
王秋生
王秋生,北京大学人民医院普通外科主任医师、外科教授。中华医学会外科学分会胆道外科学组委员、中华医学会消化内镜分会外科学组副组长、中国医师协会内镜医师分会常委、中国医院协会MTA常委、海峡两岸医药卫生交流协会微创专业委员会副主任委员。
擅长:腹腔镜手术诊治肝胆胰疾病、胃食管反流病、贲门失弛缓症、胃癌、结直肠癌、直肠脱垂、结肠冗长症、肥胖症、食道裂孔疝、切口疝、腹股沟疝等,颈腔镜手术治疗甲状腺结节,单孔非气腹腹腔镜手术治疗胆囊息肉、胆囊结石、阑尾炎、肝囊肿等。
精彩互动分享
病历信息
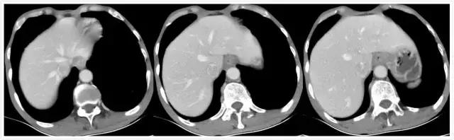
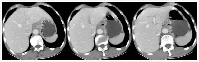
患者男性68岁,主因消瘦2个月,腹部不适入院就诊。详细检查报告及影像资料如下:






咨询目的
1、明确诊断;
2、协助手术。
咨询反馈
王秋生教授:
中晚期胃底贲门腺癌,诊断已明确。治疗方案有
1、先做新辅助化疗两个疗程看疗效,然后手术治疗。
2、如病人经济条件较差,尽早手术,同时做空肠造瘘,力争术后早日恢复肠道内营养。
提问医生:
谢谢王老师,如术前新辅助您建议什么方案?如手术您觉得开腹还是腹腔镜好呢?还需要完善什么检查?多谢!
王秋生教授:
1、新辅助化疗适用于晚期病人,一般用铂类加氟尿嘧啶类,两个疗程后评估疗效和骨髓抑制程度等再决定是否继续化疗还是及早手术。
2、手术方案最好是先腹腔镜探查,再根据病情和医生的腹腔镜手术技能再决定七分腔镜三分开刀、五分腔镜五分开刀,或中转开腹。
提问医生:
谢谢王老师!患者又去了别的医院,建议先同步放化疗,您觉得放疗意义大吗?
王秋生教授:
如果有大瘤块或有网膜广泛成块状种植转移,有必要放化疗同步进行且有增敏作用。但要严格控制放化疗剂量,切不可摧毁病人最基础的抵抗力换取所谓的放化疗效果。
提问医生:
明白!谢谢王老师!


小和对您说
如果您是医生
关注“和缓医生服务号”微信号
即可注册和缓名医
如果您是患者/家属
关注“和缓医疗”微信号
即可了解向名医发起会诊的流程
