我国 每10人里至少7人会在1年中患1次(或以上)牙龈炎 。实际上,几乎每个人在一生中都会发生牙龈炎。

一、牙龈肿痛常见的表现有哪些?
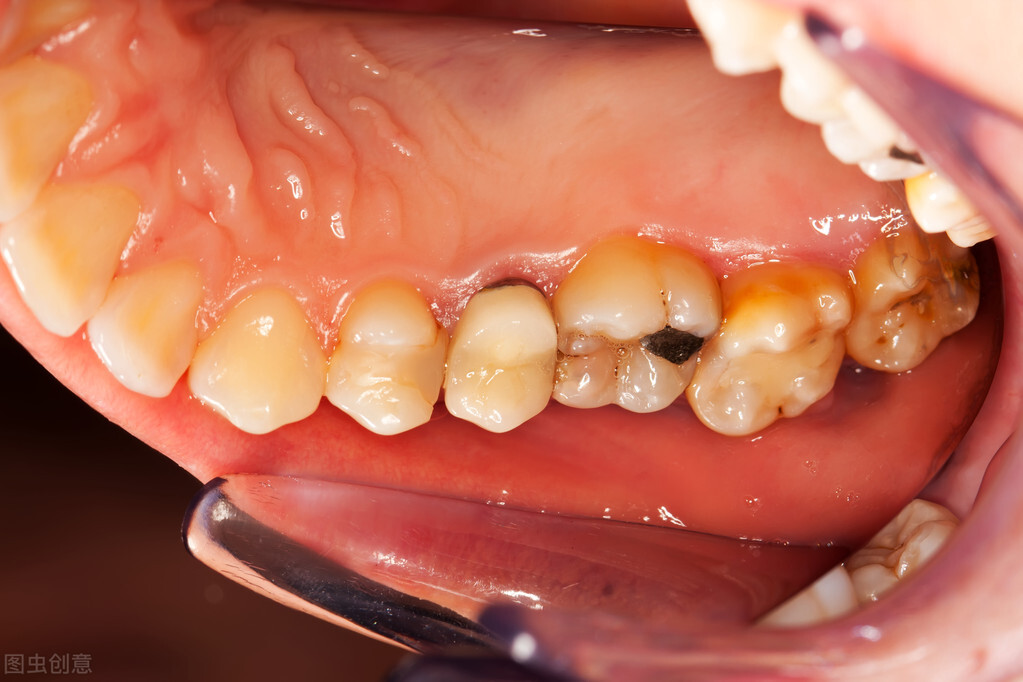
牙龈鲜红或者紫红以及肿胀松软,有时候是牙龈有糜烂或者是内牙组织出现增生外翻的症状,或者是在刷牙吃东西的时候牙龈会出血,但是一般没有自发性的出血,而且有时候会出现发痒或者是胀感以及出现口臭的症状。

二、为什么会发生牙龈炎?
牙龈是牙周组织之一,直接暴露于口腔之中,肉眼可见。牙龈炎是由于细菌长期堆积在牙龈周围,没有得到彻底的清除,产生炎症所导致的。牙龈炎的发病年龄不确定,大人小孩都有可能患有牙龈炎,因此,平时一定要注意养成刷牙的好习惯。

除了日常的口腔卫生不良外,牙列不齐、牙齿的不良修复、长期张口呼吸等等原因也有可能导致牙龈炎。
三、牙龈炎怎么办?
① 保持好的 口腔卫生习惯 是避免牙龈炎发生的主要方法;
② 发生牙龈炎, 优先看口腔科,洗个牙 大部分病情都能搞定;
③ 对于严重的牙龈炎且肿痛明显,按照医嘱使用抗生素 选择 头孢一、二代 或者 甲硝唑缓解症状。(不自行用药,需准医嘱使用!)
