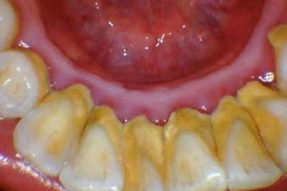
牙结石的形成来自于牙面上残留的牙菌斑和其他沉积物——食物残渣、上皮细胞、矿物质等。

因此,我们的牙齿上滋生牙结石的最根本原因就是口腔的卫生清洁不彻底!作为过来人,下面我就简单说说,我是如何解决掉牙结石的。

一、选择有效的清洁产品
当时是一个牙科工作的朋友推荐我用的这个“宜柒(qi)牙粉”。说他们科室很多人包括他自己都在用,清洁效果蛮好的。

我用了一个月左右吧,就有一些细小的牙石在刷牙的时候被吐出来,后面随着使用时间的增加,牙石也都开始陆陆续续的脱落。第二盒还没用完,牙齿上的牙石就被清除干净了。并且牙齿整体的颜色牙亮白了好几个度!

后面我也是一直坚持在用这个牙粉刷牙,现在已经过去快一年了,牙结石也没有在滋生出来,口腔状态也维持的挺好的!
二、认真刷牙
刷牙能清新口气、祛除牙软垢,是最重要也是最基本的日常口腔护理。不同位置的牙齿刷牙方法是不同的,我当时在网上找到了这个“巴氏刷牙法”,按照上面的这个具体操作方法坚持进行。

大家也可以参考这个刷牙方法来调整自己的刷牙方式。
三、做好日常的口腔护理
大家一定要养成进食后漱口的习惯,它的主要目的也就是,将口腔内的食物残渣从嘴里冲洗出去,避免食物残渣沉积形成牙垢、牙石,

我用的是这个“舒客漱口水”,因为它不含酒精,不像有的漱口水那么辣嘴,整体是像他们家牙膏一样淡淡的薄荷味道的,漱口水吐出来后也感觉嘴巴很清凉舒服,口气也很清新!
以上就是我的全部分享,希望我的这些方法对你有用,祝大家都能早日摆脱牙结石的困扰!