#重庆头条# #生命摆渡人# #我的2022#
目前认为大多数肺腺癌是通过肺泡上皮腺瘤样不典型增生(AAH)→肺原位腺癌→微浸润腺癌→浸润性腺癌这一过程逐渐发展起来的(当然还有少数肺腺癌直接从早期阶段直接发展成侵袭能力极强的浸润性腺癌,这类腺癌组织学类型多数是微乳头型或实体伴黏液分泌型)。原位癌是腺癌发展过程中的重要起始点,正确诊断原位腺癌的重要性不言而喻。
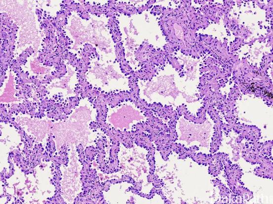
什么是原位腺癌(AIS)?
2015版WHO肺腺癌分类中原位腺癌(AIS)的形态学特征为:肿瘤细胞沿着以前存在的肺泡壁生长,肺泡腔中应无瘤细胞形成乳头,肺泡间隔可增宽伴硬化,仍保留原有肺泡结构框架,无间质、脉管或胸膜浸润等。原位癌(AIS)和非典型增生(AAH)被定义为肺腺癌浸润前病变,即癌前病变。因此,原位癌并不是真正意义上的“癌”。AIS进一步发展,肿瘤细胞不断增殖,瘤细胞形态异型度增加(细胞核增大、染色质增粗等),细胞排列密集,出现局灶性间质侵犯或形成真性乳头结构时即演变成为微浸润腺癌(MIA)。AIS在一段时间内是处于缓慢生长甚至静止状态,随着时间的延长,沿肺泡壁上生长的肿瘤细胞由于自身的凋亡,细胞数量减少,肺泡张力减低,难以维持肺泡结构,导致肺泡萎缩塌陷及肺间隔纤维组织增生,可形成大小不等的纤维瘢痕化区域。但当其爆发和进展形成微浸润腺癌时,微浸润腺癌将逐步蚕食纤维瘢痕,最终纤维瘢痕会被浸润性腺癌完全取代。
如何鉴别原位腺癌(AIS)和微浸润腺癌(MIA)?1、肿瘤组织学结构主要关注肿瘤组织中原有的肺泡结构是否保留,因为AIS的肿瘤细胞应该是沿着原有的肺泡壁增生,大多数区域应保留原有肺泡壁结构,如果肺泡组织结构有广泛破坏并有伴随发生的重建,则可能是MIA。2、肿瘤细胞的排列形式及密度AIS的大部分细胞是单层、其密度适中,极少出现肿瘤细胞拥挤重叠的现象,如见到肿瘤细胞拥挤重叠并成簇或成堆的向腔内生长,则可能是MIA。3、肿瘤细胞形态大部分AIS细胞呈立方形,细胞核中等大小,核染色质细腻,细胞无明显异型。MIA的细胞核相对较大,因染色质淡染致使核呈空泡状,并可见核仁,或细胞核染色质粗糙、呈凝块状等,此外如果瘤细胞高度明显增加(大于细支气管的正常柱状上皮细胞的高度)并排列拥挤重叠,往往可能是浸润性腺癌的特征。
原位癌(AIS)的治疗策略是什么?原位癌一般属于惰性生长,有的患者可能随访了十来年都没有变化,因此,目前医学上对于原位癌的诊断往往伴随多个因素考虑,并不一定全部都是“一经发现立即处理”,也有可能会建议患者先进行随访,如果有了变化再进行手术切除,下文列出了AIS的一些可能性和处理策略,仅供患者朋友们参考:1、体积如果患者GGN只有5-6mm,医生看到CT结果后会建议先随访几年,等长到7-8mm再手术也可以。的确,5-6mm的纯GGN风险很小,可以放着先不处理,不影响患者生活。但是GGN的判断除了大小往往还要伴随其影像学特征,如果是纯GGN,就算有十几毫米也可以考虑AIS前期,但还有的GGN,即使只有5mm也已经拟诊AIS后期或MIA了,也是会建议立即手术的。
1、增生程度有时候,医生看着CT片子会说这个GGN密度太淡了可以再养几年看看,这是什么意思呢?一般AIS前期时,CT值在-600多到-700多HU,此时增生程度很低,不建议手术,可以先随访几年;当CT值在-500多HU左右时,相当于AIS中期,对于手术的选择是可做也可不做,此时可根据病人自身的情况来定;当CT值在-400多HU时,相当于AIS后期,建议手术。 3、位置人的肺脏总的有5叶,每一叶的支气管和血管都是从肺门到肺周边发展的,如果AIlS病灶在肺门区就只能做肺叶切除,此时医生一般会建议再随访几年等GGN发展到一定程度了再进行肺叶切除;如果病灶在肺周边部位,可能只需要一个楔形切除就可以完全切除肿瘤组织了;如果GGN紧贴着胸膜或大血管,那么医生一般会建议尽快做手术,因为此时GGN血供更丰富,变化可能会更快,因此需要更积极地处理。 4、并发症如果患者伴发有心脏病、糖尿病、高血压等,医生一般都会建议先把这些内科疾病控制好再进行手术,否则会增大手术的风险。
2、患者心理素质对于前中期的AlS,如果患者心理素质良好,心态乐观,那么可以坚持随访,但是如果患者一直处于焦虑纠结的状态,严重影响了生活,那么也可以考虑尽快手术。AIS手术治疗效果怎么样?术后需要化疗吗?
之前已经提到过,AAH和AIS均属于惰性状态,一般不会转移或浸润淋巴结,经过手术切除后其治愈率可高达100%。并且,如果病理报告肿瘤切缘阴性,患者治疗适当,则不需进一步放疗或化疗。定期复查随访较为重要。
注:重庆戴纪刚医学科普,欢迎转载,转载请注明出处。
