
作者:解锋
单位:山东兰陵县人民医院神经介入科

Case1
患者徐某,男,66岁,主因“言语不清、右侧肢体活动不灵1天”于2016-11-0314:40入院。
高血压病史8年余,长期服用北京降压零号,血压控制不详。
入院查体:BP180/110mmHg,言语不清,右侧上下肢肌力I级,肌张力低,左侧肢体肌力、肌张力正常,右侧Babinski征(+),左侧Babinski征(-)。
NIHSS评分10分。
心电图示:窦性节律,ST-T改变。
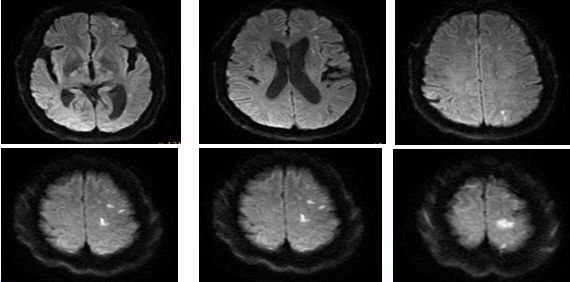
16:00:患者查颅脑磁共振
16:10:左侧额叶、顶叶、侧脑室旁多发急性脑梗死;多发缺血、梗死、软化灶;

左侧颈内动脉闭塞,具体原因不详,狭窄?夹层?

入院2小时发生变化;
17:00:患者病情加重,呼之不应,昏迷状态,刺痛睁眼,无发音
查体:双侧瞳孔等大等圆,瞳孔直径约0.3cm,对光反射存在,右侧鼻唇沟变浅,伸舌检查不合作,双肺呼吸音粗,未闻及明显干湿性啰音,心率74次/分,律齐,心音尚可,各瓣膜听诊区未闻及杂音。右上肢刺痛强直,右下肢刺痛屈曲,肌张力偏低,左侧肢体可活动,肌张力正常,右侧Babinski征(+),左侧Babinski征(-)。
NIHSS评分20分。
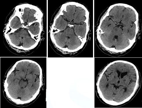
17:20颅脑CT排除出血

18:40:告知病人家属,建议病人行全脑血管造影术+必要时行急诊血管内再通术。
19:00:急血管内治疗术,行股动脉穿刺。
通路不畅,股动脉迂曲用加硬导丝支撑

III型弓,应用望眼镜同轴技术,导管到位

造影示:颈内动脉闭塞,眼动脉有代偿,血管闭塞原因决定血管再通方式!

找到闭塞血管部位,狭窄?夹层?

在颈内远端用6*30Solitaire逐次向近端释放支架(夹层可能性大)

支架释放状态血管通畅,逐渐找到血管闭塞部位

支架在病变最近端释放

11-3,21:40:血管再通,支架释放解脱

术后24小时复查,比入院后症状加重前稍加重

22:00:手术结束返回病房。
术后查体:BP 169/70mmHg,神志尚清,精神差,自动睁眼,能发音,左侧肢体可自主活动,右侧上肢刺痛反应,右侧下肢刺痛屈曲,右侧Babinski征(+),NIHSS评分9分。
住院12天,NIHSS评2分出院。
Case2
入院情况:
陈某某,男,41岁,有高血压病史2年,诊治不详。
主因“头晕伴恶心3-4天,加重伴嗜睡1天余”来诊,于神经内科住院治疗。
查体:血压131/88mmHg
神经系统查体:嗜睡状态,精神差,不语,查体不合作,双眼球向右下凝视,双侧鼻唇沟对称,四肢肌力不合作、肌张力正常,双侧Babinski征(-),NIHSS评分15分
入院时颅脑CT(3.19)小脑梗塞

3.20日请我科会诊,并转入神经介入科
转科时查体:BP90/60mmHg,昏睡状态,精神差,言语不清,查体不合作。双眼球向右下凝视,四肢肌力不合作、肌张力正常,双侧Babinski征(-)心电监护示心率54次/分左右,血压90/60mmHg,血氧饱和度98%左右,呼吸17次/分左右。
NIHSS评分18分
造影右侧椎动脉闭塞,右侧颈总动脉

左侧颈总、左侧椎动脉

左锥造影V4段先天性病变(狭窄?)

右椎入路微导管手推造影,寻找血管闭塞位置

右椎V4段狭窄,2.5*15球囊扩张(应用替罗非班)

13:40:应用3.0*13Apollo支架释放血管再通
03-19,14时30:入院
03-20,11时:病情加重,请神经介入科 会诊
03-20,12时:行股动脉穿刺,血管内治疗
03-20,14时40:手术结束,返回病房
术后查体:
自觉头晕、头沉,BP90/60mmHg,嗜睡,精神稍差,言语不清,四肢肌力、肌张力正常,双侧Babinski征(-)。
NIHSS评分2分。
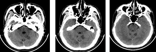
术后复查颅脑CT

出院时查体:言语清晰,四肢肌力、肌张力正常,NIHSS评分0分。
思 考
Case1
为超时间窗病人,病情二次加重,依据影像学评估作为手术指征时,病人还是能获益,或者以症状加重时间点作为发病时间。
急诊血管内治疗,为了达到开通目的,在无重大并发症、对病情无重大损害时,可以使用各种方式,但是必须明确血管闭塞原因,才能决定血管再通策略,血管闭塞原因为夹层,而且血管迂曲严重,只好应用Solitaire支架贴敷;
Case2
患者为血管粥样硬化狭窄引起的血管闭塞,而且通过造影评估分辨出责任血管,再制订出相应策略,球囊扩张、植入支架,作为一种血管再通策略。
急诊血管内治疗手术,是一个复杂的介入治疗,术前病人的选择手术指征的评估,以及术中血管闭塞原因确定、对于治疗策略的选择都很重要。术中可能会遇见各种特殊情况,比如血管迂曲、入路困难、血管狭窄、夹层、血栓特殊、合并动脉瘤、动静脉畸形等,需要在短时间内做出一个正确的判断,制定有利于病人的治疗决策,同时更要灵活应用手中的介入耗材。
