正委托试做的时候却又难以满足客户的需求。

EasyRx的视觉DLP实验室管理功能界面展示
每个行业都有其特殊的使用需求, 粗放的解决方案必然无法满足用户差异化的使用需求 。对于齿科行业,构建数字化牙科全链路流程,诊所和技工所系统的兼容性需求不可忽视,要确保各环节高效衔接有序运转。RAYSHAPE与EasyRx的此次合作,是RAYSHAPE数字化牙科生产流程的又一次自我迭代,大大提升了生产效率。同时,也是RAYSHAPE数字化牙科解决方案的进一步升级。
未来,RAYSHAPE将继续坚持“以用户导向”,不断深耕数字化牙科诊疗全流程,为广大牙科从业者提供全方位服务,为舒适牙科治疗保驾护航。