一、常见的喉部疾病有哪些?1、喉炎- 在喉疾病中最常见。 2、喉异物- 异物嵌顿于声门可引起严重呼吸困难,应积极抢救。患者有吸入异物的历史,呈严重的吸气性呼吸困难和发声障碍。应立即通过喉镜取出异物;若无此条件,应先行气管切开解除窒息。 3、喉麻痹- 可由各种全身性和局部性原因引起,表现为呼吸困难或发声异常。 4、喉职业性损伤 -由发声不当或发声过度所致,也可由其他原因引起,如刺激性气体,烟雾、外伤等。主要表现为声带充血、肿胀、力弱或形成声带小结和息肉。 5、声带小结- 是位于声带边缘前1/3与后2/3交界处的小结节,两侧对称。其病理改变早期为组织水肿,晚期为纤维增生。治疗首先是发声休息;可全身应用皮质类固醇及局部进行透热疗法帮助水肿吸收。经保守疗法治疗无效的应在喉镜下切除小结,以后进行发声训练,纠正不正确的发声方法和习惯。 6、声带息肉 -喉部慢性炎症或长期发声不当致粘膜极度水肿,可形成息肉。一般位于声带边缘或两侧声带的会合处──前联合。声带息肉妨碍声带的闭合,故多有嘶哑;大的息肉阻塞声门,可引起呼吸困难。治疗方法为手术切除。 7、喉外伤 -常因交通事故、喉插管、刎颈自杀等引起。软骨支架缺损或移位、肉芽和瘢痕组织增生等均可导致喉狭窄,引起呼吸困难。喉狭窄的治疗方法是切除增生组织,并进行喉扩张,手术可通过喉镜进行,也可由喉正中裂开进行。 8、喉肿瘤 -喉良性肿瘤以多发性乳头状瘤为常见,好发生于婴儿和儿童,可能由病毒引起,肿瘤常先侵犯声带和室带,然后扩散至喉的其他部分,甚至侵入气管引起严重呼吸困难。喉乳头状瘤的治疗主要是手术切除,可配合冷冻或涂鸦胆子油,效果不定,容易复发。恶性肿瘤中以喉癌最常见。 二、喉部正常影像解剖 喉既是呼吸道,又是发音器官。位于颈前正中,上通咽腔下接气管,上界为会厌上缘,下界为环状软骨下缘,分为声门区,声门上区及声门下区。

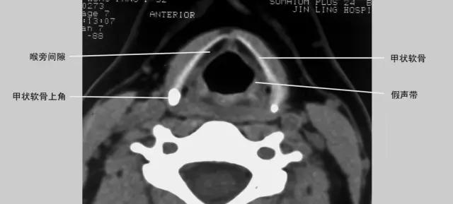
1、甲状软骨:构成喉的前外侧壁甲状软骨板
前缘:前角(喉结)
后缘游离:上角和下角


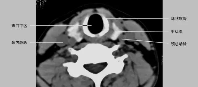
2、环状软骨:甲状软骨下、环形、构成喉底壁
前部狭窄称环状软骨弓
后部宽阔称环状软骨板
上借环杓关节与杓状软骨相连
外籍环甲关节与甲状软骨内缘相连

3、杓状软骨:又名披裂软骨
不规则三梭锥体形,尖向上,底向下,位于环状软骨板上缘并籍环杓关节相连,底有二个突起,前端声带突,后外侧肌突。







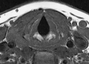
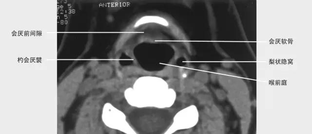
4、会厌软骨: 位于喉的前上部,呈上宽下窄的叶状,下端附着于甲状软骨前角的后方,平时耸立开放,吞咽时向后下反转关闭喉。在舌根与会厌之间有舌会厌谿,会厌后方为喉前庭。

5、会厌前间隙
位于会厌软骨之前,为一底向上、尖向下的倒锥体形间隙,内充满脂肪组织。
其上界为舌骨会厌韧带,前界为甲状舌骨膜和甲状软骨前上部,后界为舌骨以下部分的会厌软骨。
舌骨下会厌软骨有许多穿行神经和血管的小孔与该间隙相通,故会厌癌易循这些小孔向会厌前间隙扩展。


6、喉旁间隙
喉与甲状软骨间的间隙,由下向上渐宽,内充脂肪,是一个狭长纵形间隙,其前上方可与会厌前间隙相通。
声门上区癌易在侵及会厌前间隙后循此间隙向下发展至声门区。

7、喉腔:
- 声门上区:声带之上,室带以上喉腔称为喉前庭。声带与室带之间的腔隙为喉室。室带(假声带),由室韧带、肌纤维及粘膜组成,前端起于甲状软骨前角的上中段内面,后端止于杓状软骨前上面。

- 声门区由声带构成,喉室下方由声韧带、肌纤维和粘膜构成,前端起于甲状软骨前角中段内面,后附着于杓状软骨声带突,厚约5mm。张开时出现一个等腰三角形裂隙称声门裂,发音时声带内收。
- 声门下区为声带下至环状软骨下缘以上的喉腔,正常气道与环状软骨间粘膜厚度不超过1mm。

三、检查方法
1、X线

平片:侧位片观察喉部结构,正位片主要观察喉外伤和异物。
特殊检查:主要采用体层摄影,侧位体层以矢状面正中向两侧各0.5cm间距共摄3张,正位体层分别在平静呼吸、闭气及发“依”音照片,观察声带活动限度。
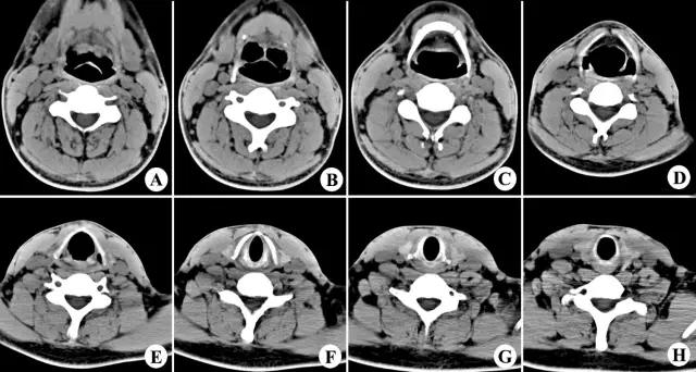
2、CT
1、常规采用横断面扫描,喉腔中轴与扫描线垂直;
2、扫描范围自环状软骨下缘至下颌角会厌上缘,层厚3-5mm;
3、发音状态扫描:让病人连续发“E“音,这时声带内收,可较好显示声带、梨状窝、咽后壁及杓会厌壁的形态及病变。
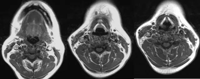
3、MRI

- 采用颈部线圈,下颌上抬,垫高肩部以抬高喉部;
- 横断面扫描与声带平行,扫描范围自会厌上缘至环状软骨下缘,层厚3-5mm;
- 冠状面显示声带、室带、喉室、胸廓入口等情况较好;
- 矢状面显示舌根、会厌、会厌前间隙、声带前联合较好;
- 检查时病人喉部放松,平静呼吸,尽量减少吞咽动作以减少伪影。
四、正常影像表现1、 X线检查
侧位片可清楚显示会厌溪、会厌、声门上区、声门下区
正位体层摄影可清楚显示喉前庭、喉室、声带(真声带)和声门下区结构,在呼气、吸气、闭气、发音时可见声带的活动度及其形态。

2、CT、MRI检查
喉软骨:软骨骨化及髓腔形成的程度。
1、年轻人软骨未骨化,T1及T2WI等信号,CT等密度,与其它软组织较难区分。
2、30岁以上成年人T1WI中央高信号代表脂肪及黄骨髓生成。年老时骨化变为皮质骨,信号减低。CT为高密度。
3、会厌软骨由弹性软骨组成,T1WI略低于肌肉,T2WI略高于肌肉。CT呈等密度,少有钙化。




正常喉部CT






