
王敏,战略支援部队特*医色**学中心(原306医院),消化内科
医研部医学科普中心 刘燕/崔彦 编辑
笔者近期遇到这样一个病例:H先生,男性,66岁,因近半年反复胸骨后不适就诊,具体交流经过如下。
患者:医生,我最近吃饭时胸骨后总是火辣辣的,偶尔有点疼,有时候还觉得咽下食物梗噎感。
医生:这种情况有多久了,这种不舒服感觉都是在吃东西时出现的吗?
患者:大概半年了,大部分都在吃饭时出现,有时候还有些反酸。
医生:平时爱吃腌菜、抽烟、喝酒吗?还有其他不舒服吗?最近体重有没有下降?
患者:咸菜、榨菜几乎顿顿饭不能少,抽烟、喝酒那也是每日必需。没有其他不舒服,体重没有变化。
医生:在此之前有去医院看过或治疗过吗?
患者:之前以为是心脏的问题,查了查没问题就没再看,偶尔自己吃点“奥美拉唑”之类的。
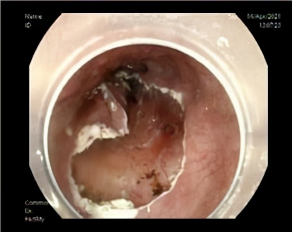
医生询问过后得知:男性,66岁,爱吃腌制食品,有抽烟、饮酒史,进食后胸骨后烧灼感,进食哽咽感,需高度怀疑食道病变,建议患者进行胃镜检查。胃镜提示食管距食道距门齿约38~40 cm处食管见一处表浅平坦型病变,表面色泽发红,黏膜粗糙,边界清晰,碘染色呈大片状不染区。活检病理结果:(食道)少量浅表黏膜,伴局灶高级别上皮内瘤变。医生向H先生交代疾病进展及治疗的必要性,患者住院行内镜下粘膜切除术。
术后病理提示:(食道)原位鳞状细胞癌(3.0*1.8*0.2 cm),未见脉管癌栓及神经侵犯,水平切缘及基底未见癌组织。非常幸运的黄先生其食管早癌治愈了。


那么,什么是食道癌?
食管癌是发生在食管上皮组织的恶性肿瘤,占所有恶性肿瘤的3%左右,是人类常见的恶性肿瘤之一。我国是食管癌高发区,发病年龄多为40岁以上,男性多于女性。
食管癌的常见病因有哪些呢?
(1) 亚硝酸铵类化合物:亚硝酸铵类化合物是一种很强的致癌物。
(2) 真菌食物及其毒素:研究表明,食管癌高发区居民食用的酸菜中有白地霉菌等。
(3) 饮食习惯:长期热饮食、粗饮食、饮酒和吸烟等是诱发食管癌的重要因素。有研究表明,戒烟后食管癌的发生风险会明显降低。
(4) 胃食管反流性疾病和Banrett食管:至今食管腺癌的最大高危因素是胃食管反流性疾病和Barrett食管,以西方国家多见。
(5) 遗传因素:食管癌遗传易感因素。
食管癌的临床症状
(1) 食管癌早期症状:食管癌早期无明显症状,只有在吞咽粗硬食物时可能会出现不同程度的不适感觉,包括咽下食物梗噎感,胸骨后烧灼样、针刺样或牵拉摩擦样疼痛,进食时的停滞感或异物感等。
(2) 食管癌中晚期症状:食管癌发展至中晚期,患者会进行性吞咽困难,异物感,逐渐出现消瘦、乏力症状,还可能有持续胸痛或背痛,这是癌细胞已侵犯食管外组织导致的。若病人有肝、脑等脏器转移情况,还可出现黄疸、腹腔积液等状态。
早期食管癌没有特异性的症状,多数病人没有引起重视而延误病情。因此,发现早期患者是降低食管癌死亡率的关键之一。筛查有助于食管鳞癌的早发现、早诊断和早治疗,这是预防和降低食管癌死亡率的重中之重。

哪些人需要做食管癌筛查?
针对年龄≥40 岁,且符合下列任一条者需进行筛查:

食管癌的早期检查方法
(1) 内镜检查:内镜+组织学活检/细胞学活检是诊断食管癌的“金标准”。胃镜检查是食管癌和癌前病变早期诊断的有效手段之一,可以早期发现和治疗食管癌,已成为检查上消化道疾病(食管癌、胃癌等)常规的临床诊断、术后随访、疗效观察的可靠方法。其他检查手段均为辅助手段,主要为了解部位、大小、分期和制订手术方式提供必要的信息。
(2) X线钡餐造影:该方法能可发现早期黏膜表浅病变,但不能获得组织学病理,对于中晚期病变意义更大,但对食管外侵诊断正确率较低,对纵隔淋巴结有无转移不能诊断。
(3) 胸部CT扫描:对食管癌的分期、切除可能的判断及预后的估计有帮助。
(4) PET-CT检查:可确定食管癌原发灶的范围,了解周围淋巴结有否转移及转移的范围,准确判断肿瘤分期。
(配图来源于网络)